• 文献检索
  • 文档翻译
  • 深度研究
  • 学术资讯
  • Suppr Zotero 插件Zotero 插件
  • 邀请有礼
  • 套餐&价格
  • 历史记录
应用&插件
Suppr Zotero 插件Zotero 插件浏览器插件Mac 客户端Windows 客户端微信小程序
定价
高级版会员购买积分包购买API积分包
服务
文献检索文档翻译深度研究API 文档MCP 服务
关于我们
关于 Suppr公司介绍联系我们用户协议隐私条款
关注我们

Suppr 超能文献

核心技术专利:CN118964589B侵权必究
粤ICP备2023148730 号-1Suppr @ 2026

文献检索

告别复杂PubMed语法,用中文像聊天一样搜索,搜遍4000万医学文献。AI智能推荐,让科研检索更轻松。

立即免费搜索

文件翻译

保留排版,准确专业,支持PDF/Word/PPT等文件格式,支持 12+语言互译。

免费翻译文档

深度研究

AI帮你快速写综述,25分钟生成高质量综述,智能提取关键信息,辅助科研写作。

立即免费体验

纳米形貌线索调节细胞外囊泡的治疗潜力,用于治疗老年骨骼肌损伤。

Nanotopographical Cues Tune the Therapeutic Potential of Extracellular Vesicles for the Treatment of Aged Skeletal Muscle Injuries.

机构信息

Discovery Center for Musculoskeletal Recovery, Schoen Adams Research Institute at Spaulding, Charlestown, Massachusetts 02129, United States.

Department of Physical Medicine & Rehabilitation, Harvard Medical School, Boston, Massachusetts 02115, United States.

出版信息

ACS Nano. 2023 Oct 24;17(20):19640-19651. doi: 10.1021/acsnano.3c02269. Epub 2023 Oct 5.

DOI:10.1021/acsnano.3c02269
PMID:37797946
原文链接:https://pmc.ncbi.nlm.nih.gov/articles/PMC10603813/
Abstract

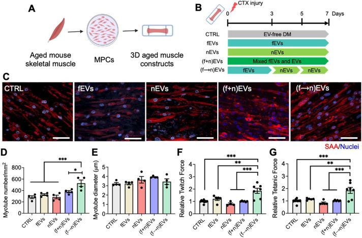
Skeletal muscle regeneration relies on the tightly temporally regulated lineage progression of muscle stem/progenitor cells (MPCs) from activation to proliferation and, finally, differentiation. However, with aging, MPC lineage progression is disrupted and delayed, ultimately causing impaired muscle regeneration. Extracellular vesicles (EVs) have attracted broad attention as next-generation therapeutics for promoting tissue regeneration. As a next step toward clinical translation, strategies to manipulate EV effects on downstream cellular targets are needed. Here, we developed an engineering strategy to tune the therapeutic potential of EVs using nanotopographical cues. We found that EVs released by young MPCs cultured on flat substrates (fEVs) promoted the proliferation of aged MPCs while EVs released by MPCs cultured on nanogratings (nEVs) promoted myogenic differentiation. We then employed a bioengineered 3D muscle aging model to optimize the administration protocol and test the therapeutic potential of fEVs and nEVs in a high-throughput manner. We found that the sequential administration first of fEVs during the phase of MPC proliferative expansion (i.e., 1 day after injury) followed by nEV administration at the stage of MPC differentiation (i.e., 3 days after injury) enhanced aged muscle regeneration to a significantly greater extent than fEVs and nEVs delivered either in isolation or mixed. The beneficial effects of the sequential EV treatment strategy were further validated , as evidenced by increased myofiber size and improved functional recovery. Collectively, our study demonstrates the ability of topographical cues to tune EV therapeutic potential and highlights the importance of optimizing the EV administration strategy to accelerate aged skeletal muscle regeneration.

