• 文献检索
  • 文档翻译
  • 深度研究
  • 学术资讯
  • Suppr Zotero 插件Zotero 插件
  • 邀请有礼
  • 套餐&价格
  • 历史记录
应用&插件
Suppr Zotero 插件Zotero 插件浏览器插件Mac 客户端Windows 客户端微信小程序
定价
高级版会员购买积分包购买API积分包
服务
文献检索文档翻译深度研究API 文档MCP 服务
关于我们
关于 Suppr公司介绍联系我们用户协议隐私条款
关注我们

Suppr 超能文献

核心技术专利:CN118964589B侵权必究
粤ICP备2023148730 号-1Suppr @ 2026

文献检索

告别复杂PubMed语法,用中文像聊天一样搜索,搜遍4000万医学文献。AI智能推荐,让科研检索更轻松。

立即免费搜索

文件翻译

保留排版,准确专业,支持PDF/Word/PPT等文件格式,支持 12+语言互译。

免费翻译文档

深度研究

AI帮你快速写综述,25分钟生成高质量综述,智能提取关键信息,辅助科研写作。

立即免费体验

甘油三酯通过激活半胱天冬酶-2 和半胱天冬酶-8 诱导单核细胞死亡导致 DNA 损伤。

Triglyceride induces DNA damage leading to monocyte death by activating caspase-2 and caspase-8.

机构信息

Department of Nutritional Sciences and Toxicology, University of California, Berkeley, CA 94720, USA; Department of Biomedical Laboratory Science, College of Software and Digital Healthcare Convergence, Yonsei University, Wonju 26493, Korea.

Department of Biomedical Laboratory Science, College of Software and Digital Healthcare Convergence, Yonsei University, Wonju 26493; Department of Biomedical Laboratory Science, College of Natural Science, Gimcheon University, Gimcheon 39528, Korea.

出版信息

BMB Rep. 2023 Mar;56(2):166-171. doi: 10.5483/BMBRep.2022-0201.

DOI:10.5483/BMBRep.2022-0201
PMID:36593108
原文链接:https://pmc.ncbi.nlm.nih.gov/articles/PMC10068338/
Abstract

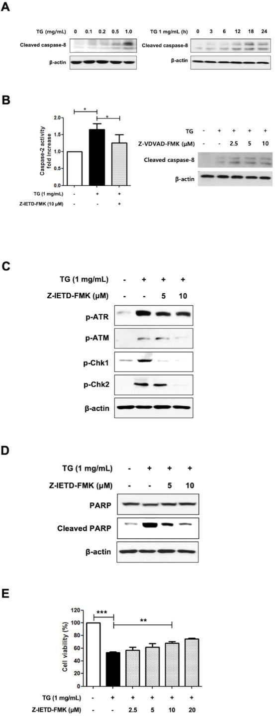
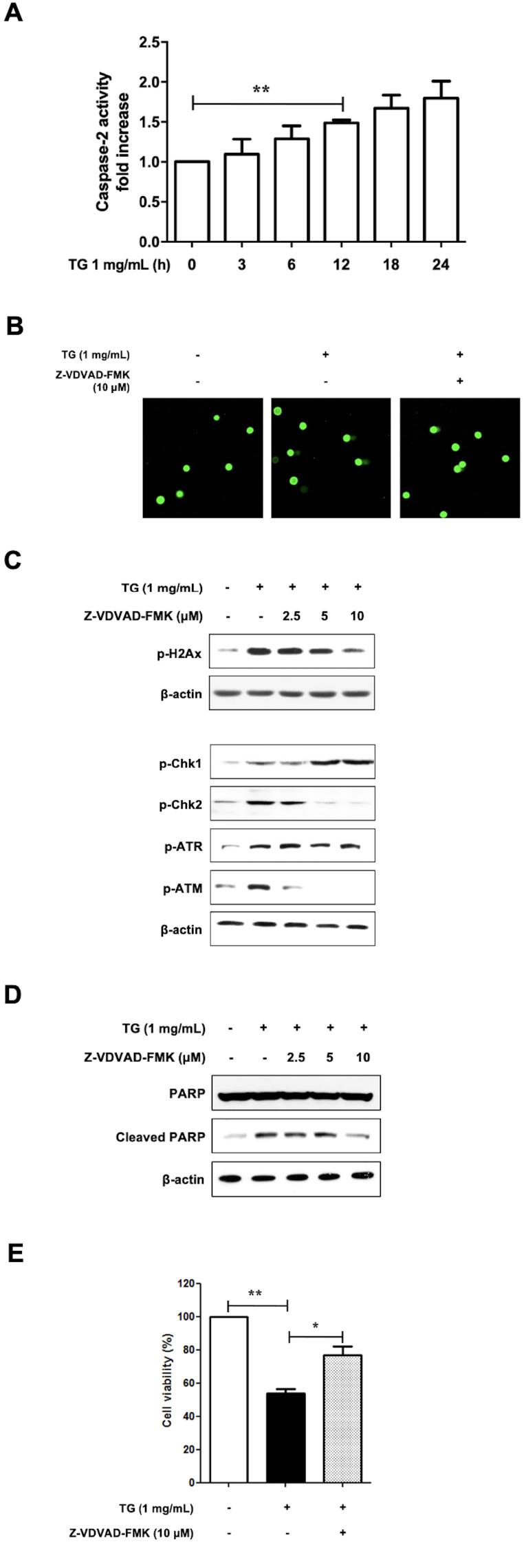
Monocytes are peripheral leukocytes that function in innate immunity. Excessive triglyceride (TG) accumulation causes monocyte death and thus can compromise innate immunity. However, the mechanisms by which TG mediates monocyte death remain unclear to date. Thus, this study aimed to elucidate the mechanisms by which TG induces monocyte death. Results showed that TG induced monocyte death by activating caspase-3/7 and promoting poly (ADP-ribose) polymerase (PARP) cleavage. In addition, TG induced DNA damage and activated the ataxia telangiectasia mutated (ATM)/checkpoint kinase 2 and ATM-and Rad3-related (ATR)/checkpoint kinase 1 pathways, leading to the cell death. Furthermore, TG-induced DNA damage and monocyte death were mediated by caspase-2 and -8, and caspase-8 acted as an upstream molecule of caspase-2. Taken together, these results suggest that TG-induced monocyte death is mediated via the caspase-8/caspase-2/DNA damage/executioner caspase/PARP pathways. [BMB Reports 2023; 56(3): 166-171].

