Suppr超能文献

人成纤维细胞衍生的基质水凝胶通过与巨噬细胞相互作用加速再生性伤口重塑。

Human Fibroblast-Derived Matrix Hydrogel Accelerates Regenerative Wound Remodeling Through the Interactions with Macrophages.

机构信息

Center for Biomaterials, Korea Institute of Science and Technology (KIST), Seoul, 02792, Republic of Korea.

Division of Bio-Medical Science and Technology, KIST School, University of Science and Technology (UST), Seoul, 02792, Republic of Korea.

出版信息

Adv Sci (Weinh). 2024 May;11(18):e2305852. doi: 10.1002/advs.202305852. Epub 2024 Mar 12.

Abstract

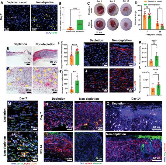
Herein, a novel extracellular matrix (ECM) hydrogel is proposed fabricated solely from decellularized, human fibroblast-derived matrix (FDM) toward advanced wound healing. This FDM-gel is physically very stable and viscoelastic, while preserving the natural ECM diversity and various bioactive factors. Subcutaneously transplanted FDM-gel provided a permissive environment for innate immune cells infiltration. Compared to collagen hydrogel, excellent wound healing indications of FDM-gel treated in the full-thickness wounds are noticed, particularly hair follicle formation via highly upregulated β-catenin. Sequential analysis of the regenerated wound tissues disclosed that FDM-gel significantly alleviated pro-inflammatory cytokine and promoted M2-like macrophages, along with significantly elevated vascular endothelial growth factor (VEGF) and basic fibroblast growth factor (bFGF) level. A mechanistic study demonstrated that macrophages-FDM interactions through cell surface integrins α5β1 and α1β1 resulted in significant production of VEGF and bFGF, increased Akt phosphorylation, and upregulated matrix metalloproteinase-9 activity. Interestingly, blocking such interactions using specific inhibitors (ATN161 for α5β1 and obtustatin for α1β1) negatively affected those pro-healing growth factors secretion. Macrophages depletion animal model significantly attenuated the healing effect of FDM-gel. This study demonstrates that the FDM-gel is an excellent immunomodulatory material that is permissive for host cells infiltration, resorbable with time, and interactive with macrophages, where it thus enables regenerative matrix remodeling toward a complete wound healing.

摘要

本文提出了一种新型细胞外基质(ECM)水凝胶,它仅由脱细胞化的人成纤维细胞衍生基质(FDM)制成,旨在实现先进的伤口愈合。这种 FDM 水凝胶在物理上非常稳定且具有粘弹性,同时保留了天然 ECM 的多样性和各种生物活性因子。皮下移植的 FDM 水凝胶为固有免疫细胞的浸润提供了一个许可的环境。与胶原水凝胶相比,在全层伤口中 FDM 水凝胶处理的伤口愈合指标明显更好,特别是通过高度上调β-连环蛋白形成毛囊。对再生伤口组织的连续分析表明,FDM 水凝胶显著减轻了促炎细胞因子的作用,并促进了 M2 样巨噬细胞的生成,同时还显著提高了血管内皮生长因子(VEGF)和碱性成纤维细胞生长因子(bFGF)的水平。一项机制研究表明,巨噬细胞-FDM 通过细胞表面整合素 α5β1 和 α1β1 的相互作用,导致 VEGF 和 bFGF 的大量产生,增加 Akt 磷酸化,并上调基质金属蛋白酶-9 的活性。有趣的是,使用特异性抑制剂(ATN161 用于 α5β1 和 obtustatin 用于 α1β1)阻断这些相互作用会对这些促愈合生长因子的分泌产生负面影响。巨噬细胞耗竭动物模型显著减弱了 FDM 水凝胶的愈合效果。本研究表明,FDM 水凝胶是一种出色的免疫调节材料,它允许宿主细胞浸润、可随时间吸收,并与巨噬细胞相互作用,从而实现再生基质重塑,以实现完全的伤口愈合。

https://cdn.ncbi.nlm.nih.gov/pmc/blobs/5098/11095160/363102160e10/ADVS-11-2305852-g005.jpg

文献AI研究员

20分钟写一篇综述,助力文献阅读效率提升50倍。

立即体验

用中文搜PubMed

大模型驱动的PubMed中文搜索引擎

马上搜索

文档翻译

学术文献翻译模型,支持多种主流文档格式。

立即体验