Abdelazim Esraa B, Abed Tasneem, Goher Shaimaa S, Alya Shaza H, El-Nashar Heba A S, El-Moslamy Shahira H, El-Fakharany Esmail M, Abdul-Baki Enas A, Shakweer Marwa Mosaad, Eissa Noura G, Elsabahy Mahmoud, Kamoun Elbadawy A
Badr University in Cairo Research Center, Badr University in Cairo Badr City Cairo 11829 Egypt
Nanotechnology Research Centre (NTRC), The British University in Egypt (BUE) Suez Desert Road El Sherouk City Cairo 1183 Egypt.
RSC Adv. 2024 Jan 2;14(1):101-117. doi: 10.1039/d3ra06355k.
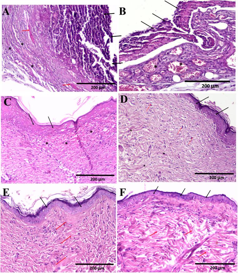
This work aims to develop plant extract-loaded electrospun nanofiber as an effective wound dressing scaffolds for topical wound healing. Electrospun nanofibers were fabricated from leaf extract (SCLE), poly(lactic--glycolic acid) (PLGA), poly(methyl methacrylate) (PMMA), collagen and glycine. Electrospinning conditions were optimized to allow the formation of nanosized and uniform fibers that display smooth surface. Morphology and swelling behavior of the formed nanofibers were studied. In addition, the antibacterial activity of the nanofibers against multidrug-resistant and human pathogens was assessed by agar-well diffusion. Results showed that nanofibers containing extract at concentrations of 0.5 and 1% w/v exhibited greater antibacterial activity against the tested Gram-positive (, , , and ) and Gram-negative (, and ) pathogens compared to the same concentrations of the plain extract. Furthermore, wound healing was evaluated in rats over a period of 14 days. results demonstrated that nanofiber mats containing SCLE and collagen significantly improved wound healing within two weeks, compared to the control untreated group. These findings highlight the potential of fabricated nanofibers in accelerating wound healing and management of topical acute wounds.
本研究旨在开发负载植物提取物的电纺纳米纤维,作为用于局部伤口愈合的有效伤口敷料支架。电纺纳米纤维由叶提取物(SCLE)、聚乳酸-乙醇酸共聚物(PLGA)、聚甲基丙烯酸甲酯(PMMA)、胶原蛋白和甘氨酸制成。对电纺条件进行了优化,以形成具有光滑表面的纳米尺寸且均匀的纤维。研究了所形成纳米纤维的形态和溶胀行为。此外,通过琼脂孔扩散法评估了纳米纤维对多重耐药菌和人类病原体的抗菌活性。结果表明,与相同浓度的纯提取物相比,含有0.5%和1%(w/v)提取物的纳米纤维对测试的革兰氏阳性菌(金黄色葡萄球菌、表皮葡萄球菌、枯草芽孢杆菌、蜡样芽孢杆菌和耐甲氧西林金黄色葡萄球菌)和革兰氏阴性菌(大肠杆菌、铜绿假单胞菌和肺炎克雷伯菌)病原体表现出更强的抗菌活性。此外,在大鼠身上进行了为期14天的伤口愈合评估。结果表明,与未处理的对照组相比,含有SCLE和胶原蛋白的纳米纤维垫在两周内显著改善了伤口愈合。这些发现突出了所制备的纳米纤维在加速伤口愈合和处理局部急性伤口方面的潜力。