Suppr超能文献

复发性转移性结肠直肠腺癌转移至甲状腺,表现为声带麻痹和吸气性喘鸣。

Recurrent Metastatic Colorectal Adenocarcinoma to the Thyroid Gland Presenting With Vocal Cord Paralysis and Inspiratory Stridor.

作者信息

Le David P

机构信息

Internal Medicine, University of South Alabama, Mobile, USA.

出版信息

Cureus. 2023 Jul 18;15(7):e42087. doi: 10.7759/cureus.42087. eCollection 2023 Jul.

Abstract

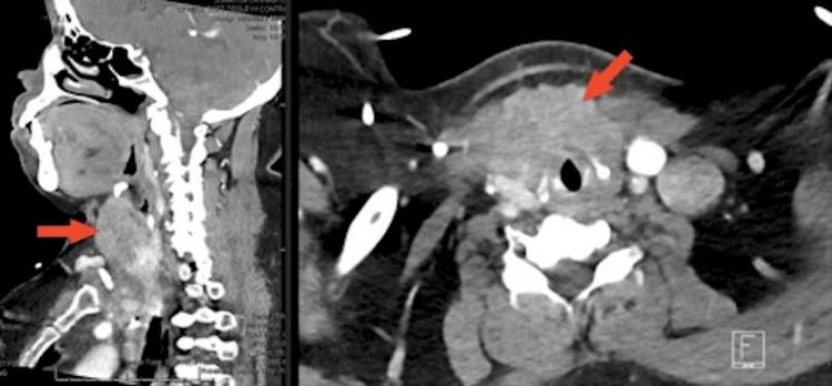
The most common sites for metastases of colorectal cancer include the liver, lungs, brain, and regional lymph nodes. However, a limited number of reported cases describe colon cancer metastasis to the thyroid gland. Metastatic colorectal adenocarcinoma to the thyroid gland is rare. The majority of these cases with colon cancer metastases to the thyroid gland are diagnosed years after initial treatment of colon cancer. The discovery is usually made after routine surveillance imaging, and often patients have minimal or absent symptoms. We report a case of a recurrence of metastatic colorectal adenocarcinoma to the thyroid gland presenting with vocal cord paralysis and inspiratory stridor.

摘要

结直肠癌最常见的转移部位包括肝脏、肺、脑和区域淋巴结。然而,仅有少数报道病例描述了结肠癌转移至甲状腺。甲状腺转移性结直肠腺癌较为罕见。这些结肠癌转移至甲状腺的病例大多在结肠癌初始治疗数年之后才得以诊断。通常是在常规监测成像后发现,而且患者往往症状轻微或无症状。我们报告一例甲状腺转移性结直肠腺癌复发的病例,该病例表现为声带麻痹和吸气性喘鸣。

https://cdn.ncbi.nlm.nih.gov/pmc/blobs/44af/10435009/f0e679dcd40f/cureus-0015-00000042087-i01.jpg

文献AI研究员

20分钟写一篇综述,助力文献阅读效率提升50倍。

立即体验

用中文搜PubMed

大模型驱动的PubMed中文搜索引擎

马上搜索

文档翻译

学术文献翻译模型,支持多种主流文档格式。

立即体验