Suppr超能文献

1例酷似鼻咽癌的原发性鼻咽脊索瘤罕见病例报告

A rare case of primary chordoma of the nasopharynx mimicking nasopharyngeal carcinoma: A case report.

作者信息

Geremew Teketel Tadesse, Engida Ghion Getenet, Mihiret Adugnaw Kindu, Gelaw Abeje Diress, Tesgera Tigist Gutema

机构信息

Department of Pathology, Hawassa University Comprehensive Specialized Hospital, Hawassa, Sidama, Ethiopia.

Department of Pathology, Hawassa University Comprehensive Specialized Hospital, Hawassa, Sidama, Ethiopia.

出版信息

Int J Surg Case Rep. 2025 Jan;126:110779. doi: 10.1016/j.ijscr.2024.110779. Epub 2024 Dec 24.

Abstract

INTRODUCTION AND IMPORTANCE

Chordoma is an uncommon malignant tumor that originates from the remnants of the primitive notochord in the embryo. They account for 1 % of intracranial tumors and 4 % of primary bone tumors. It is a locally aggressive tumor with a low risk of metastasis. It is more common in males than in females and is more common in the age range of 40-60. It most commonly occurs in the sacrococcygeal areas but can occur in uncommon locations, such as the dental area and nasopharynx. This case is important because there are few case reports in the world.

CASE PRESENTATION

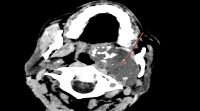
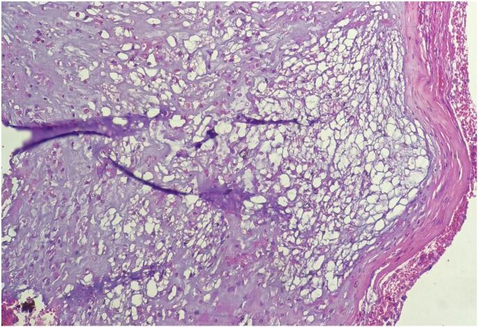
Here we present a 60 years old male patient presented with foul smelling nasal discharge, nasal obstruction and snoring of 2 years duration and Head CT scan was concluded to be advanced nasopharyngeal carcinoma but histopathology result turned out to be the uncommon nasopharyngeal chordoma. Therefore, he was treated with surgical excision and adjuvant radiotherapy.

CLINICAL DISCUSSION

Patient presentation usually varies by location; however, patients can be asymptomatic. CT and MRI are considered the initial modes of investigation, but histopathology is needed to confirm the diagnosis. Surgery is the primary mode of treatment with or without adjuvant chemoradiotherapy.

CONCLUSION

Even though the typical location of chordoma is the sacrococcygeal area of the body, it can arise in uncommon locations, such as the nasopharynx.

摘要

引言与重要性

脊索瘤是一种罕见的恶性肿瘤,起源于胚胎原始脊索的残余部分。它们占颅内肿瘤的1%,原发性骨肿瘤的4%。它是一种具有局部侵袭性、转移风险低的肿瘤。男性比女性更常见,在40 - 60岁年龄段更为常见。它最常发生在骶尾部区域,但也可发生在不常见的部位,如齿区和鼻咽部。该病例很重要,因为世界上此类病例报告很少。

病例介绍

我们在此呈现一名60岁男性患者,有2年的恶臭鼻涕、鼻塞和打鼾症状,头部CT扫描诊断为晚期鼻咽癌,但组织病理学结果显示为罕见的鼻咽部脊索瘤。因此,他接受了手术切除及辅助放疗。

临床讨论

患者的表现通常因部位而异;然而,患者也可能无症状。CT和MRI被认为是初始检查方式,但确诊需要组织病理学检查。手术是主要治疗方式,可联合或不联合辅助放化疗。

结论

尽管脊索瘤的典型部位是身体的骶尾部区域,但它也可发生在不常见的部位,如鼻咽部。

https://cdn.ncbi.nlm.nih.gov/pmc/blobs/7547/11741022/b57b3620ddd1/gr1.jpg

文献检索

告别复杂PubMed语法,用中文像聊天一样搜索,搜遍4000万医学文献。AI智能推荐,让科研检索更轻松。

立即免费搜索

文件翻译

保留排版,准确专业,支持PDF/Word/PPT等文件格式,支持 12+语言互译。

免费翻译文档

深度研究

AI帮你快速写综述,25分钟生成高质量综述,智能提取关键信息,辅助科研写作。

立即免费体验