Li Bangyan, Mao Qianqian, Xiong Ruogu, Zhou Dandan, Huang Siyu, Saimaiti Adila, Shang Ao, Luo Min, Li Hangyu, Li Huabin, Li Sha
Guangdong Provincial Key Laboratory of Food, Nutrition and Health, Department of Nutrition, School of Public Health, Sun Yat-Sen University, Guangzhou 510080, China.
School of Public Health, Shanghai Jiao Tong University School of Medicine, Shanghai 200025, China.
Foods. 2022 Oct 31;11(21):3457. doi: 10.3390/foods11213457.
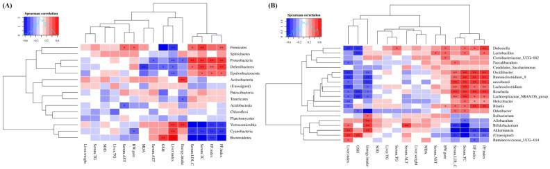
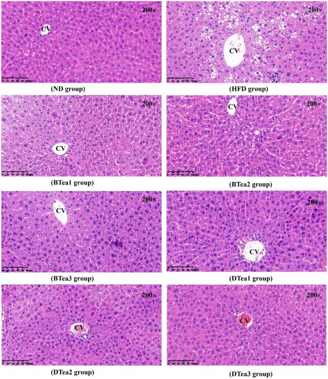
Non-alcoholic fatty liver disease (NAFLD) has emerged as a leading public health challenge and is closely associated with metabolic syndromes, such as obesity. Intestinal microbiota dysbiosis could play a vital role in the pathogenesis and progression of NAFLD. Tea is the second most popular health drink in the world behind water, and exhibits many health-promoting effects. In this study, the protective effects of different black and dark teas on NAFLD induced by long-term high-fat diet (HFD) exposure and their regulation of gut microbiota were evaluated and explored. The results indicated that supplementation with different black and dark tea extracts could significantly suppress the energy intake, alleviate abnormal accumulation of visceral fat, and prevent obesity, hepatic abnormal lipid deposition and liver steatosis in HFD-fed mice at varying degrees. In addition, Dianhong tea and Liupao tea interventions could significantly decrease the ratio of to , and selenium-enriched black tea and selenium-enriched dark rea supplementation could remarkably reduce the relative abundance of compared to the model group. Moreover, these teas could partly shift the relative abundances of , and . Taken together, black teas and dark teas could prevent HFD-induced features of obesity and NAFLD, which might partly be due to the modulation of gut microbiota.
非酒精性脂肪性肝病(NAFLD)已成为一项重大的公共卫生挑战,且与肥胖等代谢综合征密切相关。肠道微生物群失调可能在NAFLD的发病机制和进展中发挥重要作用。茶是世界上仅次于水的第二大受欢迎的健康饮品,并具有多种促进健康的功效。在本研究中,评估并探究了不同红茶和黑茶对长期高脂饮食(HFD)诱导的NAFLD的保护作用及其对肠道微生物群的调节作用。结果表明,补充不同的红茶和黑茶提取物可在不同程度上显著抑制能量摄入,减轻内脏脂肪的异常堆积,并预防HFD喂养小鼠的肥胖、肝脏异常脂质沉积和肝脂肪变性。此外,滇红茶和六堡茶干预可显著降低 与 的比例,与模型组相比,富硒红茶和富硒黑茶补充剂可显著降低 的相对丰度。此外,这些茶可部分改变 、 和 的相对丰度。综上所述,红茶和黑茶可预防HFD诱导的肥胖和NAFLD特征,这可能部分归因于对肠道微生物群的调节作用。