Suppr超能文献

马拉松运动员赛后骨骼肌损伤与修复

Skeletal muscle injury and repair in marathon runners after competition.

作者信息

Warhol M J, Siegel A J, Evans W J, Silverman L M

出版信息

Am J Pathol. 1985 Feb;118(2):331-9.

Abstract

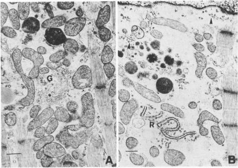
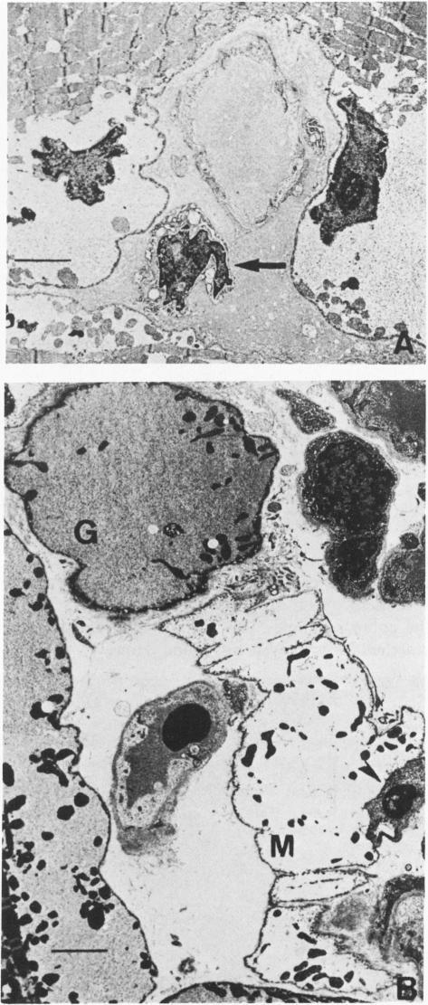
Elevated serum creatine kinase MB isoenzyme (CK-MB) activity in marathon runners after competition may arise from injury to skeletal muscle, myocardium, or a combined tissue source. Normal radionuclide myocardial scintigraphy and the selective increase in skeletal muscle CK-MB reported in such runners strongly suggest a peripheral source. To understand this biochemical finding, the authors examined gastrocnemius muscles by electron microscopy from 40 male marathon runners at intervals after competition and from 12 male nonrunners. Muscle from runners showed post-race ultrastructural changes of focal fiber injury and repair: intra- and extracellular edema with endothelial injury; myofibrillar lysis, dilation and disruption of the T-tubule system, and focal mitochondrial degeneration without inflammatory infiltrate (1-3 days). The mitochondrial and myofibrillar damage showed progressive repair by 3-4 weeks. Late biopsies showed central nuclei and satellite cells characteristic of the regenerative response (8-12 weeks). Muscle from veteran runners showed intercellular collagen deposition suggestive of a fibrotic response to repetitive injury. Control tissue from nonrunners showed none of these findings. The sequential morphologic changes in runners suggest that the increase in skeletal muscle CK-MB is a marker of cellular regeneration.

摘要

马拉松运动员赛后血清肌酸激酶MB同工酶(CK-MB)活性升高可能源于骨骼肌、心肌损伤或两者联合的组织损伤。此类运动员正常的放射性核素心肌闪烁扫描以及骨骼肌CK-MB的选择性升高强烈提示其来源为外周组织。为了解这一生化现象,作者对40名男性马拉松运动员赛后不同时间间隔的腓肠肌以及12名男性非运动员的腓肠肌进行了电镜检查。运动员的肌肉在赛后呈现出局灶性纤维损伤和修复的超微结构变化:伴有内皮损伤的细胞内和细胞外水肿;肌原纤维溶解、T小管系统扩张和破坏,以及局灶性线粒体变性,无炎症浸润(1-3天)。线粒体和肌原纤维损伤在3-4周时显示出进行性修复。后期活检显示有中央核和卫星细胞,这是再生反应的特征(8-12周)。资深运动员的肌肉显示出细胞间胶原沉积,提示对重复性损伤的纤维化反应。非运动员的对照组织未显示出这些发现。运动员肌肉的一系列形态学变化表明,骨骼肌CK-MB的升高是细胞再生的一个标志。

https://cdn.ncbi.nlm.nih.gov/pmc/blobs/af5e/1887882/2ebd416e5dd4/amjpathol00173-0166-a.jpg

文献检索

告别复杂PubMed语法,用中文像聊天一样搜索,搜遍4000万医学文献。AI智能推荐,让科研检索更轻松。

立即免费搜索

文件翻译

保留排版,准确专业,支持PDF/Word/PPT等文件格式,支持 12+语言互译。

免费翻译文档

深度研究

AI帮你快速写综述,25分钟生成高质量综述,智能提取关键信息,辅助科研写作。

立即免费体验