• 文献检索
  • 文档翻译
  • 深度研究
  • 学术资讯
  • Suppr Zotero 插件Zotero 插件
  • 邀请有礼
  • 套餐&价格
  • 历史记录
应用&插件
Suppr Zotero 插件Zotero 插件浏览器插件Mac 客户端Windows 客户端微信小程序
定价
高级版会员购买积分包购买API积分包
服务
文献检索文档翻译深度研究API 文档MCP 服务
关于我们
关于 Suppr公司介绍联系我们用户协议隐私条款
关注我们

Suppr 超能文献

核心技术专利:CN118964589B侵权必究
粤ICP备2023148730 号-1Suppr @ 2026

文献检索

告别复杂PubMed语法,用中文像聊天一样搜索,搜遍4000万医学文献。AI智能推荐,让科研检索更轻松。

立即免费搜索

文件翻译

保留排版,准确专业,支持PDF/Word/PPT等文件格式,支持 12+语言互译。

免费翻译文档

深度研究

AI帮你快速写综述,25分钟生成高质量综述,智能提取关键信息,辅助科研写作。

立即免费体验

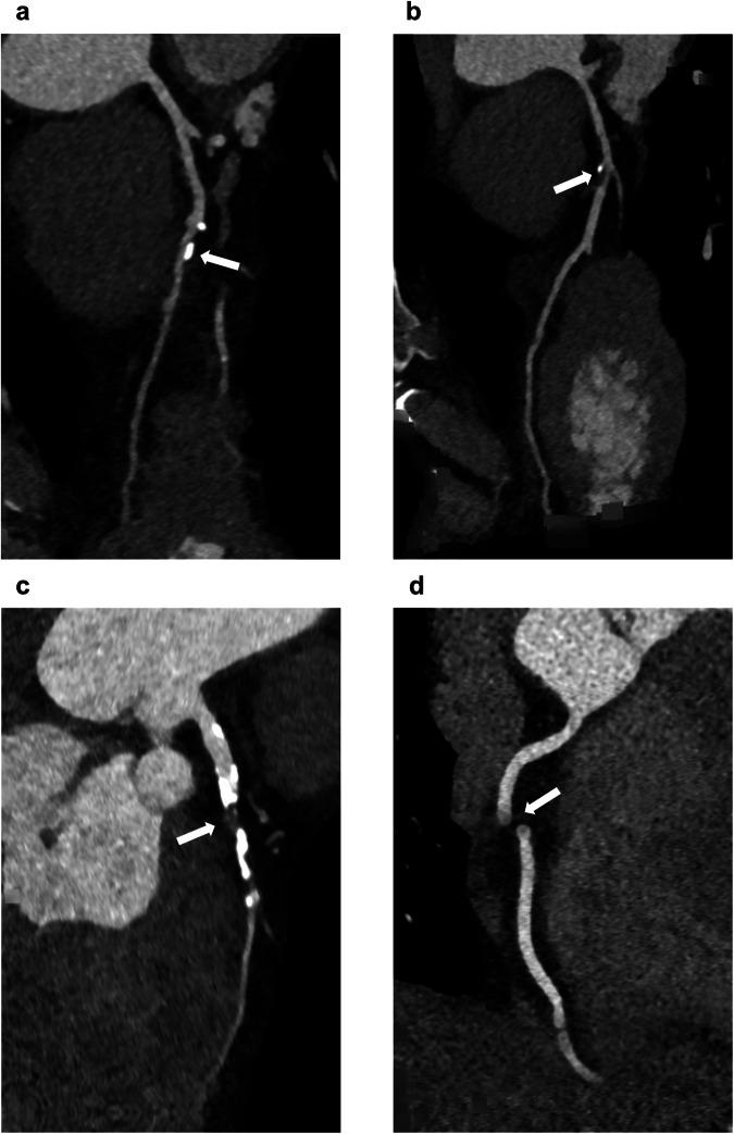
使用更新的深度学习模型从冠状动脉计算机断层扫描血管造影扫描中自动分类冠状动脉病变:ALERT研究。

Automated classification of coronary LEsions fRom coronary computed Tomography angiography scans with an updated deep learning model: ALERT study.

作者信息

Verpalen Victor A, Coerkamp Casper F, Henriques José P S, Isgum Ivana, Planken R Nils

机构信息

Department of Radiology and Nuclear Medicine, Amsterdam University Medical Center, University of Amsterdam, Amsterdam Cardiovascular Sciences, Amsterdam, The Netherlands.

Department of Cardiology, Amsterdam University Medical Center, University of Amsterdam, Amsterdam Cardiovascular Sciences, Amsterdam, The Netherlands.

出版信息

Eur Radiol. 2025 Mar;35(3):1543-1551. doi: 10.1007/s00330-024-11308-z. Epub 2025 Jan 10.

DOI:10.1007/s00330-024-11308-z
PMID:39792162
原文链接:https://pmc.ncbi.nlm.nih.gov/articles/PMC11836176/
Abstract

OBJECTIVES

The use of deep learning models for quantitative measurements on coronary computed tomography angiography (CCTA) may reduce inter-reader variability and increase efficiency in clinical reporting. This study aimed to investigate the diagnostic performance of a recently updated deep learning model (CorEx-2.0) for quantifying coronary stenosis, compared separately with two expert CCTA readers as references.