摘要

单核细胞是外周白细胞,在先天免疫中发挥作用。过多的甘油三酯(TG)积累会导致单核细胞死亡,从而损害先天免疫。然而,到目前为止,TG 介导单核细胞死亡的机制尚不清楚。因此,本研究旨在阐明 TG 诱导单核细胞死亡的机制。结果表明,TG 通过激活 caspase-3/7 并促进聚(ADP-核糖)聚合酶(PARP)裂解来诱导单核细胞死亡。此外,TG 诱导 DNA 损伤并激活共济失调毛细血管扩张突变(ATM)/检查点激酶 2 和 ATM 和 Rad3 相关(ATR)/检查点激酶 1 途径,导致细胞死亡。此外,TG 诱导的 DNA 损伤和单核细胞死亡由 caspase-2 和 -8 介导,caspase-8 作为 caspase-2 的上游分子。总之,这些结果表明,TG 诱导的单核细胞死亡是通过 caspase-8/caspase-2/DNA 损伤/效应 caspase/PARP 途径介导的。[BMB 报告 2023;56(3):166-171]。

https://cdn.ncbi.nlm.nih.gov/pmc/blobs/dba2/10068338/a79859e53cae/bmb-56-3-166-f4.jpg
https://cdn.ncbi.nlm.nih.gov/pmc/blobs/dba2/10068338/e9ba6d5a63bc/bmb-56-3-166-f1.jpg
https://cdn.ncbi.nlm.nih.gov/pmc/blobs/dba2/10068338/ec943cb31d9f/bmb-56-3-166-f2.jpg
https://cdn.ncbi.nlm.nih.gov/pmc/blobs/dba2/10068338/97b4c9ffccad/bmb-56-3-166-f3.jpg
https://cdn.ncbi.nlm.nih.gov/pmc/blobs/dba2/10068338/a79859e53cae/bmb-56-3-166-f4.jpg
https://cdn.ncbi.nlm.nih.gov/pmc/blobs/dba2/10068338/e9ba6d5a63bc/bmb-56-3-166-f1.jpg
https://cdn.ncbi.nlm.nih.gov/pmc/blobs/dba2/10068338/ec943cb31d9f/bmb-56-3-166-f2.jpg
https://cdn.ncbi.nlm.nih.gov/pmc/blobs/dba2/10068338/97b4c9ffccad/bmb-56-3-166-f3.jpg
https://cdn.ncbi.nlm.nih.gov/pmc/blobs/dba2/10068338/a79859e53cae/bmb-56-3-166-f4.jpg

