Suppr超能文献

胶质母细胞瘤术后癌细胞在瘤周水肿中的分布

Post-operative glioblastoma cancer cell distribution in the peritumoural oedema.

作者信息

Macarie Andrei Ciprian, Suveges Szabolcs, Okasha Mohamed, Hossain-Ibrahim Kismet, Steele J Douglas, Trucu Dumitru

机构信息

Division of Mathematics, University of Dundee, Dundee, United Kingdom.

Division of Neuroscience, School of Medicine, University of Dundee, Dundee, United Kingdom.

出版信息

Front Oncol. 2024 Dec 12;14:1447010. doi: 10.3389/fonc.2024.1447010. eCollection 2024.

Abstract

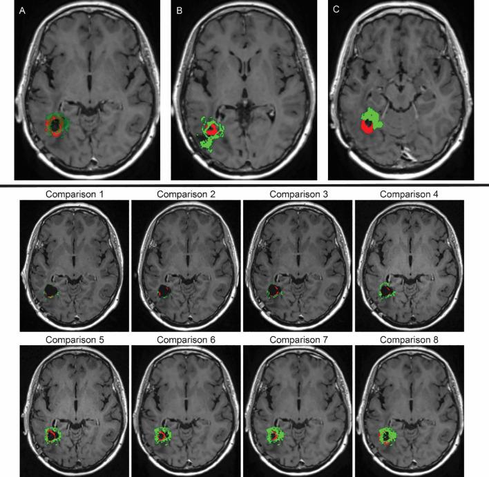
Glioblastoma multiforme (GBM), the most aggressive primary brain tumour, exhibits low survival rates due to its rapid growth, infiltrates surrounding brain tissue, and is highly resistant to treatment. One major challenge is oedema infiltration, a fluid build-up that provides a path for cancer cells to invade other areas. MRI resolution is insufficient to detect these infiltrating cells, leading to relapses despite chemotherapy and radiotherapy. In this work, we propose a new multiscale mathematical modelling method, to explore the oedema infiltration and predict tumour relapses. To address tumour relapses, we investigated several possible scenarios for the distribution of remaining GBM cells within the oedema after surgery. Furthermore, in this computational modelling investigation on tumour relapse scenarios were investigated assuming the presence of clinically relevant chemo-radio therapy, numerical results suggest that a higher concentration of GBM cells near the surgical cavity edge led to limited spread and slower progression of tumour relapse. Finally, we explore mathematical and computational avenues for reconstructing relevant shapes for the initial distributions of GBM cells within the oedema from available MRI scans. The results obtained show good overlap between our simulation and the patient's serial MRI scans taken 881 days into the treatment. While still under analytical investigation, this work paves the way for robust reconstruction of tumour relapses from available clinical data.

摘要

多形性胶质母细胞瘤(GBM)是最具侵袭性的原发性脑肿瘤,因其生长迅速、浸润周围脑组织且对治疗高度耐药,导致生存率较低。一个主要挑战是水肿浸润,即液体堆积,为癌细胞侵入其他区域提供了途径。磁共振成像(MRI)分辨率不足以检测这些浸润细胞,导致尽管进行了化疗和放疗仍会复发。在这项工作中,我们提出了一种新的多尺度数学建模方法,以探索水肿浸润并预测肿瘤复发。为了解决肿瘤复发问题,我们研究了手术后水肿内残留GBM细胞分布的几种可能情况。此外,在这项关于肿瘤复发情况的计算建模研究中,假设存在临床相关的放化疗,数值结果表明手术腔边缘附近较高浓度的GBM细胞会导致肿瘤复发的扩散受限和进展缓慢。最后,我们探索从可用的MRI扫描重建水肿内GBM细胞初始分布的相关形状的数学和计算途径。获得的结果显示我们的模拟与治疗881天时患者的系列MRI扫描之间有良好的重叠。虽然仍在进行分析研究,但这项工作为从可用临床数据中可靠地重建肿瘤复发铺平了道路。

https://cdn.ncbi.nlm.nih.gov/pmc/blobs/a144/11669604/57d5325f80c1/fonc-14-1447010-g001.jpg

文献检索

告别复杂PubMed语法,用中文像聊天一样搜索,搜遍4000万医学文献。AI智能推荐,让科研检索更轻松。

立即免费搜索

文件翻译

保留排版,准确专业,支持PDF/Word/PPT等文件格式,支持 12+语言互译。

免费翻译文档

深度研究

AI帮你快速写综述,25分钟生成高质量综述,智能提取关键信息,辅助科研写作。

立即免费体验