Suppr超能文献

可卡因诱发的哮喘与“快克肺”:一例报告

Cocaine-Induced Asthma and the "Crack Lung": A Case Report.

作者信息

López-Félix Victor A, González-Torres Luis A, Gamboa-Meza Alan, Alanís-Estrada Gabriela, Moreno-Hoyos-Abril Juan Francisco

机构信息

Internal Medicine, Hospital José Eleuterio Gonzalez, Universidad Autónoma de Nuevo León, Monterrey, MEX.

Pulmonary and Critical Care, Hospital José Eleuterio Gonzalez, Universidad Autónoma de Nuevo León, Monterrey, MEX.

出版信息

Cureus. 2024 Feb 9;16(2):e53904. doi: 10.7759/cureus.53904. eCollection 2024 Feb.

Abstract

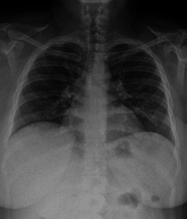
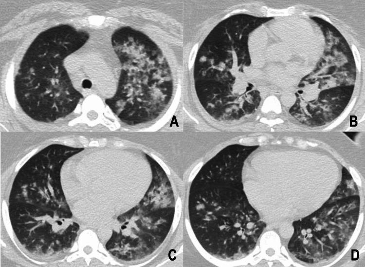
Cocaine, the second most used illicit drug, is associated with cardiovascular, pulmonary, and other complications. Lung involvement associated with cocaine use, also known as "crack lung syndrome" (CLS), can elicit new-onset and exacerbate chronic pulmonary conditions. A 28-year-old female with a history of chronic controlled asthma arrived at the Emergency Department (ED), referring to cocaine inhalation, followed by symptoms compatible with an asthmatic crisis, requiring immediate steroid and bronchodilator therapy. Radiological studies and bronchoscopy confirmed CLS diagnosis. Despite treatment with oxygen, bronchodilators, and steroids, the asthmatic crises persisted. However, after 48 hours, we observed a complete regression of the lung infiltrates. This case highlights the importance of clinical suspicion, bronchoscopy findings, and the potential co-occurrence of CLS with asthma exacerbations. While computed tomography (CT) scans can be helpful, they should not be the only tool to diagnose CLS. The successful management of CLS involves the use of bronchodilators, steroids, and oxygen therapy and abstaining from cocaine use. Researchers should conduct further studies to diagnose and treat CLS in conjunction with acute asthma symptoms to assist this patient population better.

摘要

可卡因是第二大常用非法药物,与心血管、肺部及其他并发症相关。与使用可卡因相关的肺部受累,也称为“快克肺综合征”(CLS),可引发新发疾病并加重慢性肺部疾病。一名有慢性可控性哮喘病史的28岁女性来到急诊科(ED),称吸入了可卡因,随后出现与哮喘发作相符的症状,需要立即进行类固醇和支气管扩张剂治疗。影像学检查和支气管镜检查确诊为CLS。尽管给予了吸氧、支气管扩张剂和类固醇治疗,但哮喘发作仍持续。然而,48小时后,我们观察到肺部浸润完全消退。该病例凸显了临床怀疑、支气管镜检查结果以及CLS与哮喘发作可能同时出现的重要性。虽然计算机断层扫描(CT)有助于诊断,但它不应是诊断CLS的唯一工具。CLS的成功治疗包括使用支气管扩张剂、类固醇和氧疗,并戒除可卡因使用。研究人员应开展进一步研究,以便结合急性哮喘症状诊断和治疗CLS,从而更好地帮助这一患者群体。

https://cdn.ncbi.nlm.nih.gov/pmc/blobs/1c5e/10925074/47ca5507b2e4/cureus-0016-00000053904-i01.jpg

文献AI研究员

20分钟写一篇综述,助力文献阅读效率提升50倍。

立即体验

用中文搜PubMed

大模型驱动的PubMed中文搜索引擎

马上搜索

文档翻译

学术文献翻译模型,支持多种主流文档格式。

立即体验