• 文献检索
  • 文档翻译
  • 深度研究
  • 学术资讯
  • Suppr Zotero 插件Zotero 插件
  • 邀请有礼
  • 套餐&价格
  • 历史记录
应用&插件
Suppr Zotero 插件Zotero 插件浏览器插件Mac 客户端Windows 客户端微信小程序
定价
高级版会员购买积分包购买API积分包
服务
文献检索文档翻译深度研究API 文档MCP 服务
关于我们
关于 Suppr公司介绍联系我们用户协议隐私条款
关注我们

Suppr 超能文献

核心技术专利:CN118964589B侵权必究
粤ICP备2023148730 号-1Suppr @ 2026

文献检索

告别复杂PubMed语法,用中文像聊天一样搜索,搜遍4000万医学文献。AI智能推荐,让科研检索更轻松。

立即免费搜索

文件翻译

保留排版,准确专业,支持PDF/Word/PPT等文件格式,支持 12+语言互译。

免费翻译文档

深度研究

AI帮你快速写综述,25分钟生成高质量综述,智能提取关键信息,辅助科研写作。

立即免费体验

IGF2BP3 通过 m6A RNA 甲基化调控 TMA7 介导的自噬和顺铂耐药性在喉癌中。

IGF2BP3 Regulates TMA7-mediated Autophagy and Cisplatin Resistance in Laryngeal Cancer via m6A RNA Methylation.

机构信息

Department of Otorhinolaryngology, Head and Neck Surgery, The Second Affiliated Hospital, Harbin Medical University, Harbin 150086, China.

Department of Otorhinolaryngology, Head and Neck Surgery, The Fifth Affiliated Hospital, Harbin Medical University, Daqing 163316, China.

出版信息

Int J Biol Sci. 2023 Feb 22;19(5):1382-1400. doi: 10.7150/ijbs.80921. eCollection 2023.

DOI:10.7150/ijbs.80921
PMID:37056932
原文链接:https://pmc.ncbi.nlm.nih.gov/articles/PMC10086756/
Abstract

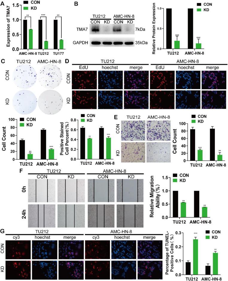
Translation machinery associated 7 homolog (TMA7) is closely related to proliferation-related diseases. However, the function and regulatory mechanism of TMA7 in laryngeal squamous cell carcinoma (LSCC) remain unclear. The present study aimed to investigate the effect of TMA7 on the occurrence and development of LSCC and to study the mechanism of TMA7. TMA7 is upregulated in LSCC tissues and associated with poor prognosis. After TMA7 downregulation, the autophagy level was increased, and the proliferation, migration, and invasion of LSCC cells were inhibited. The m6A methylated reader IGF2BP3 enhanced the stability of TMA7 and reduced the level of autophagy. TMA7 interacted directly with UBA2. Furthermore, the activation of the IGF2BP3-regulated TMA7-UBA2-PI3K pathway is the primary mechanism by which TMA7 inhibits autophagy and promotes the progression of LSCC. The current study revealed that IGF2BP3-mediated TMA7 m6A modification promotes LSCC progression and cisplatin-resistance through UBA2-PI3K pathway, providing new insights into the autophagy-related mechanism, potential biomarkers, and therapeutic targets for LSCC.

摘要

翻译机器相关同源物 7(TMA7)与增殖相关疾病密切相关。然而,TMA7 在喉鳞状细胞癌(LSCC)中的功能和调节机制尚不清楚。本研究旨在探讨 TMA7 对 LSCC 发生发展的影响,并研究 TMA7 的作用机制。TMA7 在 LSCC 组织中上调,并与不良预后相关。下调 TMA7 后,自噬水平增加,LSCC 细胞的增殖、迁移和侵袭受到抑制。m6A 甲基化阅读器 IGF2BP3 增强了 TMA7 的稳定性,降低了自噬水平。TMA7 与 UBA2 直接相互作用。此外,IGF2BP3 调节的 TMA7-UBA2-PI3K 通路的激活是 TMA7 抑制自噬并促进 LSCC 进展的主要机制。本研究揭示了 IGF2BP3 介导的 TMA7 m6A 修饰通过 UBA2-PI3K 通路促进 LSCC 的进展和顺铂耐药性,为 LSCC 的自噬相关机制、潜在生物标志物和治疗靶点提供了新的见解。

