Department of Obstetrics and Gynecology, The Third Affiliated Hospital of Guangzhou Medical University, Guangzhou, 510150, China.
Guangdong Provincial Key Laboratory of Major Obstetric Diseases, The Third Affiliated Hospital of Guangzhou Medical University, Guangzhou, 510150, China.
Nat Commun. 2024 Jul 3;15(1):5602. doi: 10.1038/s41467-024-49930-6.
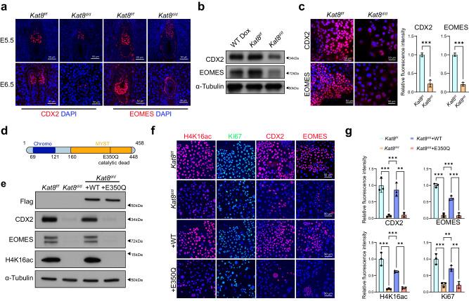
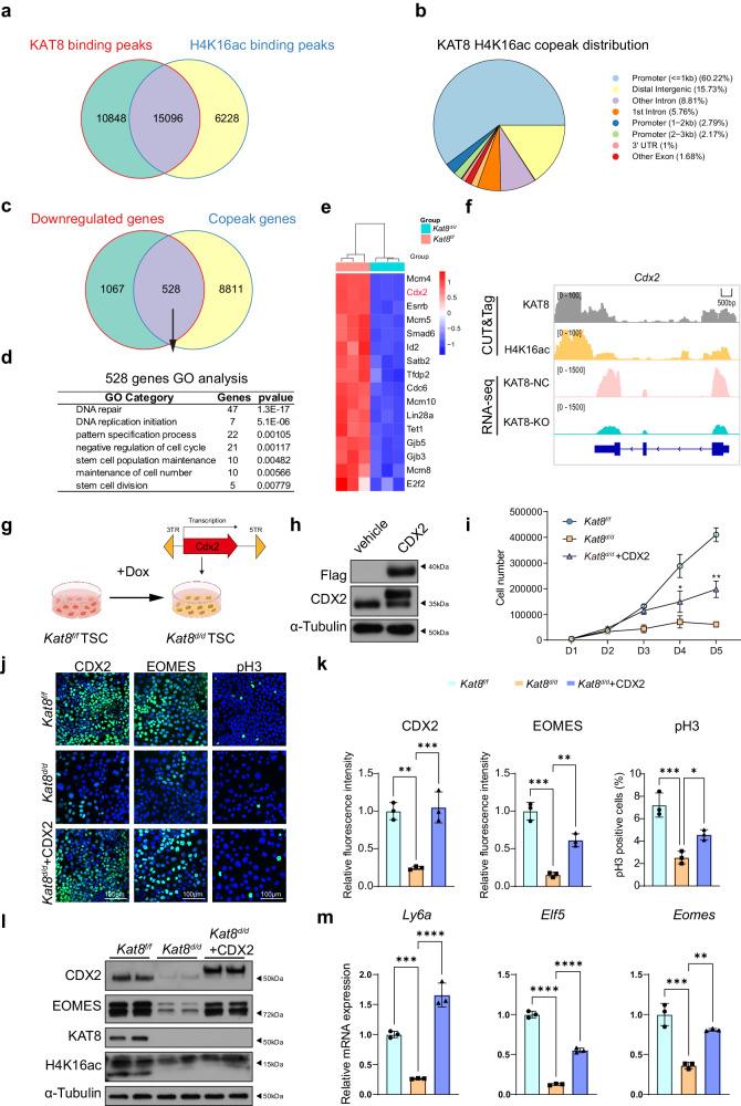
Abnormal trophoblast self-renewal and differentiation during early gestation is the major cause of miscarriage, yet the underlying regulatory mechanisms remain elusive. Here, we show that trophoblast specific deletion of Kat8, a MYST family histone acetyltransferase, leads to extraembryonic ectoderm abnormalities and embryonic lethality. Employing RNA-seq and CUT&Tag analyses on trophoblast stem cells (TSCs), we further discover that KAT8 regulates the transcriptional activation of the trophoblast stemness marker, CDX2, via acetylating H4K16. Remarkably, CDX2 overexpression partially rescues the defects arising from Kat8 knockout. Moreover, increasing H4K16ac via using deacetylase SIRT1 inhibitor, EX527, restores CDX2 levels and promoted placental development. Clinical analysis shows reduced KAT8, CDX2 and H4K16ac expression are associated with recurrent pregnancy loss (RPL). Trophoblast organoids derived from these patients exhibit impaired TSC self-renewal and growth, which are significantly ameliorated with EX527 treatment. These findings suggest the therapeutic potential of targeting the KAT8-H4K16ac-CDX2 axis for mitigating RPL, shedding light on early gestational abnormalities.
异常的滋养层自我更新和分化是导致流产的主要原因,但潜在的调控机制仍不清楚。在这里,我们表明滋养层特异性缺失Kat8(一种 MYST 家族组蛋白乙酰转移酶)会导致胚胎外外胚层异常和胚胎致死。我们在滋养层干细胞(TSC)上进行 RNA-seq 和 CUT&Tag 分析,进一步发现 KAT8 通过乙酰化 H4K16 来调节滋养层干细胞标志物 CDX2 的转录激活。值得注意的是,CDX2 的过表达部分挽救了因 Kat8 敲除引起的缺陷。此外,通过使用去乙酰化酶 SIRT1 抑制剂 EX527 增加 H4K16ac 水平可恢复 CDX2 水平并促进胎盘发育。临床分析表明,反复妊娠丢失(RPL)患者的 KAT8、CDX2 和 H4K16ac 表达减少。源自这些患者的滋养层类器官表现出 TSC 自我更新和生长受损,用 EX527 治疗可显著改善。这些发现表明靶向 KAT8-H4K16ac-CDX2 轴治疗 RPL 的潜力,为早期妊娠异常提供了新的思路。