Suppr超能文献

基于聚类分析的 MRI 脑组织分割应用。

Application of Clustering-Based Analysis in MRI Brain Tissue Segmentation.

机构信息

School of Computer and Information, Qiannan Normal University for Nationalities, Duyun 558000, China.

Key Laboratory of Complex Systems and Intelligent Optimization of Guizhou Province, Duyun 558000, China.

出版信息

Comput Math Methods Med. 2022 Aug 3;2022:7401184. doi: 10.1155/2022/7401184. eCollection 2022.

Abstract

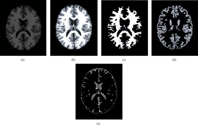
The segmentation of brain tissue by MRI not only contributes to the study of the function and anatomical structure of the brain, but it also offers a theoretical foundation for the diagnosis and treatment of brain illnesses. When discussing the anatomy of the brain in a clinical setting, the terms "white matter," "gray matter," and "cerebrospinal fluid" are the ones most frequently used (CSF). However, due to the fact that the human brain is highly complicated in its structure and that there are many different types of brain tissues, the human brain structure of each individual has its own set of distinctive qualities. Because of these several circumstances, the process of segmenting brain tissue will be challenging. In this article, several different clustering algorithms will be discussed, and their performance and effects will be compared to one another. The goal of this comparison is to determine which algorithm is most suited for segmenting MRI brain tissue. Based on the clustering method, the primary emphasis of this research is placed on the segmentation approach that is appropriate for medical brain imaging. The qualitative and quantitative findings of the experiment reveal that the FCM algorithm has more steady performance and better universality, but it is necessary to include the additional auxiliary conditions in order to achieve more ideal outcomes.

摘要

MRI 下的脑组织分割不仅有助于研究大脑的功能和解剖结构,而且为脑疾病的诊断和治疗提供了理论基础。在临床环境中讨论大脑解剖时,最常使用的术语是“白质”、“灰质”和“脑脊液”(CSF)。然而,由于人脑结构非常复杂,而且有许多不同类型的脑组织,每个人的大脑结构都有其独特的特点。由于这几个情况,脑组织分割的过程会具有挑战性。本文将讨论几种不同的聚类算法,并对它们的性能和效果进行比较。这种比较的目的是确定哪种算法最适合分割 MRI 脑组织结构。基于聚类方法,本研究主要侧重于适用于医学脑成像的分割方法。实验的定性和定量结果表明,FCM 算法具有更稳定的性能和更好的通用性,但需要增加附加的辅助条件才能达到更理想的结果。

https://cdn.ncbi.nlm.nih.gov/pmc/blobs/457c/9365576/6487b6bd8dab/CMMM2022-7401184.001.jpg

文献检索

告别复杂PubMed语法,用中文像聊天一样搜索,搜遍4000万医学文献。AI智能推荐,让科研检索更轻松。

立即免费搜索

文件翻译

保留排版,准确专业,支持PDF/Word/PPT等文件格式,支持 12+语言互译。

免费翻译文档

深度研究

AI帮你快速写综述,25分钟生成高质量综述,智能提取关键信息,辅助科研写作。

立即免费体验