https://cdn.ncbi.nlm.nih.gov/pmc/blobs/5516/10086756/39fcb5b34a6f/ijbsv19p1382g009.jpg
https://cdn.ncbi.nlm.nih.gov/pmc/blobs/5516/10086756/5bd4646dc0ac/ijbsv19p1382g001.jpg
https://cdn.ncbi.nlm.nih.gov/pmc/blobs/5516/10086756/f281c64f26e4/ijbsv19p1382g002.jpg
https://cdn.ncbi.nlm.nih.gov/pmc/blobs/5516/10086756/4a7f66e8975d/ijbsv19p1382g003.jpg
https://cdn.ncbi.nlm.nih.gov/pmc/blobs/5516/10086756/02bbc5b364b6/ijbsv19p1382g004.jpg
https://cdn.ncbi.nlm.nih.gov/pmc/blobs/5516/10086756/d7848021c6aa/ijbsv19p1382g005.jpg
https://cdn.ncbi.nlm.nih.gov/pmc/blobs/5516/10086756/f381d6d445f3/ijbsv19p1382g006.jpg
https://cdn.ncbi.nlm.nih.gov/pmc/blobs/5516/10086756/d4e8081e4024/ijbsv19p1382g007.jpg
https://cdn.ncbi.nlm.nih.gov/pmc/blobs/5516/10086756/79ffd4fe01ec/ijbsv19p1382g008.jpg
https://cdn.ncbi.nlm.nih.gov/pmc/blobs/5516/10086756/39fcb5b34a6f/ijbsv19p1382g009.jpg
https://cdn.ncbi.nlm.nih.gov/pmc/blobs/5516/10086756/5bd4646dc0ac/ijbsv19p1382g001.jpg
https://cdn.ncbi.nlm.nih.gov/pmc/blobs/5516/10086756/f281c64f26e4/ijbsv19p1382g002.jpg
https://cdn.ncbi.nlm.nih.gov/pmc/blobs/5516/10086756/4a7f66e8975d/ijbsv19p1382g003.jpg
https://cdn.ncbi.nlm.nih.gov/pmc/blobs/5516/10086756/02bbc5b364b6/ijbsv19p1382g004.jpg
https://cdn.ncbi.nlm.nih.gov/pmc/blobs/5516/10086756/d7848021c6aa/ijbsv19p1382g005.jpg
https://cdn.ncbi.nlm.nih.gov/pmc/blobs/5516/10086756/f381d6d445f3/ijbsv19p1382g006.jpg
https://cdn.ncbi.nlm.nih.gov/pmc/blobs/5516/10086756/d4e8081e4024/ijbsv19p1382g007.jpg
https://cdn.ncbi.nlm.nih.gov/pmc/blobs/5516/10086756/79ffd4fe01ec/ijbsv19p1382g008.jpg
https://cdn.ncbi.nlm.nih.gov/pmc/blobs/5516/10086756/39fcb5b34a6f/ijbsv19p1382g009.jpg

