Suppr超能文献

肉类加工厂中的微生物生物膜作为细菌可能的存活场所。

Microbial Biofilms at Meat-Processing Plant as Possible Places of Bacteria Survival.

作者信息

Nikolaev Yury, Yushina Yulia, Mardanov Andrey, Gruzdev Evgeniy, Tikhonova Ekaterina, El-Registan Galina, Beletskiy Aleksey, Semenova Anastasia, Zaiko Elena, Bataeva Dagmara, Polishchuk Ekaterina

机构信息

Federal Research Center "Fundamentals of Biotechnology" of RAS, Leninsky Prospect, 14, 119991 Moscow, Russia.

V.M. Gorbatov Federal Research Center for Food Systems of RAS, Talalikhina St., 26, 109316 Moscow, Russia.

出版信息

Microorganisms. 2022 Aug 6;10(8):1583. doi: 10.3390/microorganisms10081583.

Abstract

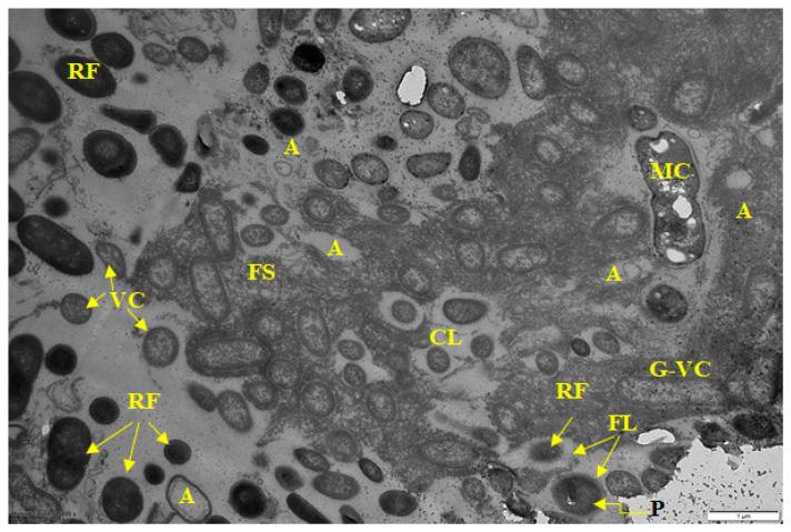
Biofilm contamination in food production threatens food quality and safety, and causes bacterial infections. Study of food biofilms (BF) is of great importance. The taxonomic composition and structural organization of five foods BF taken in different workshops of a meat-processing plant (Moscow, RF) were studied. Samples were taken from the surface of technological equipment and premises. Metagenomic analysis showed both similarities in the presented microorganisms dominating in different samples, and unique families prevailing on certain objects were noted. The bacteria found belonged to 11 phyla (no archaea). The dominant ones were , , , and . The greatest diversity was in BFs taken from the cutting table of raw material. Biofilms' bacteria may be the cause of meat, fish and dairy products spoilage possible representatives include , , , , , , etc.). Opportunistic human and animal pathogens (possible representatives include , , , etc.) were also found. Electron-microscopic studies of BF thin sections revealed the following: (1) the diversity of cell morphotypes specific to multispecies BFs; (2) morphological similarity of cells in BFs from different samples, micro-colonial growth; (3) age heterogeneity of cells within the same microcolony (vegetative and autolyzed cells, resting forms); (4) heterogeneity of the polymer matrix chemical nature according to ruthenium red staining.

摘要

食品生产中的生物膜污染会威胁食品质量和安全,并引发细菌感染。对食品生物膜(BF)的研究至关重要。我们研究了一家肉类加工厂(俄罗斯莫斯科)不同车间采集的五种食品生物膜的分类组成和结构组织。样本取自工艺设备和生产场所的表面。宏基因组分析表明,不同样本中占主导地位的微生物既有相似之处,也注意到某些物体上存在独特的菌属。发现的细菌属于11个门(无古细菌)。优势菌门为 、 、 和 。从原料切割台采集的生物膜中多样性最高。生物膜中的细菌可能是肉类、鱼类和乳制品腐败的原因(可能的代表菌有 、 、 、 、 、 等)。还发现了机会性人类和动物病原体(可能的代表菌有 、 、 等)。对生物膜薄片的电子显微镜研究揭示了以下几点:(1)多物种生物膜特有的细胞形态类型的多样性;(2)不同样本生物膜中细胞的形态相似性、微菌落生长;(3)同一微菌落内细胞的年龄异质性(营养细胞和自溶细胞、静止形式);(4)根据钌红染色,聚合物基质化学性质的异质性。

https://cdn.ncbi.nlm.nih.gov/pmc/blobs/7949/9415349/8034c89914d8/microorganisms-10-01583-g001.jpg

文献AI研究员

20分钟写一篇综述,助力文献阅读效率提升50倍。

立即体验

用中文搜PubMed

大模型驱动的PubMed中文搜索引擎

马上搜索

文档翻译

学术文献翻译模型,支持多种主流文档格式。

立即体验