• 文献检索
  • 文档翻译
  • 深度研究
  • 学术资讯
  • Suppr Zotero 插件Zotero 插件
  • 邀请有礼
  • 套餐&价格
  • 历史记录
应用&插件
Suppr Zotero 插件Zotero 插件浏览器插件Mac 客户端Windows 客户端微信小程序
定价
高级版会员购买积分包购买API积分包
服务
文献检索文档翻译深度研究API 文档MCP 服务
关于我们
关于 Suppr公司介绍联系我们用户协议隐私条款
关注我们

Suppr 超能文献

核心技术专利:CN118964589B侵权必究
粤ICP备2023148730 号-1Suppr @ 2026

文献检索

告别复杂PubMed语法,用中文像聊天一样搜索,搜遍4000万医学文献。AI智能推荐,让科研检索更轻松。

立即免费搜索

文件翻译

保留排版,准确专业,支持PDF/Word/PPT等文件格式,支持 12+语言互译。

免费翻译文档

深度研究

AI帮你快速写综述,25分钟生成高质量综述,智能提取关键信息,辅助科研写作。

立即免费体验

先天性单纯疱疹病毒:胎盘的组织病理学观察

Congenital Herpes Simplex Virus: A Histopathological View of the Placenta.

作者信息

Deftereou Theodora-Eleftheria, Trypidi Anna, Alexiadi Christina Angelika, Theotokis Paschalis, Manthou Maria Eleni, Meditskou Soultana, Simopoulou Maria, Lambropoulou Maria

机构信息

Laboratory of Histology and Embryology, Democritus University of Thrace, Alexandroupolis, GRC.

Department of Physiology, National and Kapodistrian University of Athens, Athens, GRC.

出版信息

Cureus. 2022 Sep 13;14(9):e29101. doi: 10.7759/cureus.29101. eCollection 2022 Sep.

DOI:10.7759/cureus.29101
PMID:36249599
原文链接:https://pmc.ncbi.nlm.nih.gov/articles/PMC9557870/
Abstract

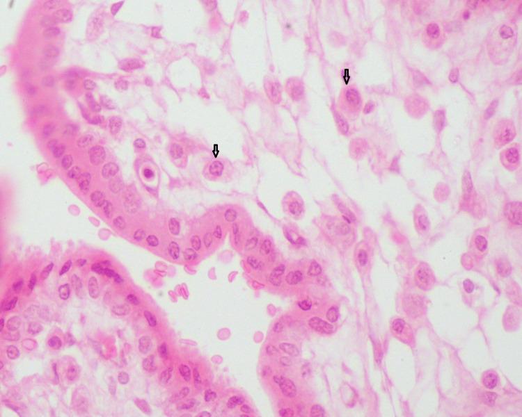
Congenital Herpes simplex virus (HSV) infection is considered a common pregnancy pathology that is not always easy to diagnose. This study aimed to present the spectrum of placental histopathological lesions in pregnancies complicated by HSV infection. MEDLINE and Google Scholar databases were searched using the keywords "HSV" and "placental histopathology" up to June 20, 2022. Study inclusion required presenting placental histopathological anomalies in pregnant women diagnosed with HSV infection antenatally, during labor, or postnatally. Herein, we briefly present placental pathogenesis conditions, which have been correlated with congenital HSV infection, providing clinicians with a short review describing herpetic placental pathology.

摘要

先天性单纯疱疹病毒(HSV)感染被认为是一种常见的妊娠病理情况,诊断起来并不总是那么容易。本研究旨在呈现合并HSV感染的妊娠中胎盘组织病理学病变的范围。截至2022年6月20日,使用关键词“HSV”和“胎盘组织病理学”检索了MEDLINE和谷歌学术数据库。纳入研究要求呈现产前、分娩期间或产后被诊断为HSV感染的孕妇的胎盘组织病理学异常情况。在此,我们简要介绍与先天性HSV感染相关的胎盘发病机制情况,为临床医生提供一篇描述疱疹性胎盘病理学的简短综述。