相似文献

1
IGF2BP3 Regulates TMA7-mediated Autophagy and Cisplatin Resistance in Laryngeal Cancer via m6A RNA Methylation.IGF2BP3 通过 m6A RNA 甲基化调控 TMA7 介导的自噬和顺铂耐药性在喉癌中。
Int J Biol Sci. 2023 Feb 22;19(5):1382-1400. doi: 10.7150/ijbs.80921. eCollection 2023.
2
RBM15 facilitates laryngeal squamous cell carcinoma progression by regulating TMBIM6 stability through IGF2BP3 dependent.RBM15 通过 IGF2BP3 依赖性调节 TMBIM6 的稳定性促进喉鳞状细胞癌的进展。
J Exp Clin Cancer Res. 2021 Feb 26;40(1):80. doi: 10.1186/s13046-021-01871-4.
3
CircCDK1 blocking IGF2BP2-mediated m6A modification of CPPED1 promotes laryngeal squamous cell carcinoma metastasis via the PI3K/AKT signal pathway.环状 CDKs1 通过阻断 IGF2BP2 介导的 CPPED1 的 m6A 修饰促进喉鳞状细胞癌转移,途径是 PI3K/AKT 信号通路。
Gene. 2023 Oct 30;884:147686. doi: 10.1016/j.gene.2023.147686. Epub 2023 Aug 3.
4
circPARD3 drives malignant progression and chemoresistance of laryngeal squamous cell carcinoma by inhibiting autophagy through the PRKCI-Akt-mTOR pathway.环状 PAR 结构域蛋白 3 通过抑制自噬,经蛋白激酶 C Ⅰ-Akt-雷帕霉素靶蛋白通路促进喉鳞状细胞癌的恶性进展和化疗耐药。
Mol Cancer. 2020 Nov 24;19(1):166. doi: 10.1186/s12943-020-01279-2.
5
Aberrant methylation-mediated downregulation of the LINC01554 gene accelerates the malignant progression and regulates the chemosensitivity of laryngeal squamous cell carcinoma.异常甲基化介导的 LINC01554 基因下调加速了喉鳞状细胞癌的恶性进展并调节了其化疗敏感性。
J Physiol Pharmacol. 2022 Apr;73(2). doi: 10.26402/jpp.2022.2.03. Epub 2022 Aug 18.
6
CH25H Promotes Autophagy and Regulates the Malignant Progression of Laryngeal Squamous Cell Carcinoma Through the PI3K-AKT Pathway.CH25H 通过 PI3K-AKT 通路促进自噬并调节喉鳞状细胞癌的恶性进展。
Cancer Med. 2024 Oct;13(20):e70312. doi: 10.1002/cam4.70312.
7
m6A/HOXA10-AS/ITGA6 axis aggravates oxidative resistance and malignant progression of laryngeal squamous cell carcinoma through regulating Notch and Keap1/Nrf2 pathways.m6A/HOXA10-AS/ITGA6 轴通过调节 Notch 和 Keap1/Nrf2 通路加重喉鳞状细胞癌的氧化抵抗和恶性进展。
Cancer Lett. 2024 Apr 10;587:216735. doi: 10.1016/j.canlet.2024.216735. Epub 2024 Feb 17.
8
M6A reader YTHDF1 promotes malignant progression of laryngeal squamous carcinoma through activating the EMT pathway by EIF4A3.M6A 读码子 YTHDF1 通过激活 EIF4A3 促进喉鳞状细胞癌的 EMT 通路恶性进展。
Cell Signal. 2024 Feb;114:111002. doi: 10.1016/j.cellsig.2023.111002. Epub 2023 Dec 2.
9
IGF2BP2-m6A-circMMP9 axis recruits ETS1 to promote TRIM59 transcription in laryngeal squamous cell carcinoma.IGF2BP2-m6A-circMMP9 轴招募 ETS1 促进喉鳞状细胞癌中 TRIM59 的转录。
Sci Rep. 2024 Feb 6;14(1):3014. doi: 10.1038/s41598-024-53422-4.
10
Exosomal circMACF1 drives PI3K/AKT/mTOR-mediated autophagy suppression in laryngeal squamous cell carcinoma.外泌体环状 MACF1 驱动喉鳞癌细胞中 PI3K/AKT/mTOR 介导的自噬抑制。
Cell Mol Biol (Noisy-le-grand). 2024 Jan 31;70(1):179-185. doi: 10.14715/cmb/2024.70.1.24.

引用本文的文献

1
Emerging role of RNA m6A modifications in laryngeal squamous cell carcinoma: insights into tumorigenesis and therapeutic potential.RNA m6A修饰在喉鳞状细胞癌中的新兴作用:对肿瘤发生和治疗潜力的见解
Apoptosis. 2025 Aug 14. doi: 10.1007/s10495-025-02159-0.
2
The mechanistic study of codonopsis pilosula on laryngeal squamous cell carcinoma based on network pharmacology and experimental validation.基于网络药理学和实验验证的党参对喉鳞状细胞癌的作用机制研究
Front Pharmacol. 2025 Apr 25;16:1542116. doi: 10.3389/fphar.2025.1542116. eCollection 2025.
3
Identification of m6 A-regulated ferroptosis biomarkers for prognosis in laryngeal cancer.

