Suppr超能文献

SAA-UNet:用于从计算机断层扫描中分割新冠肺炎肺炎的空间注意力和注意力门控UNet

SAA-UNet: Spatial Attention and Attention Gate UNet for COVID-19 Pneumonia Segmentation from Computed Tomography.

作者信息

Alshomrani Shroog, Arif Muhammad, Al Ghamdi Mohammed A

机构信息

Department of Computer Science, Umm Al-Qura University, Makkah 24382, Saudi Arabia.

出版信息

Diagnostics (Basel). 2023 May 8;13(9):1658. doi: 10.3390/diagnostics13091658.

Abstract

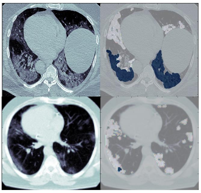
The disaster of the COVID-19 pandemic has claimed numerous lives and wreaked havoc on the entire world due to its transmissible nature. One of the complications of COVID-19 is pneumonia. Different radiography methods, particularly computed tomography (CT), have shown outstanding performance in effectively diagnosing pneumonia. In this paper, we propose a spatial attention and attention gate UNet model (SAA-UNet) inspired by spatial attention UNet (SA-UNet) and attention UNet (Att-UNet) to deal with the problem of infection segmentation in the lungs. The proposed method was applied to the MedSeg, Radiopaedia 9P, combination of MedSeg and Radiopaedia 9P, and Zenodo 20P datasets. The proposed method showed good infection segmentation results (two classes: infection and background) with an average Dice similarity coefficient of 0.85, 0.94, 0.91, and 0.93 and a mean intersection over union (IOU) of 0.78, 0.90, 0.86, and 0.87, respectively, on the four datasets mentioned above. Moreover, it also performed well in multi-class segmentation with average Dice similarity coefficients of 0.693, 0.89, 0.87, and 0.93 and IOU scores of 0.68, 0.87, 0.78, and 0.89 on the four datasets, respectively. Classification accuracies of more than 97% were achieved for all four datasets. The F1-scores for the MedSeg, Radiopaedia P9, combination of MedSeg and Radiopaedia P9, and Zenodo 20P datasets were 0.865, 0.943, 0.917, and 0.926, respectively, for the binary classification. For multi-class classification, accuracies of more than 96% were achieved on all four datasets. The experimental results showed that the framework proposed can effectively and efficiently segment COVID-19 infection on CT images with different contrast and utilize this to aid in diagnosing and treating pneumonia caused by COVID-19.

摘要

由于其传染性,新冠疫情这场灾难已夺去无数生命并给全世界造成了严重破坏。新冠病毒肺炎是新冠疫情的并发症之一。不同的影像学方法,尤其是计算机断层扫描(CT),在有效诊断肺炎方面表现出色。在本文中,我们受空间注意力UNet(SA - UNet)和注意力UNet(Att - UNet)启发,提出了一种空间注意力与注意力门控UNet模型(SAA - UNet),以解决肺部感染分割问题。所提出的方法应用于MedSeg、Radiopaedia 9P、MedSeg与Radiopaedia 9P的组合以及Zenodo 20P数据集。在上述四个数据集上,该方法显示出良好的感染分割结果(两类:感染和背景),平均Dice相似系数分别为0.85、0.94、0.91和0.93,平均交并比(IOU)分别为0.78、0.90、0.86和0.87。此外,它在多类分割中也表现良好,在四个数据集上的平均Dice相似系数分别为0.693、0.89、0.87和0.93,IOU分数分别为0.68、0.87、0.78和0.89。所有四个数据集的分类准确率均超过97%。对于二元分类,MedSeg、Radiopaedia P9、MedSeg与Radiopaedia P9的组合以及Zenodo 20P数据集的F1分数分别为0.865、0.943、0.917和0.926。对于多类分类,所有四个数据集的准确率均超过96%。实验结果表明,所提出的框架能够有效且高效地分割不同对比度CT图像上新冠病毒感染情况,并利用这一点辅助诊断和治疗新冠病毒引起的肺炎。

https://cdn.ncbi.nlm.nih.gov/pmc/blobs/bd89/10178408/f558df2e433a/diagnostics-13-01658-g001.jpg

文献AI研究员

20分钟写一篇综述,助力文献阅读效率提升50倍。

立即体验

用中文搜PubMed

大模型驱动的PubMed中文搜索引擎

马上搜索

文档翻译

学术文献翻译模型,支持多种主流文档格式。

立即体验