Suppr超能文献

CLEAR策略使用递送CRISPR-Cas9的病毒载体抑制单纯疱疹病毒增殖。

CLEAR Strategy Inhibited HSV Proliferation Using Viral Vectors Delivered CRISPR-Cas9.

作者信息

Ying Min, Wang Huadong, Liu Tongtan, Han Zengpeng, Lin Kunzhang, Shi Qing, Zheng Ning, Ye Tao, Gong Huinan, Xu Fuqiang

机构信息

State Key Laboratory of Magnetic Resonance and Atomic and Molecular Physics, Key Laboratory of Magnetic Resonance in Biological Systems, Wuhan Center for Magnetic Resonance, Innovation Academy for Precision Measurement Science and Technology, Chinese Academy of Sciences, Wuhan 430071, China.

Key Laboratory of Quality Control Technology for Virus-Based Therapeutics, Guangdong Provincial Medical Products Administration, NMPA Key Laboratory for Research and Evaluation of Viral Vector Technology in Cell and Gene Therapy Medicinal Products, The Brain Cognition and Brain Disease Institute, Shenzhen Institute of Advanced Technology, Chinese Academy of Sciences, Shenzhen 518055, China.

出版信息

Pathogens. 2023 Jun 7;12(6):814. doi: 10.3390/pathogens12060814.

Abstract

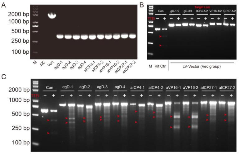
Herpes simplex virus type 1 (HSV-1) is a leading cause of encephalitis and infectious blindness. The commonly used clinical therapeutic drugs are nucleoside analogues such as acyclovir. However, current drugs for HSV cannot eliminate the latent virus or viral reactivation. Therefore, the development of new treatment strategies against latent HSV has become an urgent need. To comprehensively suppress the proliferation of HSV, we designed the CLEAR strategy (coordinated lifecycle elimination against viral replication). , , , and -which are crucial genes that perform significant functions in different stages of the HSV infection lifecycle-were selected as targeting sites based on CRISPR-Cas9 editing system. and investigations revealed that genome editing by , , or single gene targeting could effectively inhibit HSV replication. Moreover, the combined administration method (termed "Cocktail") showed superior effects compared to single gene editing, which resulted in the greatest decrease in viral proliferation. Lentivirus-delivered CRISPR-Cas9/gRNA editing could effectively block HSV replication. The CLEAR strategy may provide new insights into the potential treatment of refractory HSV-1-associated diseases, particularly when conventional approaches have encountered resistance.

摘要

单纯疱疹病毒1型(HSV-1)是脑炎和感染性失明的主要病因。常用的临床治疗药物是核苷类似物,如阿昔洛韦。然而,目前用于治疗HSV的药物无法消除潜伏病毒或阻止病毒重新激活。因此,开发针对潜伏HSV的新治疗策略已成为迫切需求。为了全面抑制HSV的增殖,我们设计了CLEAR策略(针对病毒复制的协调生命周期消除)。基于CRISPR-Cas9编辑系统,选择了在HSV感染生命周期不同阶段发挥重要功能的关键基因 、 、 和 作为靶向位点。 、 、 和 单基因靶向的基因组编辑研究表明,其可有效抑制HSV复制。此外,联合给药方法(称为“鸡尾酒疗法”)相比于单基因编辑显示出更优效果,导致病毒增殖下降幅度最大。慢病毒递送的CRISPR-Cas9/gRNA编辑可有效阻断HSV复制。CLEAR策略可能为难治性HSV-1相关疾病的潜在治疗提供新见解,尤其是在传统方法遇到耐药性时。

https://cdn.ncbi.nlm.nih.gov/pmc/blobs/229a/10302303/b5cbf5e432b0/pathogens-12-00814-g001.jpg

文献检索

告别复杂PubMed语法,用中文像聊天一样搜索,搜遍4000万医学文献。AI智能推荐,让科研检索更轻松。

立即免费搜索

文件翻译

保留排版,准确专业,支持PDF/Word/PPT等文件格式,支持 12+语言互译。

免费翻译文档

深度研究

AI帮你快速写综述,25分钟生成高质量综述,智能提取关键信息,辅助科研写作。

立即免费体验