Haldrup Jakob, Andersen Sofie, Labial Alexander Rafael LaVilla, Wolff Jonas Holst, Frandsen Frederik Plum, Skov Thomas Wisbech, Rovsing Anne Bruun, Nielsen Ian, Jakobsen Thomas Stax, Askou Anne Louise, Thomsen Martin K, Corydon Thomas J, Thomsen Emil Aagaard, Mikkelsen Jacob Giehm
Department of Biomedicine, Aarhus University, Aarhus C, Denmark.
Department of Ophthalmology, Aarhus University Hospital, Aarhus N, Denmark.
Nucleic Acids Res. 2023 Oct 13;51(18):10059-10074. doi: 10.1093/nar/gkad676.
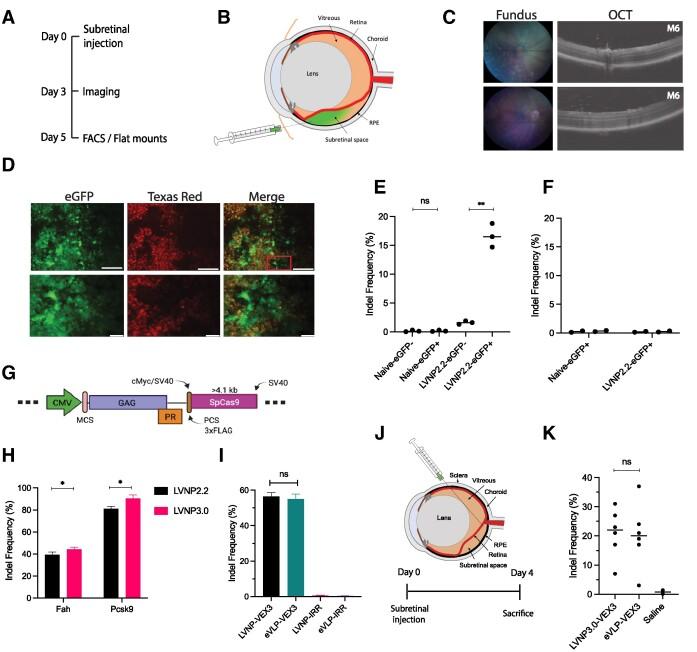
Implementation of therapeutic in vivo gene editing using CRISPR/Cas relies on potent delivery of gene editing tools. Administration of ribonucleoprotein (RNP) complexes consisting of Cas protein and single guide RNA (sgRNA) offers short-lived editing activity and safety advantages over conventional viral and non-viral gene and RNA delivery approaches. By engineering lentivirus-derived nanoparticles (LVNPs) to facilitate RNP delivery, we demonstrate effective administration of SpCas9 as well as SpCas9-derived base and prime editors (BE/PE) leading to gene editing in recipient cells. Unique Gag/GagPol protein fusion strategies facilitate RNP packaging in LVNPs, and refinement of LVNP stoichiometry supports optimized LVNP yield and incorporation of therapeutic payload. We demonstrate near instantaneous target DNA cleavage and complete RNP turnover within 4 days. As a result, LVNPs provide high on-target DNA cleavage and lower levels of off-target cleavage activity compared to standard RNP nucleofection in cultured cells. LVNPs accommodate BE/sgRNA and PE/epegRNA RNPs leading to base editing with reduced bystander editing and prime editing without detectable indel formation. Notably, in the mouse eye, we provide the first proof-of-concept for LVNP-directed in vivo gene disruption. Our findings establish LVNPs as promising vehicles for delivery of RNPs facilitating donor-free base and prime editing without formation of double-stranded DNA breaks.
使用CRISPR/Cas进行体内治疗性基因编辑的实现依赖于基因编辑工具的有效递送。与传统的病毒和非病毒基因及RNA递送方法相比,施用由Cas蛋白和单向导RNA(sgRNA)组成的核糖核蛋白(RNP)复合物具有短暂的编辑活性和安全优势。通过改造慢病毒衍生的纳米颗粒(LVNP)以促进RNP递送,我们证明了SpCas9以及SpCas9衍生的碱基编辑器和引导编辑器(BE/PE)的有效施用,从而在受体细胞中实现基因编辑。独特的Gag/GagPol蛋白融合策略有助于RNP在LVNP中包装,LVNP化学计量的优化支持了LVNP产量的优化和治疗有效载荷的掺入。我们证明了在4天内靶DNA几乎瞬间切割和RNP的完全周转。因此,与培养细胞中的标准RNP核转染相比,LVNP提供了高靶向DNA切割和较低水平的脱靶切割活性。LVNP可容纳BE/sgRNA和PE/epegRNA RNP,从而实现碱基编辑,减少旁观者编辑,实现引导编辑且无明显的插入缺失形成。值得注意的是,在小鼠眼中,我们提供了LVNP介导的体内基因破坏的首个概念验证。我们的研究结果表明,LVNP是用于递送RNP的有前景的载体,有助于实现无供体的碱基编辑和引导编辑,而不会形成双链DNA断裂。