Suppr超能文献

使用具有快速成像协议的合成磁共振成像评估正常脑内的T1、T2弛豫和质子密度

Evaluating T1, T2 Relaxation, and Proton Density in Normal Brain Using Synthetic MRI with Fast Imaging Protocol.

作者信息

Zheng Zuofeng, Liu Yawen, Yin Hongxia, Ren Pengling, Zhang Tingting, Yang Jiafei, Wang Zhenchang

机构信息

Department of Radiology, Beijing ChuiYangLiu Hospital.

Department of Radiology, Beijing Friendship Hospital, Capital Medical University.

出版信息

Magn Reson Med Sci. 2024 Oct 1;23(4):514-524. doi: 10.2463/mrms.tn.2022-0161. Epub 2023 Sep 8.

Abstract

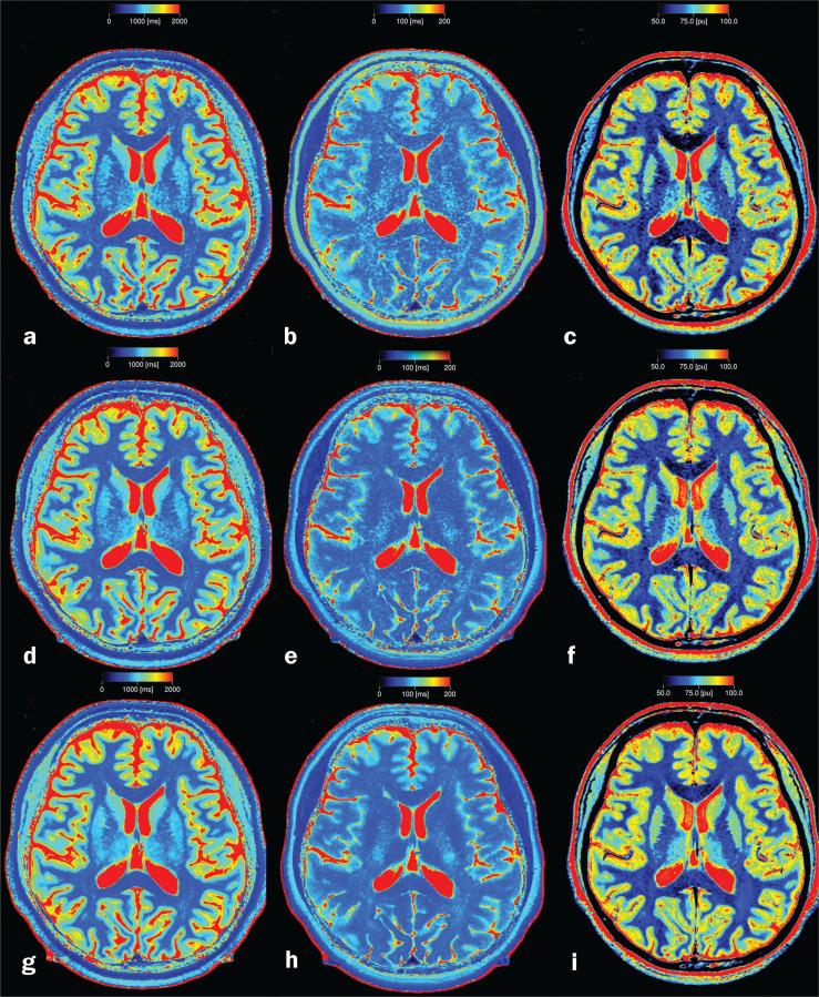
Synthetic MRI is being increasingly used for the quantification of brain longitudinal relaxation time (T1), transverse relaxation time (T2), and proton density (PD) values. However, the effect of fast imaging protocols on these quantitative values has not been fully estimated. The purpose of this study was to investigate the effect of fast scan parameters on T1, T2, and PD measured with a multi-dynamic multi-echo (MDME) sequence of normal brain at 3.0T. Thirty-four volunteers were scanned using 3 MDME sequences with different scan times (named Fast, 2 min, 29 sec; Routine, 4 min, 07 sec; and Research, 7 min, 46 sec, respectively). The measured T1, T2, and PD in 18 volumes of interest (VOI) of brain were compared between the 3 sequences using rank sum test, t test, coefficients of variation (CVs) analysis, correlation analysis, and Bland-Altman analysis. We found that even though T1, T2, and PD were significantly different between the 3 sequences in most of the brain regions, the intersequence CVs were relatively low and linear correlation were high. Bland-Altman plots showed that most of the values fall within the 95% prediction limits. We concluded that fast imaging protocols of MDME sequence used in our study can potentially be used for quantitative evaluation of brain tissues. Since changing scan parameters can affect the measured T1, T2, and PD values, it is necessary to use consistent scan parameter for comparing or following up cases quantitatively.

摘要

合成磁共振成像(MRI)正越来越多地用于量化脑纵向弛豫时间(T1)、横向弛豫时间(T2)和质子密度(PD)值。然而,快速成像协议对这些定量值的影响尚未得到充分评估。本研究的目的是探讨快速扫描参数对在3.0T下使用多动态多回波(MDME)序列测量的正常脑T1、T2和PD的影响。34名志愿者使用3种不同扫描时间的MDME序列进行扫描(分别命名为快速序列,2分29秒;常规序列,4分07秒;研究序列,7分46秒)。使用秩和检验、t检验、变异系数(CVs)分析、相关性分析和Bland-Altman分析比较了3种序列之间在18个脑感兴趣区(VOI)中测量的T1、T2和PD。我们发现,尽管在大多数脑区3种序列之间的T1、T2和PD存在显著差异,但序列间的CVs相对较低且线性相关性较高。Bland-Altman图显示,大多数值落在95%预测限内。我们得出结论,我们研究中使用的MDME序列快速成像协议有可能用于脑组织的定量评估。由于改变扫描参数会影响测量的T1、T2和PD值,因此在定量比较或随访病例时,有必要使用一致的扫描参数。

https://cdn.ncbi.nlm.nih.gov/pmc/blobs/685c/11447464/8c8d0a3dc87b/mrms-23-514-g1.jpg

文献检索

告别复杂PubMed语法,用中文像聊天一样搜索,搜遍4000万医学文献。AI智能推荐,让科研检索更轻松。

立即免费搜索

文件翻译

保留排版,准确专业,支持PDF/Word/PPT等文件格式,支持 12+语言互译。

免费翻译文档

深度研究

AI帮你快速写综述,25分钟生成高质量综述,智能提取关键信息,辅助科研写作。

立即免费体验