本文引用的文献

1
Overview on Molecular Biomarkers for Laryngeal Cancer: Looking for New Answers to an Old Problem.喉癌分子生物标志物概述:探寻一个老问题的新答案
Cancers (Basel). 2022 Mar 28;14(7):1716. doi: 10.3390/cancers14071716.
2
METTL3/IGF2BP3 axis inhibits tumor immune surveillance by upregulating N-methyladenosine modification of PD-L1 mRNA in breast cancer.METTL3/IGF2BP3 轴通过上调乳腺癌中 PD-L1 mRNA 的 N6-甲基腺苷修饰来抑制肿瘤免疫监视。
Mol Cancer. 2022 Feb 23;21(1):60. doi: 10.1186/s12943-021-01447-y.
3
Knockdown of ubiquitin-like modifier-activating enzyme 2 promotes apoptosis of clear cell renal cell carcinoma cells.
鉴定用于喉癌预后的m6A调控的铁死亡生物标志物
BMC Cancer. 2025 Apr 14;25(1):694. doi: 10.1186/s12885-025-14134-8.
4
The Emerging Role of m6A and Programmed Cell Death in Cardiovascular Diseases.m6A与程序性细胞死亡在心血管疾病中的新兴作用
Biomolecules. 2025 Feb 8;15(2):247. doi: 10.3390/biom15020247.
5
The role of N(6)-methyladenosine (m6a) modification in cancer: recent advances and future directions.N⁶-甲基腺苷(m⁶A)修饰在癌症中的作用:最新进展与未来方向
EXCLI J. 2025 Jan 15;24:113-150. doi: 10.17179/excli2024-7935. eCollection 2025.
6
CircPRMT5, a Potential Salivary Biomarker, Facilitates the Progression of Head and Neck Squamous Cell Carcinoma via the IGF2BP3-SERPINE1 Pathway.环状PRMT5是一种潜在的唾液生物标志物,它通过IGF2BP3-SERPINE1途径促进头颈部鳞状细胞癌的进展。
Int J Nanomedicine. 2025 Feb 5;20:1597-1613. doi: 10.2147/IJN.S502400. eCollection 2025.
7
Knockdown of IGF2BP2 overcomes cisplatin-resistance in lung cancer through downregulating Spon2 gene.敲低IGF2BP2可通过下调Spon2基因克服肺癌中的顺铂耐药性。
Hereditas. 2024 Dec 28;161(1):55. doi: 10.1186/s41065-024-00360-w.
8
N-methyladenosine modification of RIMS binding protein 2 promotes head and neck squamous cell carcinoma proliferation and radiotherapy tolerance through endoplasmic reticulum stress.RIMS结合蛋白2的N-甲基腺苷修饰通过内质网应激促进头颈部鳞状细胞癌的增殖和放疗耐受性。
Cancer Gene Ther. 2025 Jan;32(1):122-135. doi: 10.1038/s41417-024-00863-8. Epub 2024 Dec 9.
9
[Research progress on the role and mechanism of IGF2BPs family in head and neck squamous carcinoma].[IGF2BPs家族在头颈部鳞状细胞癌中的作用及机制研究进展]
Lin Chuang Er Bi Yan Hou Tou Jing Wai Ke Za Zhi. 2024 Dec;38(12):1195-1202. doi: 10.13201/j.issn.2096-7993.2024.12.021.
10
Autophagy: a critical mechanism of N-methyladenosine modification involved in tumor progression and therapy resistance.自噬:一种涉及肿瘤进展和治疗耐药性的 N-甲基腺苷修饰的关键机制。
Cell Death Dis. 2024 Oct 28;15(10):783. doi: 10.1038/s41419-024-07148-w.
泛素样修饰酶激活酶 2 的敲低促进肾透明细胞癌细胞的凋亡。
Cell Death Dis. 2021 Nov 9;12(11):1067. doi: 10.1038/s41419-021-04347-7.
4
Autophagy in major human diseases.自噬在重大人类疾病中的作用。
EMBO J. 2021 Oct 1;40(19):e108863. doi: 10.15252/embj.2021108863. Epub 2021 Aug 30.
5
Phase II trial of cisplatin, gemcitabine and pembrolizumab for platinum-resistant ovarian cancer.顺铂、吉西他滨和帕博利珠单抗治疗铂耐药卵巢癌的 II 期临床试验。
PLoS One. 2021 Jun 3;16(6):e0252665. doi: 10.1371/journal.pone.0252665. eCollection 2021.
6
A single mA modification in U6 snRNA diversifies exon sequence at the 5' splice site.单个 mA 修饰改变 U6 snRNA,使 5' 剪接位点的外显子序列多样化。
Nat Commun. 2021 May 28;12(1):3244. doi: 10.1038/s41467-021-23457-6.
7
Autophagy and organelle homeostasis in cancer.自噬与细胞器在癌症中的平衡。
Dev Cell. 2021 Apr 5;56(7):906-918. doi: 10.1016/j.devcel.2021.02.010. Epub 2021 Mar 8.
8
The PI3K/Akt/mTOR signaling pathway in gastric cancer; from oncogenic variations to the possibilities for pharmacologic interventions.胃癌中的 PI3K/Akt/mTOR 信号通路:从致癌变异到药物干预的可能性。
Eur J Pharmacol. 2021 May 5;898:173983. doi: 10.1016/j.ejphar.2021.173983. Epub 2021 Feb 26.
9
RBM15 facilitates laryngeal squamous cell carcinoma progression by regulating TMBIM6 stability through IGF2BP3 dependent.RBM15 通过 IGF2BP3 依赖性调节 TMBIM6 的稳定性促进喉鳞状细胞癌的进展。
J Exp Clin Cancer Res. 2021 Feb 26;40(1):80. doi: 10.1186/s13046-021-01871-4.
10
Global Cancer Statistics 2020: GLOBOCAN Estimates of Incidence and Mortality Worldwide for 36 Cancers in 185 Countries.《全球癌症统计数据 2020:全球 185 个国家和地区 36 种癌症的发病率和死亡率估计》。
CA Cancer J Clin. 2021 May;71(3):209-249. doi: 10.3322/caac.21660. Epub 2021 Feb 4.