• 文献检索
  • 文档翻译
  • 深度研究
  • 学术资讯
  • Suppr Zotero 插件Zotero 插件
  • 邀请有礼
  • 套餐&价格
  • 历史记录
应用&插件
Suppr Zotero 插件Zotero 插件浏览器插件Mac 客户端Windows 客户端微信小程序
定价
高级版会员购买积分包购买API积分包
服务
文献检索文档翻译深度研究API 文档MCP 服务
关于我们
关于 Suppr公司介绍联系我们用户协议隐私条款
关注我们

Suppr 超能文献

核心技术专利:CN118964589B侵权必究
粤ICP备2023148730 号-1Suppr @ 2026

文献检索

告别复杂PubMed语法,用中文像聊天一样搜索,搜遍4000万医学文献。AI智能推荐,让科研检索更轻松。

立即免费搜索

文件翻译

保留排版,准确专业,支持PDF/Word/PPT等文件格式,支持 12+语言互译。

免费翻译文档

深度研究

AI帮你快速写综述,25分钟生成高质量综述,智能提取关键信息,辅助科研写作。

立即免费体验

十二指肠乳头未分化多形性肉瘤:1例罕见病例及值得探讨的病史

Undifferentiated Pleomorphic Sarcoma of the Duodenal Papilla: A Rare Case and Worth Discussing History.

作者信息

Wang Jianlong, Liu Bin, Hou Jiachao, Li Tao

机构信息

Department of General Surgery, The Second Hospital of Hebei Medical University, Shijiazhuang, China.

Central Laboratory, The Second Hospital of Hebei Medical University, Shijiazhuang, China.

出版信息

Front Surg. 2022 Jul 6;9:926003. doi: 10.3389/fsurg.2022.926003. eCollection 2022.

DOI:10.3389/fsurg.2022.926003
PMID:35874130
原文链接:https://pmc.ncbi.nlm.nih.gov/articles/PMC9299241/
Abstract

BACKGROUND

Undifferentiated pleomorphic sarcoma (UPS) is a malignant tumor that originates in the mesenchymal tissue and is common in the extremities and retroperitoneum. Primary UPS of the duodenal papilla is rare and a distinct clinical entity.

CASE PRESENTATION

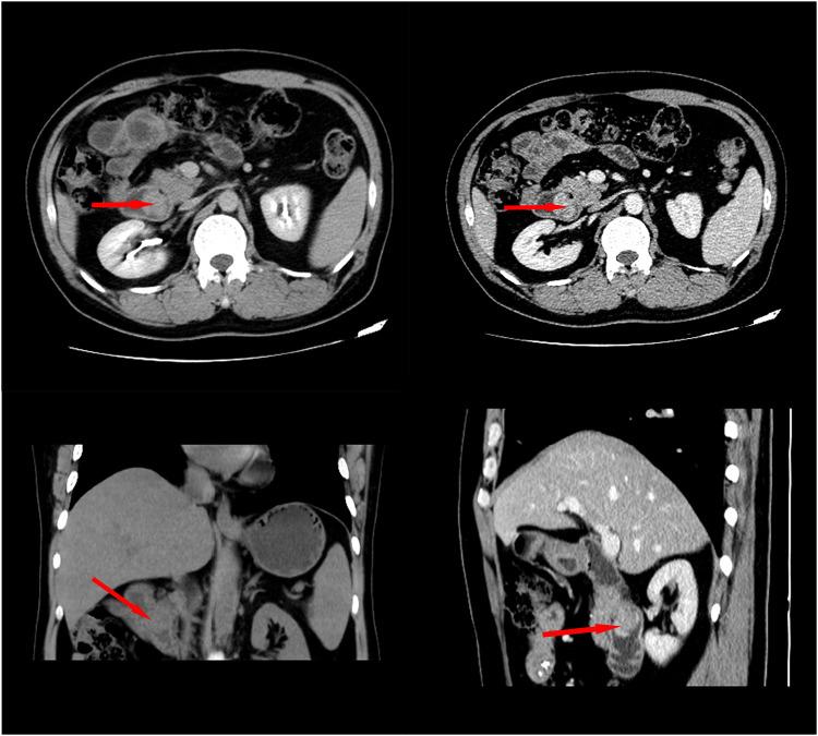
In this report, a 48-year-old Chinese man was admitted to our hospital with symptoms of melena. The patient underwent choledochectomy and choledochaljejunostomy for obstructive jaundice 8 years before admission. Endoscopic examination after admission confirmed a mass located at the duodenal papilla. Then, the duodenal papilla and tumor resection were performed, and the histopathology report confirmed the diagnosis of UPS. The patient refused further treatment and died 2 months later due to local recurrence and intrahepatic metastasis.

