• 文献检索
  • 文档翻译
  • 深度研究
  • 学术资讯
  • Suppr Zotero 插件Zotero 插件
  • 邀请有礼
  • 套餐&价格
  • 历史记录
应用&插件
Suppr Zotero 插件Zotero 插件浏览器插件Mac 客户端Windows 客户端微信小程序
定价
高级版会员购买积分包购买API积分包
服务
文献检索文档翻译深度研究API 文档MCP 服务
关于我们
关于 Suppr公司介绍联系我们用户协议隐私条款
关注我们

Suppr 超能文献

核心技术专利:CN118964589B侵权必究
粤ICP备2023148730 号-1Suppr @ 2026

文献检索

告别复杂PubMed语法,用中文像聊天一样搜索,搜遍4000万医学文献。AI智能推荐,让科研检索更轻松。

立即免费搜索

文件翻译

保留排版,准确专业,支持PDF/Word/PPT等文件格式,支持 12+语言互译。

免费翻译文档

深度研究

AI帮你快速写综述,25分钟生成高质量综述,智能提取关键信息,辅助科研写作。

立即免费体验

骨肉瘤诊断与分类的深度学习方法:一种比较性的方法学途径

Deep Learning Approaches to Osteosarcoma Diagnosis and Classification: A Comparative Methodological Approach.

作者信息

Vezakis Ioannis A, Lambrou George I, Matsopoulos George K

机构信息

Biomedical Engineering Laboratory, School of Electrical & Computer Engineering, National Technical University of Athens, 9 Iroon Polytechniou St., 15780 Athens, Greece.

Choremeio Research Laboratory, First Department of Pediatrics, National and Kapodistrian University of Athens, Thivon & Levadeias 8, 11527 Athens, Greece.

出版信息

Cancers (Basel). 2023 Apr 13;15(8):2290. doi: 10.3390/cancers15082290.

DOI:10.3390/cancers15082290
PMID:37190217
原文链接:https://pmc.ncbi.nlm.nih.gov/articles/PMC10136449/
Abstract

BACKGROUND

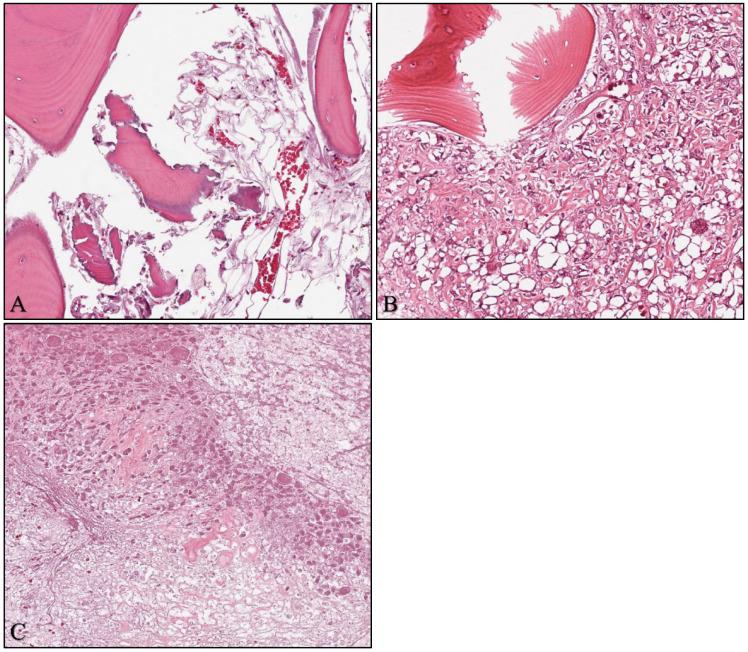
Osteosarcoma is the most common primary malignancy of the bone, being most prevalent in childhood and adolescence. Despite recent progress in diagnostic methods, histopathology remains the gold standard for disease staging and therapy decisions. Machine learning and deep learning methods have shown potential for evaluating and classifying histopathological cross-sections.

METHODS

This study used publicly available images of osteosarcoma cross-sections to analyze and compare the performance of state-of-the-art deep neural networks for histopathological evaluation of osteosarcomas.

RESULTS

The classification performance did not necessarily improve when using larger networks on our dataset. In fact, the smallest network combined with the smallest image input size achieved the best overall performance. When trained using 5-fold cross-validation, the MobileNetV2 network achieved 91% overall accuracy.

CONCLUSIONS

The present study highlights the importance of careful selection of network and input image size. Our results indicate that a larger number of parameters is not always better, and the best results can be achieved on smaller and more efficient networks. The identification of an optimal network and training configuration could greatly improve the accuracy of osteosarcoma diagnoses and ultimately lead to better disease outcomes for patients.

