Suppr超能文献

在酿酒酵母无细胞重组系统中产生的质粒重组中间体。

Plasmid recombination intermediates generated in a Saccharomyces cerevisiae cell-free recombination system.

作者信息

Symington L S, Morrison P, Kolodner R

出版信息

Mol Cell Biol. 1985 Sep;5(9):2361-8. doi: 10.1128/mcb.5.9.2361-2368.1985.

Abstract

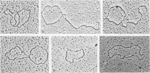
We have developed an assay utilizing Saccharomyces cerevisiae cell extracts to catalyze recombination in vitro between homologous plasmids containing different mutant alleles of the tet gene. Electrophoretic analysis of product DNA indicated that a number of novel DNA species were formed during the reaction. These species migrated through agarose gels as distinct bands with decreased electrophoretic mobility compared with the substrate DNA. The DNA from each individual band was purified and shown to be enriched 5- to 100-fold for tetracycline-resistant recombinants by using a transformation assay. The structure of the DNA molecules present in these bands was determined by electron microscopy. Recombination between circular substrates appeared to involve the formation and processing of figure-eight molecules, while recombination between circular and linear substrates involved the formation of molecules in which a circular monomer had a monomer-length linear tail attached at a region of homology.

摘要

我们开发了一种检测方法,利用酿酒酵母细胞提取物在体外催化含有tet基因不同突变等位基因的同源质粒之间的重组。产物DNA的电泳分析表明,反应过程中形成了许多新的DNA种类。这些种类在琼脂糖凝胶中迁移时呈现为明显的条带,与底物DNA相比,其电泳迁移率降低。通过转化检测,从每个单独条带中纯化的DNA显示对四环素抗性重组体富集了5至100倍。通过电子显微镜确定了这些条带中存在的DNA分子的结构。环状底物之间的重组似乎涉及八字形分子的形成和加工,而环状与线性底物之间的重组则涉及分子的形成,其中环状单体在同源区域连接有单体长度的线性尾巴。

https://cdn.ncbi.nlm.nih.gov/pmc/blobs/5e65/366963/0904599fd439/molcellb00105-0213-a.jpg

文献检索

告别复杂PubMed语法,用中文像聊天一样搜索,搜遍4000万医学文献。AI智能推荐,让科研检索更轻松。

立即免费搜索

文件翻译

保留排版,准确专业,支持PDF/Word/PPT等文件格式,支持 12+语言互译。

免费翻译文档

深度研究

AI帮你快速写综述,25分钟生成高质量综述,智能提取关键信息,辅助科研写作。

立即免费体验