CONCLUSIONS

It is rare that the mass in the duodenal papilla is diagnosed as UPS. The unpredicted behavior of these tumors warrants a careful plan considering their indolent nature and possible recurrence and metastasis. The prognosis was poor despite the early complete resection.

摘要

背景

未分化多形性肉瘤(UPS)是一种起源于间叶组织的恶性肿瘤,常见于四肢和腹膜后。十二指肠乳头原发性UPS罕见,是一种独特的临床实体。

病例报告

在本报告中,一名48岁的中国男性因黑便症状入院。该患者在入院前8年因梗阻性黄疸接受了胆总管切除术和胆总管空肠吻合术。入院后内镜检查证实十二指肠乳头处有一肿块。随后,进行了十二指肠乳头和肿瘤切除术,组织病理学报告确诊为UPS。患者拒绝进一步治疗,2个月后因局部复发和肝内转移死亡。

结论

十二指肠乳头处肿块被诊断为UPS的情况罕见。这些肿瘤不可预测的行为需要根据其惰性性质以及可能的复发和转移制定仔细的治疗计划。尽管早期进行了完整切除,预后仍较差。

https://cdn.ncbi.nlm.nih.gov/pmc/blobs/013a/9299241/6aa0b544c553/fsurg-09-926003-g006.jpg
https://cdn.ncbi.nlm.nih.gov/pmc/blobs/013a/9299241/2abb599e7907/fsurg-09-926003-g001.jpg
https://cdn.ncbi.nlm.nih.gov/pmc/blobs/013a/9299241/655e84692c97/fsurg-09-926003-g002.jpg
https://cdn.ncbi.nlm.nih.gov/pmc/blobs/013a/9299241/160b5e3c397e/fsurg-09-926003-g003.jpg
https://cdn.ncbi.nlm.nih.gov/pmc/blobs/013a/9299241/961de8691e33/fsurg-09-926003-g004.jpg
https://cdn.ncbi.nlm.nih.gov/pmc/blobs/013a/9299241/1f0456f3d467/fsurg-09-926003-g005.jpg
https://cdn.ncbi.nlm.nih.gov/pmc/blobs/013a/9299241/6aa0b544c553/fsurg-09-926003-g006.jpg
https://cdn.ncbi.nlm.nih.gov/pmc/blobs/013a/9299241/2abb599e7907/fsurg-09-926003-g001.jpg
https://cdn.ncbi.nlm.nih.gov/pmc/blobs/013a/9299241/655e84692c97/fsurg-09-926003-g002.jpg
https://cdn.ncbi.nlm.nih.gov/pmc/blobs/013a/9299241/160b5e3c397e/fsurg-09-926003-g003.jpg
https://cdn.ncbi.nlm.nih.gov/pmc/blobs/013a/9299241/961de8691e33/fsurg-09-926003-g004.jpg
https://cdn.ncbi.nlm.nih.gov/pmc/blobs/013a/9299241/1f0456f3d467/fsurg-09-926003-g005.jpg
https://cdn.ncbi.nlm.nih.gov/pmc/blobs/013a/9299241/6aa0b544c553/fsurg-09-926003-g006.jpg

相似文献

1
Undifferentiated Pleomorphic Sarcoma of the Duodenal Papilla: A Rare Case and Worth Discussing History.十二指肠乳头未分化多形性肉瘤:1例罕见病例及值得探讨的病史
Front Surg. 2022 Jul 6;9:926003. doi: 10.3389/fsurg.2022.926003. eCollection 2022.
2
[Diagnosis and treatment of benign neoplasms of the major duodenal papilla].[十二指肠乳头良性肿瘤的诊断与治疗]
Khirurgiia (Mosk). 2020(11):32-36. doi: 10.17116/hirurgia202011132.
3
Undifferentiated pleomorphic sarcoma of the mandible.下颌骨未分化多形性肉瘤
J Korean Assoc Oral Maxillofac Surg. 2020 Aug 31;46(4):282-287. doi: 10.5125/jkaoms.2020.46.4.282.
4
Gigantic undifferentiated pleomorphic sarcoma (UPS) of breast in a woman: A rare case report.一名女性乳腺巨大未分化多形性肉瘤(UPS):罕见病例报告。
Int J Surg Case Rep. 2023 Aug;109:108605. doi: 10.1016/j.ijscr.2023.108605. Epub 2023 Aug 2.
5
A case of undifferentiated pleomorphic sarcoma of a retro-gastric origin, case report and review of literature.一例胃后源性未分化多形性肉瘤,病例报告及文献复习
Int J Surg Case Rep. 2021 Dec;89:106555. doi: 10.1016/j.ijscr.2021.106555. Epub 2021 Nov 2.
6
Rare pancreatic metastasis of undifferentiated pleomorphic sarcoma originating from the pelvis: A case report.起源于骨盆的未分化多形性肉瘤罕见胰腺转移:一例报告。
Int J Surg Case Rep. 2020;68:140-144. doi: 10.1016/j.ijscr.2020.02.041. Epub 2020 Feb 21.
7
Retroperitoneal undifferentiated pleomorphic sarcoma with total nephrectomy: a case report and literature review.腹膜后未分化多形性肉瘤伴全肾切除术:一例报告及文献复习
Front Surg. 2023 Jun 15;10:1166764. doi: 10.3389/fsurg.2023.1166764. eCollection 2023.
8
The devastating impact of unresectable infectious undifferentiated pleomorphic sarcoma in the gluteal region: A case report.臀区不可切除的感染性未分化多形性肉瘤的毁灭性影响:一例报告。
Int J Surg Case Rep. 2024 May;118:109592. doi: 10.1016/j.ijscr.2024.109592. Epub 2024 Mar 27.
9
Endoscopic Papillectomy for Synchronous Major and Minor Duodenal Papilla Neuroendocrine Tumors.内镜下乳头切除术治疗十二指肠主乳头和副乳头同时性神经内分泌肿瘤
Korean J Gastroenterol. 2018 Oct 25;72(4):217-221. doi: 10.4166/kjg.2018.72.4.217.
10
An unusual case of metastasis of a pulmonary undifferentiated pleomorphic sarcoma to the right ventricle: a case report.一例罕见的肺未分化多形性肉瘤转移至右心室的病例报告
J Med Case Rep. 2013 Jun 27;7:165. doi: 10.1186/1752-1947-7-165.