摘要

背景

骨肉瘤是最常见的原发性骨恶性肿瘤,在儿童和青少年中最为普遍。尽管近年来诊断方法取得了进展,但组织病理学仍然是疾病分期和治疗决策的金标准。机器学习和深度学习方法已显示出评估和分类组织病理学切片的潜力。

方法

本研究使用公开可用的骨肉瘤切片图像,分析和比较用于骨肉瘤组织病理学评估的先进深度神经网络的性能。

结果

在我们的数据集中使用更大的网络时,分类性能不一定会提高。事实上,最小的网络与最小的图像输入尺寸相结合,实现了最佳的整体性能。当使用五折交叉验证进行训练时,MobileNetV2网络的总体准确率达到91%。

结论

本研究强调了仔细选择网络和输入图像尺寸的重要性。我们的结果表明,参数数量越多并不总是越好,在更小、更高效的网络上可以取得最佳结果。确定最佳网络和训练配置可以大大提高骨肉瘤诊断的准确性,并最终为患者带来更好的疾病治疗结果。

https://cdn.ncbi.nlm.nih.gov/pmc/blobs/341f/10136449/dd1d16142f99/cancers-15-02290-g002.jpg
https://cdn.ncbi.nlm.nih.gov/pmc/blobs/341f/10136449/9efca97fcb47/cancers-15-02290-g001.jpg
https://cdn.ncbi.nlm.nih.gov/pmc/blobs/341f/10136449/dd1d16142f99/cancers-15-02290-g002.jpg
https://cdn.ncbi.nlm.nih.gov/pmc/blobs/341f/10136449/9efca97fcb47/cancers-15-02290-g001.jpg
https://cdn.ncbi.nlm.nih.gov/pmc/blobs/341f/10136449/dd1d16142f99/cancers-15-02290-g002.jpg

相似文献

1
Deep Learning Approaches to Osteosarcoma Diagnosis and Classification: A Comparative Methodological Approach.骨肉瘤诊断与分类的深度学习方法:一种比较性的方法学途径
Cancers (Basel). 2023 Apr 13;15(8):2290. doi: 10.3390/cancers15082290.
2
Conventional Machine Learning versus Deep Learning for Magnification Dependent Histopathological Breast Cancer Image Classification: A Comparative Study with Visual Explanation.用于基于放大倍数的组织病理学乳腺癌图像分类的传统机器学习与深度学习:一项带有可视化解释的比较研究
Diagnostics (Basel). 2021 Mar 16;11(3):528. doi: 10.3390/diagnostics11030528.
3
Deep Learning Classification of Systemic Sclerosis Skin Using the MobileNetV2 Model.使用MobileNetV2模型对系统性硬化症皮肤进行深度学习分类
IEEE Open J Eng Med Biol. 2021 Mar 17;2:104-110. doi: 10.1109/OJEMB.2021.3066097. eCollection 2021.
4
A novel end-to-end classifier using domain transferred deep convolutional neural networks for biomedical images.一种使用域转移深度卷积神经网络的新型端到端生物医学图像分类器。
Comput Methods Programs Biomed. 2017 Mar;140:283-293. doi: 10.1016/j.cmpb.2016.12.019. Epub 2017 Jan 6.
5
GasHisSDB: A new gastric histopathology image dataset for computer aided diagnosis of gastric cancer.GasHisSDB:一个用于胃癌计算机辅助诊断的新型胃组织病理学图像数据集。
Comput Biol Med. 2022 Mar;142:105207. doi: 10.1016/j.compbiomed.2021.105207. Epub 2022 Jan 6.
6
Comparative Study of First Order Optimizers for Image Classification Using Convolutional Neural Networks on Histopathology Images.基于组织病理学图像利用卷积神经网络进行图像分类的一阶优化器比较研究
J Imaging. 2020 Sep 8;6(9):92. doi: 10.3390/jimaging6090092.
7
Compatible-domain Transfer Learning for Breast Cancer Classification with Limited Annotated Data.有限标注数据下用于乳腺癌分类的相容域迁移学习。
Comput Biol Med. 2023 Mar;154:106575. doi: 10.1016/j.compbiomed.2023.106575. Epub 2023 Jan 25.
8
Deep learning and radiomics: the utility of Google TensorFlow™ Inception in classifying clear cell renal cell carcinoma and oncocytoma on multiphasic CT.深度学习和放射组学:Google TensorFlow™ Inception 在多期 CT 上对透明细胞肾细胞癌和嗜酸细胞瘤分类的应用。
Abdom Radiol (NY). 2019 Jun;44(6):2009-2020. doi: 10.1007/s00261-019-01929-0.
9
Plant Disease Classification: A Comparative Evaluation of Convolutional Neural Networks and Deep Learning Optimizers.植物病害分类:卷积神经网络与深度学习优化器的比较评估
Plants (Basel). 2020 Oct 6;9(10):1319. doi: 10.3390/plants9101319.
10
Classifying histopathological images of oral squamous cell carcinoma using deep transfer learning.使用深度迁移学习对口腔鳞状细胞癌的组织病理学图像进行分类。
Heliyon. 2023 Feb 6;9(3):e13444. doi: 10.1016/j.heliyon.2023.e13444. eCollection 2023 Mar.