相似文献

1
Triglyceride induces DNA damage leading to monocyte death by activating caspase-2 and caspase-8.甘油三酯通过激活半胱天冬酶-2 和半胱天冬酶-8 诱导单核细胞死亡导致 DNA 损伤。
BMB Rep. 2023 Mar;56(2):166-171. doi: 10.5483/BMBRep.2022-0201.
2
Biological and molecular mechanisms of sulfur mustard analogue-induced toxicity in JB6 and HaCaT cells: possible role of ataxia telangiectasia-mutated/ataxia telangiectasia-Rad3-related cell cycle checkpoint pathway.芥子气类似物诱导 JB6 和 HaCaT 细胞毒性的生物学和分子机制:共济失调毛细血管扩张症突变/共济失调毛细血管扩张症 Rad3 相关细胞周期检查点通路的可能作用。
Chem Res Toxicol. 2010 Jun 21;23(6):1034-44. doi: 10.1021/tx100038b.
3
Ataxia telangiectasia mutated (ATM) signaling network is modulated by a novel poly(ADP-ribose)-dependent pathway in the early response to DNA-damaging agents.共济失调毛细血管扩张症突变(ATM)信号网络在对DNA损伤剂的早期反应中由一条新的聚(ADP - 核糖)依赖性途径调节。
J Biol Chem. 2007 Jun 1;282(22):16441-53. doi: 10.1074/jbc.M608406200. Epub 2007 Apr 11.
4
Poly(ADP-Ribose) Polymerase-1 inhibition potentiates cell death and phosphorylation of DNA damage response proteins in oxidative stressed retinal cells.聚(ADP-核糖)聚合酶-1 抑制增强氧化应激视网膜细胞中的细胞死亡和 DNA 损伤反应蛋白的磷酸化。
Exp Eye Res. 2019 Nov;188:107790. doi: 10.1016/j.exer.2019.107790. Epub 2019 Sep 5.
5
Caspase-2 mediates triglyceride (TG)-induced macrophage cell death.半胱氨酸天冬氨酸蛋白酶-2 介导甘油三酯(TG)诱导的巨噬细胞死亡。
BMB Rep. 2017 Oct;50(10):510-515. doi: 10.5483/bmbrep.2017.50.10.106.
6
The DNA damage sensors ataxia-telangiectasia mutated kinase and checkpoint kinase 2 are required for hepatitis C virus RNA replication.DNA损伤传感器共济失调毛细血管扩张突变激酶和检查点激酶2是丙型肝炎病毒RNA复制所必需的。
J Virol. 2008 Oct;82(19):9639-46. doi: 10.1128/JVI.00351-08. Epub 2008 Jul 30.
7
Inhibition of poly (ADP-ribose) polymerase activates ATM which is required for subsequent homologous recombination repair.聚(ADP - 核糖)聚合酶的抑制会激活ATM,而ATM是后续同源重组修复所必需的。
Nucleic Acids Res. 2006 Mar 23;34(6):1685-91. doi: 10.1093/nar/gkl108. Print 2006.
8
Role of autophagy in chemoresistance: regulation of the ATM-mediated DNA-damage signaling pathway through activation of DNA-PKcs and PARP-1.自噬在化疗耐药中的作用:通过激活 DNA-PKcs 和 PARP-1 来调节 ATM 介导的 DNA 损伤信号通路。
Biochem Pharmacol. 2012 Mar 15;83(6):747-57. doi: 10.1016/j.bcp.2011.12.029. Epub 2011 Dec 29.
9
Combined poly-ADP ribose polymerase and ataxia-telangiectasia mutated/Rad3-related inhibition targets ataxia-telangiectasia mutated-deficient lung cancer cells.聚 ADP 核糖聚合酶与共济失调毛细血管扩张突变/ Rad3 相关抑制物靶向共济失调毛细血管扩张突变缺陷型肺癌细胞。
Br J Cancer. 2019 Oct;121(7):600-610. doi: 10.1038/s41416-019-0565-8. Epub 2019 Sep 4.
10
The PARP inhibitor PJ34 causes a PARP1-independent, p21 dependent mitotic arrest.PARP 抑制剂 PJ34 导致 PARP1 非依赖性、p21 依赖性有丝分裂阻滞。
DNA Repair (Amst). 2011 Oct 10;10(10):1003-13. doi: 10.1016/j.dnarep.2011.07.006. Epub 2011 Aug 12.