摘要

骨骼肌再生依赖于肌肉干细胞/祖细胞(MPC)从激活到增殖,最终分化的严格时间调控的谱系进展。然而,随着年龄的增长,MPC 谱系进展被打乱和延迟,最终导致肌肉再生受损。细胞外囊泡(EVs)作为促进组织再生的下一代治疗药物引起了广泛关注。作为向临床转化的下一步,需要制定操纵 EV 对下游细胞靶标影响的策略。在这里,我们开发了一种使用纳米形貌线索来调整 EV 治疗潜力的工程策略。我们发现,在平基底上培养的年轻 MPC 释放的 EV(fEVs)促进了衰老 MPC 的增殖,而在纳米光栅上培养的 MPC 释放的 EV(nEVs)促进了成肌分化。然后,我们使用生物工程化的 3D 肌肉衰老模型以高通量的方式优化给药方案并测试 fEVs 和 nEVs 的治疗潜力。我们发现,在 MPC 增殖扩展阶段(即损伤后 1 天)首先给予 fEVs,然后在 MPC 分化阶段(即损伤后 3 天)给予 nEVs 的序贯给药方案,比单独或混合给予 fEVs 和 nEVs 更能显著增强衰老肌肉的再生。序贯 EV 治疗策略的有益效果进一步得到验证,表现为肌纤维大小增加和功能恢复改善。总之,我们的研究表明,形貌线索能够调整 EV 的治疗潜力,并强调了优化 EV 给药策略以加速衰老骨骼肌再生的重要性。

https://cdn.ncbi.nlm.nih.gov/pmc/blobs/49df/10603813/0dfc5be01ec4/nn3c02269_0005.jpg
https://cdn.ncbi.nlm.nih.gov/pmc/blobs/49df/10603813/34547fe3d8ca/nn3c02269_0001.jpg
https://cdn.ncbi.nlm.nih.gov/pmc/blobs/49df/10603813/91244c7d0ef6/nn3c02269_0002.jpg
https://cdn.ncbi.nlm.nih.gov/pmc/blobs/49df/10603813/df821d04a3d4/nn3c02269_0003.jpg
https://cdn.ncbi.nlm.nih.gov/pmc/blobs/49df/10603813/fda9d00c1172/nn3c02269_0004.jpg
https://cdn.ncbi.nlm.nih.gov/pmc/blobs/49df/10603813/0dfc5be01ec4/nn3c02269_0005.jpg
https://cdn.ncbi.nlm.nih.gov/pmc/blobs/49df/10603813/34547fe3d8ca/nn3c02269_0001.jpg
https://cdn.ncbi.nlm.nih.gov/pmc/blobs/49df/10603813/91244c7d0ef6/nn3c02269_0002.jpg
https://cdn.ncbi.nlm.nih.gov/pmc/blobs/49df/10603813/df821d04a3d4/nn3c02269_0003.jpg
https://cdn.ncbi.nlm.nih.gov/pmc/blobs/49df/10603813/fda9d00c1172/nn3c02269_0004.jpg
https://cdn.ncbi.nlm.nih.gov/pmc/blobs/49df/10603813/0dfc5be01ec4/nn3c02269_0005.jpg