https://cdn.ncbi.nlm.nih.gov/pmc/blobs/a378/9557870/de6766efd96e/cureus-0014-00000029101-i03.jpg
https://cdn.ncbi.nlm.nih.gov/pmc/blobs/a378/9557870/ae3cd2561538/cureus-0014-00000029101-i01.jpg
https://cdn.ncbi.nlm.nih.gov/pmc/blobs/a378/9557870/b81a577615a7/cureus-0014-00000029101-i02.jpg
https://cdn.ncbi.nlm.nih.gov/pmc/blobs/a378/9557870/de6766efd96e/cureus-0014-00000029101-i03.jpg
https://cdn.ncbi.nlm.nih.gov/pmc/blobs/a378/9557870/ae3cd2561538/cureus-0014-00000029101-i01.jpg
https://cdn.ncbi.nlm.nih.gov/pmc/blobs/a378/9557870/b81a577615a7/cureus-0014-00000029101-i02.jpg
https://cdn.ncbi.nlm.nih.gov/pmc/blobs/a378/9557870/de6766efd96e/cureus-0014-00000029101-i03.jpg

相似文献

1
Congenital Herpes Simplex Virus: A Histopathological View of the Placenta.先天性单纯疱疹病毒:胎盘的组织病理学观察
Cureus. 2022 Sep 13;14(9):e29101. doi: 10.7759/cureus.29101. eCollection 2022 Sep.
2
Herpes simplex virus type 2 IgG antibodies in sera of umbilical cord as a proxy for placental infection in asymptomatic pregnant women.无症状孕妇血清中单纯疱疹病毒 2 型 IgG 抗体作为胎盘感染的替代标志物。
Am J Reprod Immunol. 2018 Apr;79(4):e12824. doi: 10.1111/aji.12824. Epub 2018 Feb 10.
3
Prevalence of herpes simplex virus types 1 and 2 at maternal and fetal sides of the placenta in asymptomatic pregnant women.无症状孕妇胎盘母体侧和胎儿侧单纯疱疹病毒1型和2型的患病率
Am J Reprod Immunol. 2017 Jul;78(1). doi: 10.1111/aji.12689. Epub 2017 Apr 25.
4
The acquisition of herpes simplex virus during pregnancy.孕期感染单纯疱疹病毒。
N Engl J Med. 1997 Aug 21;337(8):509-15. doi: 10.1056/NEJM199708213370801.
5
Herpes simplex virus: prevalence in placental tissue and incidence in neonatal cord blood samples.单纯疱疹病毒:胎盘组织中的流行率和新生儿脐带血样本中的发生率。
J Med Virol. 2014 Mar;86(3):519-24. doi: 10.1002/jmv.23817. Epub 2013 Dec 13.
6
Fetal and neonatal abnormalities due to congenital herpes simplex virus infection: a literature review.先天性单纯疱疹病毒感染所致胎儿和新生儿异常:文献复习。
Prenat Diagn. 2020 Mar;40(4):408-414. doi: 10.1002/pd.5587. Epub 2020 Jan 2.
7
Primary HSV-2 Infection in Early Pregnancy Results in Transplacental Viral Transmission and Dose-Dependent Adverse Pregnancy Outcomes in a Novel Mouse Model.原发性单纯疱疹病毒 2 型感染在妊娠早期导致胎盘病毒传播,并在新型小鼠模型中导致剂量依赖性不良妊娠结局。
Viruses. 2021 Sep 25;13(10):1929. doi: 10.3390/v13101929.
8
Replication of herpes simplex virus in blood monocytes and placental macrophages from human neonates.单纯疱疹病毒在人类新生儿血液单核细胞和胎盘巨噬细胞中的复制。
Pediatr Res. 1989 Aug;26(2):135-9. doi: 10.1203/00006450-198908000-00014.
9
Clinical reactivation of herpes simplex virus type 2 infection in seropositive pregnant women with no history of genital herpes.既往无生殖器疱疹病史的血清学阳性孕妇中单纯疱疹病毒2型感染的临床再激活
Ann Intern Med. 1993 Mar 15;118(6):414-8. doi: 10.7326/0003-4819-118-6-199303150-00003.
10
Necrotizing funisitis and herpes simplex infection of placental and decidual tissues: study of four cases.胎盘和蜕膜组织的坏死性脐带炎及单纯疱疹感染:4例研究
Hum Pathol. 1994 Jul;25(7):715-22. doi: 10.1016/0046-8177(94)90306-9.