本文引用的文献

1
Undifferentiated pleomorphic sarcoma of the pancreas: a rare case report and literature review.胰腺未分化多形性肉瘤:一例罕见病例报告并文献复习。
World J Surg Oncol. 2022 Feb 27;20(1):55. doi: 10.1186/s12957-022-02525-1.
2
Primary giant cell malignant fibrous histiocytoma of the lung: a rare case report and literature review.原发性肺巨细胞恶性纤维组织细胞瘤:1例罕见病例报告及文献复习
Transl Cancer Res. 2020 Nov;9(11):7350-7358. doi: 10.21037/tcr-20-2297.
3
Undifferentiated and dedifferentiated soft tissue neoplasms: Immunohistochemical surrogates for differential diagnosis.
未分化和去分化软组织肿瘤:用于鉴别诊断的免疫组织化学替代物。
Semin Diagn Pathol. 2021 Nov;38(6):170-186. doi: 10.1053/j.semdp.2021.09.005. Epub 2021 Sep 29.
4
Surgical excision margins for fibrohistiocytic tumors, including atypical fibroxanthoma and undifferentiated pleomorphic sarcoma: A probability model based on a systematic review.纤维组织细胞性肿瘤(包括非典型性纤维黄色瘤和未分化多形性肉瘤)的外科切除边界:基于系统评价的概率模型。
J Am Acad Dermatol. 2022 Oct;87(4):833-840. doi: 10.1016/j.jaad.2021.09.036. Epub 2021 Sep 26.
5
Nomogram for predicting cancer-specific survival in undifferentiated pleomorphic sarcoma: A Surveillance, Epidemiology, and End Results -based study.用于预测未分化多形性肉瘤患者癌症特异性生存的列线图:一项基于监测、流行病学和最终结果的研究。
Cancer Control. 2021 Jan-Dec;28:10732748211036775. doi: 10.1177/10732748211036775.
6
What is an adequate margin for infiltrative soft-tissue sarcomas?浸润性软组织肉瘤的充分切缘是多少?
Eur J Surg Oncol. 2020 Feb;46(2):277-281. doi: 10.1016/j.ejso.2019.10.005. Epub 2019 Oct 8.
7
Pleomorphic Sarcomas: The State of the Art.多形性肉瘤:最新进展
Surg Pathol Clin. 2019 Mar;12(1):63-105. doi: 10.1016/j.path.2018.10.004. Epub 2018 Dec 17.
8
Undifferentiated Pleomorphic Sarcoma of Pancreas: A Case Report and Review of the Literature for the Last Updates.胰腺未分化多形性肉瘤:一例报告及近期文献综述
Case Rep Med. 2018 May 31;2018:1510759. doi: 10.1155/2018/1510759. eCollection 2018.
9
Undifferentiated pleomorphic sarcoma: Factors predictive of adverse outcomes.未分化多形性肉瘤:不良预后的预测因素。
J Am Acad Dermatol. 2018 Nov;79(5):853-859. doi: 10.1016/j.jaad.2018.05.022. Epub 2018 May 19.
10
Retrovesical malignant fibrous histiocytoma: a rare tumor.膀胱后恶性纤维组织细胞瘤:一种罕见肿瘤。
BMJ Case Rep. 2017 Dec 2;2017:bcr-2017-222612. doi: 10.1136/bcr-2017-222612.