相似文献

1
Nanotopographical Cues Tune the Therapeutic Potential of Extracellular Vesicles for the Treatment of Aged Skeletal Muscle Injuries.纳米形貌线索调节细胞外囊泡的治疗潜力,用于治疗老年骨骼肌损伤。
ACS Nano. 2023 Oct 24;17(20):19640-19651. doi: 10.1021/acsnano.3c02269. Epub 2023 Oct 5.
2
Increased Stiffness in Aged Skeletal Muscle Impairs Muscle Progenitor Cell Proliferative Activity.衰老骨骼肌中增加的僵硬会损害肌肉祖细胞的增殖活性。
PLoS One. 2015 Aug 21;10(8):e0136217. doi: 10.1371/journal.pone.0136217. eCollection 2015.
3
p21 is essential for normal myogenic progenitor cell function in regenerating skeletal muscle.p21对于再生骨骼肌中正常的成肌祖细胞功能至关重要。
Am J Physiol Cell Physiol. 2003 Nov;285(5):C1019-27. doi: 10.1152/ajpcell.00055.2003. Epub 2003 Jun 25.
4
Muscle Precursor Cells Enhance Functional Muscle Recovery and Show Synergistic Effects With Postinjury Treadmill Exercise in a Muscle Injury Model in Rats.肌肉前体细胞增强功能性肌肉恢复,并与大鼠肌肉损伤模型中的损伤后跑步机运动表现出协同效应。
Am J Sports Med. 2021 Mar;49(4):1073-1085. doi: 10.1177/0363546521989235.
5
Production of Mesenchymal Progenitor Cell-Derived Extracellular Vesicles in Suspension Bioreactors for Use in Articular Cartilage Repair.悬浮生物反应器中骨髓间充质祖细胞衍生的细胞外囊泡的生产用于关节软骨修复。
Stem Cells Transl Med. 2022 Mar 3;11(1):73-87. doi: 10.1093/stcltm/szab008.
6
Increased microenvironment stiffness in damaged myofibers promotes myogenic progenitor cell proliferation.受损肌纤维中微环境硬度的增加促进了肌源性祖细胞的增殖。
Skelet Muscle. 2015 Feb 17;5:5. doi: 10.1186/s13395-015-0030-1. eCollection 2015.
7
Tissue-Specific Extracellular Matrix Enhances Skeletal Muscle Precursor Cell Expansion and Differentiation for Potential Application in Cell Therapy.组织特异性细胞外基质增强骨骼肌前体细胞扩增和分化,有望应用于细胞治疗。
Tissue Eng Part A. 2017 Aug;23(15-16):784-794. doi: 10.1089/ten.TEA.2016.0489.
8
Biophysical matrix cues from the regenerating niche direct muscle stem cell fate in engineered microenvironments.再生龛中的生物物理基质线索指导工程微环境中的肌肉干细胞命运。
Biomaterials. 2021 Aug;275:120973. doi: 10.1016/j.biomaterials.2021.120973. Epub 2021 Jun 14.
9
Human skeletal muscle fibroblasts stimulate in vitro myogenesis and in vivo muscle regeneration.人骨骼肌成纤维细胞可刺激体外肌生成和体内肌肉再生。
J Physiol. 2017 Aug 1;595(15):5115-5127. doi: 10.1113/JP273997. Epub 2017 May 23.
10
Characterization of the Skeletal Muscle Secretome Reveals a Role for Extracellular Vesicles and IL1α/IL1β in Restricting Fibro/Adipogenic Progenitor Adipogenesis.骨骼肌分泌组学的特征分析揭示了细胞外囊泡和 IL1α/IL1β 在限制纤维/脂肪祖细胞成脂分化中的作用。
Biomolecules. 2021 Aug 8;11(8):1171. doi: 10.3390/biom11081171.

引用本文的文献

1
Advancements in two-dimensional nanomaterials for regenerative medicine in skeletal muscle repair.用于骨骼肌修复再生医学的二维纳米材料的进展
Mater Today Bio. 2025 Jun 2;33:101924. doi: 10.1016/j.mtbio.2025.101924. eCollection 2025 Aug.
2
A sandwich-like nanofibrous scaffold with macrophage phenotype transformation and myogenic differentiation for skeletal muscle regeneration.一种具有巨噬细胞表型转化和成肌分化功能的三明治状纳米纤维支架用于骨骼肌再生。
Bioact Mater. 2025 May 13;51:211-230. doi: 10.1016/j.bioactmat.2025.05.008. eCollection 2025 Sep.
3
Microenvironmental Modulation for Therapeutic Efficacy of Extracellular Vesicles.

