Suppr超能文献

溶剂系统导向的光果甘草(Glycyrrhiza glabra (L.) Fritsch)提取物为优化草药提取物的生物学和化学特性提供了条件。

Solvent System-Guided Extraction of (L.) Fritch Provides Optimized Conditions for the Biological and Chemical Characteristics of the Herbal Extracts.

作者信息

Božunović Jelena, Ivanov Marija, Petrović Jovana, Gašić Uroš, Nakarada Đura, Milutinović Milica, Aničić Neda, Giba Zlatko, Mišić Danijela, Stojković Dejan

机构信息

Institute for Biological Research "Siniša Stanković"-National Institute of the Republic of Serbia, University of Belgrade, Bulevar despota Stefana 142, 11060 Belgrade, Serbia.

Faculty of Physical Chemistry, University of Belgrade, 11158 Belgrade, Serbia.

出版信息

Pharmaceuticals (Basel). 2023 Feb 6;16(2):245. doi: 10.3390/ph16020245.

Abstract

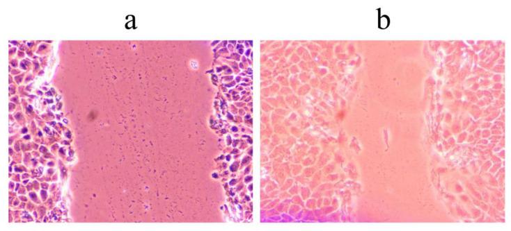
Spiked centaury () is a well-known medicinal plant from the Mediterranean region with various bioactivities, but there are no studies addressing the use of different solvent systems to improve its pharmacological potential. Nine extraction procedures were adapted to study the effects of solvent composition on the content of bioactive compounds in extracts and on corresponding bioactivities. Targeted metabolomics was performed to obtain information on the chemical composition of extracts. Ethanol-water-based extraction procedures were the most efficient in isolating polyphenols, while less polar butanol extract contained the highest amount of iridoids. Antioxidant potential analysis revealed stronger activity in extracts with higher polyphenol content. and were designated as the most sensitive bacterial strains to the activity of extracts, while among the micromycetes tested, was the most susceptible strain. Butanol extract showed antivirulence potential on morphological transition from yeast to hyphal form, and selected extracts were effective against biofilm formation in two species. All the extracts tested in this study showed no cytotoxic activity to immortalize human skin keratinocyte cell line (HaCaT), whereas extracts obtained by ethanol-water extraction stand out for their potent wound healing effects. Moreover, the influence of the extraction solvent system on various bioactivities of is reported herein for the first time. Overall, the results presented in this study promote the use of as a source of natural products with potential antioxidant, wound healing, and antimicrobial applications that are potentially safe for human use.

摘要

尖叶百金花()是一种来自地中海地区的著名药用植物,具有多种生物活性,但尚无关于使用不同溶剂系统来提高其药理潜力的研究。采用了九种提取方法来研究溶剂组成对提取物中生物活性化合物含量及其相应生物活性的影响。进行了靶向代谢组学研究以获取提取物化学成分的信息。基于乙醇 - 水的提取方法在分离多酚方面效率最高,而极性较小的丁醇提取物中所含环烯醚萜类化合物的量最高。抗氧化潜力分析表明,多酚含量较高的提取物具有更强的活性。和被确定为对提取物活性最敏感的细菌菌株,而在所测试的微真菌中,是最敏感的菌株。丁醇提取物对从酵母形态向菌丝形态的形态转变显示出抗毒力潜力,并且所选提取物对两种菌的生物膜形成有效。本研究中测试的所有提取物对永生化人皮肤角质形成细胞系(HaCaT)均无细胞毒性活性,而通过乙醇 - 水提取获得的提取物因其强大的伤口愈合作用而突出。此外,本文首次报道了提取溶剂系统对尖叶百金花各种生物活性的影响。总体而言,本研究结果促进了将尖叶百金花用作具有潜在抗氧化、伤口愈合和抗菌应用的天然产物来源,这些应用对人类使用可能是安全的。

https://cdn.ncbi.nlm.nih.gov/pmc/blobs/a81b/9967942/2dff428b9672/pharmaceuticals-16-00245-g001.jpg

文献AI研究员

20分钟写一篇综述,助力文献阅读效率提升50倍。

立即体验

用中文搜PubMed

大模型驱动的PubMed中文搜索引擎

马上搜索

文档翻译

学术文献翻译模型,支持多种主流文档格式。

立即体验