引用本文的文献

1
KU60019 inhibits ovarian cancer progression by targeting DGAT1/has-miR-1273g-3p axis.KU60019通过靶向二酰甘油酰基转移酶1/has-miR-1273g-3p轴抑制卵巢癌进展。
PLoS One. 2025 Jun 24;20(6):e0325213. doi: 10.1371/journal.pone.0325213. eCollection 2025.
2
Triglyceride-inflammation score established on account of random survival forest for predicting survival in patients with nasopharyngeal carcinoma: a retrospective study.基于随机生存森林建立的甘油三酯-炎症评分预测鼻咽癌患者生存:一项回顾性研究。
Front Immunol. 2024 Apr 26;15:1375931. doi: 10.3389/fimmu.2024.1375931. eCollection 2024.
3
Tumor suppressor Parkin induces p53-mediated cell cycle arrest in human lung and colorectal cancer cells.

本文引用的文献

1
Lethal and Non-Lethal Functions of Caspases in the DNA Damage Response.Caspases 在 DNA 损伤反应中的致死和非致死功能。
Cells. 2022 Jun 10;11(12):1887. doi: 10.3390/cells11121887.
2
Correction: Caspase-2 regulates S-phase cell cycle events to protect from DNA damage accumulation independent of apoptosis.更正:半胱天冬酶-2调节S期细胞周期事件,以独立于凋亡之外保护细胞免受DNA损伤积累。
Oncogene. 2022 Jul;41(29):3732-3734. doi: 10.1038/s41388-022-02373-z.
3
Pulsed electromagnetic field potentiates etoposide-induced MCF-7 cell death.脉冲电磁场增强依托泊苷诱导的 MCF-7 细胞死亡。
抑癌基因 Parkin 诱导人肺癌和结直肠癌细胞中的 p53 介导的细胞周期停滞。
BMB Rep. 2023 Oct;56(10):557-562. doi: 10.5483/BMBRep.2023-0134.
BMB Rep. 2022 Mar;55(3):148-153. doi: 10.5483/BMBRep.2022.55.3.119.
4
Tat-CIAPIN1 protein prevents against cytokine-induced cytotoxicity in pancreatic RINm5F β-cells.Tat-CIAPIN1 蛋白可防止细胞因子诱导的胰腺 RINm5Fβ细胞毒性。
BMB Rep. 2021 Sep;54(9):458-463. doi: 10.5483/BMBRep.2021.54.9.040.
5
Improvement of Hypertriglyceridemia by Roasted in High Fat/High Cholesterol Diet Rat Model.高脂高胆固醇饮食诱导大鼠模型中炒白术对高甘油三酯血症的改善作用。
Nutrients. 2020 Dec 17;12(12):3859. doi: 10.3390/nu12123859.
6
Causes and Consequences of Hypertriglyceridemia.高甘油三酯血症的原因及后果。
Front Endocrinol (Lausanne). 2020 May 14;11:252. doi: 10.3389/fendo.2020.00252. eCollection 2020.
7
The Role of Caspase-2 in Regulating Cell Fate.Caspase-2 在调控细胞命运中的作用。
Cells. 2020 May 19;9(5):1259. doi: 10.3390/cells9051259.
8
miR-103 promotes endothelial maladaptation by targeting lncWDR59.miR-103 通过靶向 lncWDR59 促进内皮细胞失调适应。
Nat Commun. 2018 Jul 6;9(1):2645. doi: 10.1038/s41467-018-05065-z.
9
A Dual Role of Caspase-8 in Triggering and Sensing Proliferation-Associated DNA Damage, a Key Determinant of Liver Cancer Development.半胱天冬酶-8在引发和感知增殖相关DNA损伤中的双重作用,这是肝癌发展的关键决定因素。
Cancer Cell. 2017 Sep 11;32(3):342-359.e10. doi: 10.1016/j.ccell.2017.08.010.
10
Caspase-2 mediates triglyceride (TG)-induced macrophage cell death.半胱氨酸天冬氨酸蛋白酶-2 介导甘油三酯(TG)诱导的巨噬细胞死亡。
BMB Rep. 2017 Oct;50(10):510-515. doi: 10.5483/bmbrep.2017.50.10.106.