本文引用的文献

1
EV-mediated promotion of myogenic differentiation is dependent on dose, collection medium, and isolation method.细胞外囊泡介导的成肌分化促进作用取决于剂量、收集培养基和分离方法。
Mol Ther Nucleic Acids. 2023 Jul 15;33:511-528. doi: 10.1016/j.omtn.2023.07.005. eCollection 2023 Sep 12.
2
Dissecting Physical and Biochemical Effects in Nanotopographical Regulation of Cell Behavior.解析纳米形貌调控细胞行为的物理和生化效应。
ACS Nano. 2023 Feb 14;17(3):2124-2133. doi: 10.1021/acsnano.2c08075. Epub 2023 Jan 20.
3
Bioengineered 3D Skeletal Muscle Model Reveals Complement 4b as a Cell-Autonomous Mechanism of Impaired Regeneration with Aging.
用于细胞外囊泡治疗效果的微环境调节
Adv Sci (Weinh). 2025 May;12(18):e2503027. doi: 10.1002/advs.202503027. Epub 2025 Mar 27.
4
Engineering multifunctional surface topography to regulate multiple biological responses.设计多功能表面形貌以调控多种生物学反应。
Biomaterials. 2025 Aug;319:123136. doi: 10.1016/j.biomaterials.2025.123136. Epub 2025 Jan 28.
5
Integrating Physical and Biochemical Cues for Muscle Engineering: Scaffolds and Graft Durability.整合物理和生化线索用于肌肉组织工程:支架与移植物的耐久性
Bioengineering (Basel). 2024 Dec 9;11(12):1245. doi: 10.3390/bioengineering11121245.
6
Isolation of small extracellular vesicles from regenerating muscle tissue using tangential flow filtration and size exclusion chromatography.使用切向流过滤和排阻色谱法从小鼠再生肌肉组织中分离小细胞外囊泡。
Skelet Muscle. 2024 Oct 11;14(1):22. doi: 10.1186/s13395-024-00355-1.
7
Mechanome-Guided Strategies in Regenerative Rehabilitation.再生康复中的机械力引导策略
Curr Opin Biomed Eng. 2024 Mar;29. doi: 10.1016/j.cobme.2023.100516. Epub 2023 Nov 30.
8
Musculoskeletal Organs-on-Chips: An Emerging Platform for Studying the Nanotechnology-Biology Interface.肌肉骨骼器官芯片:一种用于研究纳米技术与生物学界面的新兴平台。
Adv Mater. 2025 Jan;37(2):e2401334. doi: 10.1002/adma.202401334. Epub 2024 Mar 28.
生物工程3D骨骼肌模型揭示补体4b是衰老导致再生受损的细胞自主机制。
Adv Mater. 2023 Apr;35(17):e2207443. doi: 10.1002/adma.202207443. Epub 2023 Feb 28.
4
Regulation of aged skeletal muscle regeneration by circulating extracellular vesicles.循环细胞外囊泡对衰老骨骼肌再生的调控。
Nat Aging. 2021 Dec;1(12):1148-1161. doi: 10.1038/s43587-021-00143-2. Epub 2021 Dec 6.
5
Membrane curvature regulates the spatial distribution of bulky glycoproteins.膜曲率调节大型糖蛋白的空间分布。
Nat Commun. 2022 Jun 2;13(1):3093. doi: 10.1038/s41467-022-30610-2.
6
Small extracellular vesicles with nanomorphology memory promote osteogenesis.具有纳米形态记忆的小细胞外囊泡促进骨生成。
Bioact Mater. 2022 Jan 12;17:425-438. doi: 10.1016/j.bioactmat.2022.01.008. eCollection 2022 Nov.
7
In sickness and in health: The functional role of extracellular vesicles in physiology and pathology in vivo: Part I: Health and Normal Physiology: Part I: Health and Normal Physiology.在健康和疾病中:细胞外囊泡在体内生理和病理中的功能作用:第一部分:健康和正常生理:第一部分:健康和正常生理。
J Extracell Vesicles. 2022 Jan;11(1):e12151. doi: 10.1002/jev2.12151.
8
Nanotopography Sequentially Mediates Human Mesenchymal Stem Cell-Derived Small Extracellular Vesicles for Enhancing Osteogenesis.纳米形貌依次调控人骨髓间充质干细胞来源的小细胞外囊泡促进成骨。
ACS Nano. 2022 Jan 25;16(1):415-430. doi: 10.1021/acsnano.1c07150. Epub 2021 Dec 22.
9
Mesenchymal Stem Cell Transplantation for the Treatment of Age-Related Musculoskeletal Frailty.间质干细胞移植治疗与年龄相关的肌肉骨骼虚弱。
Int J Mol Sci. 2021 Sep 29;22(19):10542. doi: 10.3390/ijms221910542.
10
The exosome journey: from biogenesis to uptake and intracellular signalling.外泌体的旅程:从生物发生到摄取和细胞内信号转导。
Cell Commun Signal. 2021 Apr 23;19(1):47. doi: 10.1186/s12964-021-00730-1.