引用本文的文献

1
Advanced hybrid deep learning model for enhanced evaluation of osteosarcoma histopathology images.用于增强骨肉瘤组织病理学图像评估的先进混合深度学习模型。
Front Med (Lausanne). 2025 Apr 16;12:1555907. doi: 10.3389/fmed.2025.1555907. eCollection 2025.
2
Comparative Analysis of Deep Neural Networks for Automated Ulcerative Colitis Severity Assessment.用于自动评估溃疡性结肠炎严重程度的深度神经网络的比较分析
Bioengineering (Basel). 2025 Apr 13;12(4):413. doi: 10.3390/bioengineering12040413.
3
Drug Repurposing: A Conduit to Unravelling Metabolic Reprogramming for Cancer Treatment.

本文引用的文献

1
A deep belief network-based clinical decision system for patients with osteosarcoma.基于深度置信网络的骨肉瘤患者临床决策系统。
Front Immunol. 2022 Nov 18;13:1003347. doi: 10.3389/fimmu.2022.1003347. eCollection 2022.
2
Bias reduction in representation of histopathology images using deep feature selection.使用深度特征选择减少组织病理学图像表示中的偏差。
Sci Rep. 2022 Nov 21;12(1):19994. doi: 10.1038/s41598-022-24317-z.
3
Inflation of test accuracy due to data leakage in deep learning-based classification of OCT images.深度学习分类 OCT 图像中因数据泄露导致的测试精度膨胀。
药物再利用:揭示癌症治疗中代谢重编程的途径。
Mini Rev Med Chem. 2025;25(8):601-627. doi: 10.2174/0113895575339660250106093738.
4
Whole-Exome Analysis and Osteosarcoma: A Game Still Open.全外显子组分析与骨肉瘤:游戏仍在继续。
Int J Mol Sci. 2024 Dec 20;25(24):13657. doi: 10.3390/ijms252413657.
5
Adapted Deep Ensemble Learning-Based Voting Classifier for Osteosarcoma Cancer Classification.基于深度集成学习的自适应投票分类器用于骨肉瘤癌症分类
Diagnostics (Basel). 2023 Oct 9;13(19):3155. doi: 10.3390/diagnostics13193155.
6
Detecting Skin Reactions in Epicutaneous Patch Testing with Deep Learning: An Evaluation of Pre-Processing and Modality Performance.利用深度学习检测表皮贴片试验中的皮肤反应:预处理和模态性能评估
Bioengineering (Basel). 2023 Aug 3;10(8):924. doi: 10.3390/bioengineering10080924.
7
A Novel Hybrid Approach for Classifying Osteosarcoma Using Deep Feature Extraction and Multilayer Perceptron.一种使用深度特征提取和多层感知器对骨肉瘤进行分类的新型混合方法。
Diagnostics (Basel). 2023 Jun 18;13(12):2106. doi: 10.3390/diagnostics13122106.
Sci Data. 2022 Sep 22;9(1):580. doi: 10.1038/s41597-022-01618-6.
4
Deep learning-based image processing in optical microscopy.光学显微镜中基于深度学习的图像处理
Biophys Rev. 2022 Apr 6;14(2):463-481. doi: 10.1007/s12551-022-00949-3. eCollection 2022 Apr.
5
Automatic detection of osteosarcoma based on integrated features and feature selection using binary arithmetic optimization algorithm.基于综合特征和使用二进制算术优化算法的特征选择的骨肉瘤自动检测
Multimed Tools Appl. 2022;81(6):8807-8834. doi: 10.1007/s11042-022-11949-6. Epub 2022 Feb 7.
6
Cancer statistics, 2022.癌症统计数据,2022 年。
CA Cancer J Clin. 2022 Jan;72(1):7-33. doi: 10.3322/caac.21708. Epub 2022 Jan 12.
7
Machine Learning-Based Radiomics Nomogram With Dynamic Contrast-Enhanced MRI of the Osteosarcoma for Evaluation of Efficacy of Neoadjuvant Chemotherapy.基于机器学习的骨肉瘤动态对比增强磁共振成像影像组学列线图用于评估新辅助化疗疗效
Front Oncol. 2021 Nov 15;11:758921. doi: 10.3389/fonc.2021.758921. eCollection 2021.
8
Transient Sox9 Expression Facilitates Resistance to Androgen-Targeted Therapy in Prostate Cancer.Sox9 一过性表达促进前列腺癌对雄激素靶向治疗的抵抗。
Clin Cancer Res. 2020 Apr 1;26(7):1678-1689. doi: 10.1158/1078-0432.CCR-19-0098. Epub 2020 Jan 9.
9
Prediction of Chemotherapy Response of Osteosarcoma Using Baseline F-FDG Textural Features Machine Learning Approaches with PCA.使用基于 PCA 的 F-FDG 纹理特征机器学习方法预测骨肉瘤的化疗反应。
Contrast Media Mol Imaging. 2019 Jul 24;2019:3515080. doi: 10.1155/2019/3515080. eCollection 2019.
10
Viable and necrotic tumor assessment from whole slide images of osteosarcoma using machine-learning and deep-learning models.使用机器学习和深度学习模型从骨肉瘤全切片图像评估肿瘤的活性和坏死。
PLoS One. 2019 Apr 17;14(4):e0210706. doi: 10.1371/journal.pone.0210706. eCollection 2019.