Suppr超能文献

间叶性软骨肉瘤的胰腺转移:1例手术病例报告并文献复习

Pancreatic metastasis of mesenchymal chondrosarcoma: a surgical case report and review of literature.

作者信息

Dang Hung N, Tran Phong A, Dang Thanh N, Le Thai T, Le Vi T T, Nguyen Hau H T, Luong Hiep T

机构信息

Departement of Abdominal Surgery, Hue Central Hospital.

Departments ofSurgery.

出版信息

Ann Med Surg (Lond). 2023 Dec 4;86(1):580-587. doi: 10.1097/MS9.0000000000001549. eCollection 2024 Jan.

Abstract

INTRODUCTION

Mesenchymal chondrosarcoma (MC) is a rapidly progressive sarcoma that predominantly impacts the bones. Making up only 3% of chondrosarcomas, about one-third of these tumours develop in extra-skeletal sites.

CASE PRESENTATION

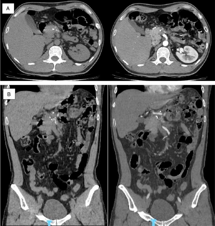
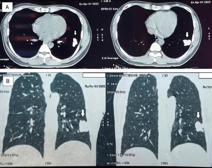
The authors present a clinical case of a 42-year-old patient who was diagnosed with MC 8 years ago, now admitted to the hospital with a palpable epigastric mass. Clinical and laboratory examinations showed consistent results for MC tumours, with metastasis to the body and tail of the pancreas and invasion of the splenic vein. Surgical resection and systemic screening were performed to ensure that there were no lesions elsewhere. Regular follow-up has found no localized lesions or complications after 15 months.

CLINICAL DISCUSSION

Metastatic extra-skeletal mesenchymal chondrosarcoma of the pancreas is exceptionally rare. To our current understanding, only 14 such cases have been documented in medical literature. The symptoms of pancreatic metastasis are diverse and the radiographic features of metastatic mesenchymal chondrosarcoma are not typically distinct.

CONCLUSIONS

Although MC tumours do not frequently occur in sites other than the axial system, a tumour presenting later in a patient with a history of MC should be reviewed to confirm the diagnosis of metastatic MC. Treatment can vary between surgery, radiation therapy and systemic therapy.

摘要

引言

间叶性软骨肉瘤(MC)是一种进展迅速的肉瘤,主要累及骨骼。它仅占软骨肉瘤的3%,其中约三分之一的肿瘤发生于骨骼外部位。

病例报告

作者报告了一例临床病例,一名42岁患者8年前被诊断为MC,现因上腹部可触及肿块入院。临床和实验室检查结果与MC肿瘤相符,已转移至胰腺体尾部并侵犯脾静脉。进行了手术切除和全身筛查以确保其他部位无病变。定期随访发现15个月后无局部病变或并发症。

临床讨论

胰腺转移性骨骼外间叶性软骨肉瘤极为罕见。据我们目前了解,医学文献中仅记录了14例此类病例。胰腺转移的症状多样,转移性间叶性软骨肉瘤的影像学特征通常不典型。

结论

尽管MC肿瘤不常发生于轴性系统以外的部位,但对于有MC病史的患者后期出现的肿瘤,应进行复查以确诊转移性MC。治疗方法可包括手术、放疗和全身治疗。

https://cdn.ncbi.nlm.nih.gov/pmc/blobs/461d/10783418/a645eca44895/ms9-86-580-g001.jpg

文献AI研究员

20分钟写一篇综述,助力文献阅读效率提升50倍。

立即体验

用中文搜PubMed

大模型驱动的PubMed中文搜索引擎

马上搜索

文档翻译

学术文献翻译模型,支持多种主流文档格式。

立即体验