Suppr超能文献

HIV 阴性淋巴瘤患者应用口服/眼内抗病毒药物治疗巨细胞病毒性视网膜炎的成功案例。

Successful treatment of cytomegalovirus retinitis with oral/intravitreal antivirals in HIV-negative patients with lymphoma.

机构信息

UCL/Institute of Ophthalmology, Moorfields Eye Hospital NHS Foundation Trust., London, UK.

Laboratory of Ocular and Systemic Autoimmune Diseases, Faculty of Medicine, University of Chile, Santiago, Chile.

出版信息

Eye (Lond). 2023 Jun;37(9):1895-1903. doi: 10.1038/s41433-022-02267-0. Epub 2022 Oct 3.

Abstract

OBJECTIVES

To report patients with systemic lymphoma and cytomegalovirus (CMV) retinitis, treated with a combination of oral and intravitreal antiviral agents on an outpatient basis.

METHODS

Retrospective cases series. Information was gathered from the database of the Uveitis clinics at Moorfields Eye Hospital, United Kingdom from December 2014 to December 2018. The inclusion criteria comprised the diagnosis of systemic lymphoma, associated with a diagnosis of CMV retinitis. Exclusion criteria were alternative ocular diagnosis, human immunodeficiency virus (HIV), primary intraocular lymphoma, or other causes of immunosuppression.

RESULTS

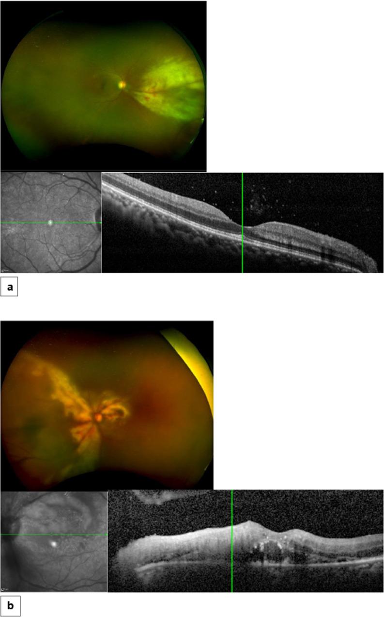
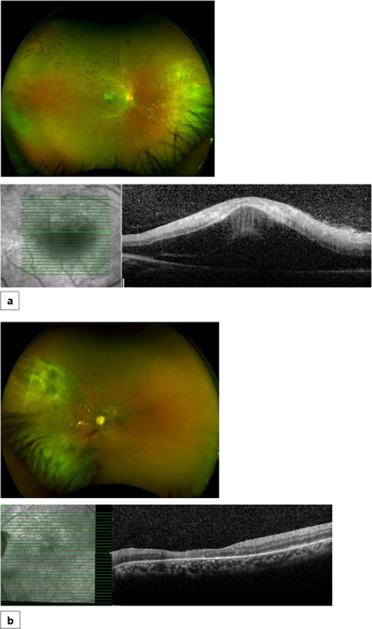
All seven subjects had been under oncologist care for systemic lymphoma. CMV retinitis presented with a median of 61 months after the systemic lymphoma diagnosis. Five patients underwent a vitreous biopsy, and four of them returned PCR positive for CMV and the fifth patient had PCR positive in a blood sample. All patients were treated with oral Valganciclovir, with an induction dose of 900 mg every 12 h for up to 3 weeks until disease resolution and a maintenance dose thereafter. All but one received additional intravitreal Foscarnet injections, with a dose of 2.4 mg /0.1 ml.

CONCLUSIONS

The management of patients with systemic lymphoma and CMV retinitis with oral and intravitreal antiviral agents, resulted in effective disease control.

摘要

目的

报告一组以全身淋巴瘤和巨细胞病毒(CMV)视网膜炎为特征的患者,他们接受了口服和玻璃体内抗病毒药物联合治疗,并在门诊接受治疗。

方法

回顾性病例系列。信息是从英国 Moorfields 眼科医院葡萄膜炎诊所的数据库中收集的,时间从 2014 年 12 月至 2018 年 12 月。纳入标准包括全身淋巴瘤的诊断,伴发 CMV 视网膜炎的诊断。排除标准为替代眼部诊断、人类免疫缺陷病毒(HIV)、原发性眼内淋巴瘤或其他原因的免疫抑制。

结果

所有 7 名患者均在肿瘤医生的治疗下接受全身淋巴瘤治疗。CMV 视网膜炎在全身淋巴瘤诊断后中位时间为 61 个月出现。5 名患者接受了玻璃体活检,其中 4 名患者的 CMV PCR 结果为阳性,第 5 名患者的血液样本 PCR 结果为阳性。所有患者均接受口服缬更昔洛韦治疗,诱导剂量为 900mg,每 12 小时 1 次,持续 3 周,直至疾病缓解,然后维持剂量。除 1 人外,其余所有人均接受了额外的玻璃体内膦甲酸注射,剂量为 2.4mg/0.1ml。

结论

全身淋巴瘤和 CMV 视网膜炎患者采用口服和玻璃体内抗病毒药物治疗,可有效控制疾病。

https://cdn.ncbi.nlm.nih.gov/pmc/blobs/f956/10275932/399eb97104d2/41433_2022_2267_Fig1_HTML.jpg

文献AI研究员

20分钟写一篇综述,助力文献阅读效率提升50倍。

立即体验

用中文搜PubMed

大模型驱动的PubMed中文搜索引擎

马上搜索

文档翻译

学术文献翻译模型,支持多种主流文档格式。

立即体验