引用本文的文献

1
Infection-Related Stillbirths: A Detailed Examination of a Nine-Year Multidisciplinary Study.感染相关死产:一项为期九年的多学科研究的详细考察
Microorganisms. 2025 Jan 2;13(1):71. doi: 10.3390/microorganisms13010071.
2
Roles of TGF-β1 in Viral Infection during Pregnancy: Research Update and Perspectives.TGF-β1 在妊娠期间病毒感染中的作用:研究进展与展望。
Int J Mol Sci. 2023 Mar 30;24(7):6489. doi: 10.3390/ijms24076489.
3
Archaic connectivity between the sulfated heparan sulfate and the herpesviruses - An evolutionary potential for cross-species interactions.

本文引用的文献

1
Primary HSV-2 Infection in Early Pregnancy Results in Transplacental Viral Transmission and Dose-Dependent Adverse Pregnancy Outcomes in a Novel Mouse Model.原发性单纯疱疹病毒 2 型感染在妊娠早期导致胎盘病毒传播,并在新型小鼠模型中导致剂量依赖性不良妊娠结局。
Viruses. 2021 Sep 25;13(10):1929. doi: 10.3390/v13101929.
2
Infections at the maternal-fetal interface: an overview of pathogenesis and defence.母胎界面感染:发病机制与防御概述。
Nat Rev Microbiol. 2022 Feb;20(2):67-82. doi: 10.1038/s41579-021-00610-y. Epub 2021 Aug 25.
3
Pregnancy and viral infections: Mechanisms of fetal damage, diagnosis and prevention of neonatal adverse outcomes from cytomegalovirus to SARS-CoV-2 and Zika virus.
硫酸乙酰肝素与疱疹病毒之间的古老联系——跨物种相互作用的进化潜力。
Comput Struct Biotechnol J. 2023 Jan 13;21:1030-1040. doi: 10.1016/j.csbj.2023.01.005. eCollection 2023.
妊娠与病毒感染:巨细胞病毒、严重急性呼吸综合征冠状病毒 2 型及寨卡病毒致胎儿损伤的机制、诊断与新生儿不良结局的预防
Biochim Biophys Acta Mol Basis Dis. 2021 Oct 1;1867(10):166198. doi: 10.1016/j.bbadis.2021.166198. Epub 2021 Jun 10.
4
Central role of the placenta during viral infection: Immuno-competences and miRNA defensive responses.胎盘在病毒感染中的核心作用:免疫能力和 miRNA 防御反应。
Biochim Biophys Acta Mol Basis Dis. 2021 Oct 1;1867(10):166182. doi: 10.1016/j.bbadis.2021.166182. Epub 2021 May 28.
5
Disseminated herpes simplex virus 2 as a complication of pregnancy.播散性单纯疱疹病毒2型作为妊娠并发症
IDCases. 2021 Mar 31;24:e01107. doi: 10.1016/j.idcr.2021.e01107. eCollection 2021.
6
Necrotizing funisitis and calcification of umbilical vein: case report and review.新生儿坏死性脐炎和脐静脉钙化:病例报告及文献复习
BMC Pregnancy Childbirth. 2021 Apr 12;21(1):296. doi: 10.1186/s12884-021-03743-3.
7
Placental Immune Responses to Viruses: Molecular and Histo-Pathologic Perspectives.胎盘对病毒的免疫反应:分子和组织病理学视角。
Int J Mol Sci. 2021 Mar 13;22(6):2921. doi: 10.3390/ijms22062921.
8
Clinical correlates of histopathological entities of the placenta.胎盘组织学实体的临床相关性。
Aust J Gen Pract. 2021 Jan-Feb;50(1-2):62-69. doi: 10.31128/AJGP-11-19-5154.
9
Multimodal Imaging of a Severe Case of Neonatal Acute Retinal Necrosis and Lens Vacuoles Associated with Herpes Simplex Virus Infection.多模态成像在严重新生儿急性视网膜坏死和单纯疱疹病毒感染相关晶状体空泡中的应用。
Ocul Immunol Inflamm. 2022 May 19;30(4):1009-1015. doi: 10.1080/09273948.2020.1841803. Epub 2021 Feb 4.
10
Diagnosis of Neonatal Herpes Simplex Infection from the Placenta.通过胎盘诊断新生儿单纯疱疹感染
Case Rep Pediatr. 2020 Nov 20;2020:8898612. doi: 10.1155/2020/8898612. eCollection 2020.