METHODS

This single-center retrospective study included 50 patients that underwent CCTA to rule out obstructive coronary artery disease between 2017-2022. Two expert CCTA readers and CorEx-2.0 independently assessed all 150 vessels using Coronary Artery Disease-Reporting and Data System (CAD-RADS). Inter-reader agreement analysis and diagnostic performance of CorEx-2.0, compared with each expert reader as references, were evaluated using percent agreement, Cohen's kappa for the binary CAD-RADS classification (CAD-RADS 0-3 versus 4-5) at patient level, and linearly weighted kappa for the 6-group CAD-RADS classification at vessel level.

RESULTS

Overall, 50 patients and 150 vessels were evaluated. Inter-reader agreement using the binary classification at patient level was 91.8% (45/49) with a Cohen's kappa of 0.80. For the 6-group classification at vessel level, inter-reader agreement was 67.6% (100/148) with a linearly weighted kappa of 0.77. CorEx-2.0 showed 100% sensitivity for detecting CAD-RADS ≥ 4 and kappa values of 0.86 versus both readers using the binary classification at patient level. For the 6-group classification at vessel level, CorEx-2.0 demonstrated weighted kappa values of 0.71 versus reader 1 and 0.73 versus reader 2.

CONCLUSION

CorEx-2.0 identified all patients with severe stenosis (CAD-RADS ≥ 4) compared with expert readers and approached expert reader performance at vessel level (weighted kappa > 0.70).

KEY POINTS

Question Can deep learning models improve objectivity in coronary stenosis grading and reporting as coronary CT angiography (CTA) workloads rise? Findings The deep learning model (CorEx-2.0) identified all patients with severe stenoses when compared with expert readers and approached expert reader performance at vessel level. Clinical relevance CorEx-2.0 is a reliable tool for identifying patients with severe stenoses (≥ 70%), underscoring the potential of using this deep learning model to prioritize coronary CTA reading by flagging patients at risk of severe obstructive coronary artery disease.

摘要

目的

使用深度学习模型对冠状动脉计算机断层扫描血管造影(CCTA)进行定量测量,可能会减少阅片者之间的差异,并提高临床报告的效率。本研究旨在调查一种最近更新的深度学习模型(CorEx-2.0)在量化冠状动脉狭窄方面的诊断性能,并分别与两位CCTA专家阅片者作为参考进行比较。

方法

这项单中心回顾性研究纳入了2017年至2022年间接受CCTA以排除阻塞性冠状动脉疾病的50例患者。两位CCTA专家阅片者和CorEx-2.0使用冠状动脉疾病报告和数据系统(CAD-RADS)对所有150条血管进行独立评估。使用一致性百分比、患者水平上二元CAD-RADS分类(CAD-RADS 0-3与4-5)的Cohen's kappa以及血管水平上6组CAD-RADS分类的线性加权kappa,评估CorEx-2.0与每位专家阅片者作为参考相比的阅片者间一致性分析和诊断性能。

结果

总体而言,评估了50例患者和150条血管。患者水平上使用二元分类的阅片者间一致性为91.8%(45/49),Cohen's kappa为0.80。对于血管水平上的6组分类,阅片者间一致性为67.6%(100/148),线性加权kappa为0.77。CorEx-2.0在检测CAD-RADS≥4时显示出100%的敏感性,在患者水平上使用二元分类时与两位阅片者相比kappa值为0.86。对于血管水平上的6组分类,CorEx-2.0与阅片者1相比加权kappa值为0.71,与阅片者2相比为0.73。

结论

与专家阅片者相比,CorEx-2.0识别出了所有严重狭窄(CAD-RADS≥4)的患者,并在血管水平上接近专家阅片者的表现(加权kappa>0.70)。

关键点

问题随着冠状动脉CT血管造影(CTA)工作量的增加,深度学习模型能否提高冠状动脉狭窄分级和报告的客观性?发现深度学习模型(CorEx-2.0)与专家阅片者相比识别出了所有严重狭窄的患者,并在血管水平上接近专家阅片者的表现。临床意义CorEx-2.0是识别严重狭窄(≥70%)患者的可靠工具,强调了使用这种深度学习模型通过标记有严重阻塞性冠状动脉疾病风险的患者来优先进行冠状动脉CTA阅片的潜力。

https://cdn.ncbi.nlm.nih.gov/pmc/blobs/48b8/11836176/038089126408/330_2024_11308_Fig2_HTML.jpg
https://cdn.ncbi.nlm.nih.gov/pmc/blobs/48b8/11836176/ce625f3407a7/330_2024_11308_Fig1_HTML.jpg
https://cdn.ncbi.nlm.nih.gov/pmc/blobs/48b8/11836176/038089126408/330_2024_11308_Fig2_HTML.jpg
https://cdn.ncbi.nlm.nih.gov/pmc/blobs/48b8/11836176/ce625f3407a7/330_2024_11308_Fig1_HTML.jpg
https://cdn.ncbi.nlm.nih.gov/pmc/blobs/48b8/11836176/038089126408/330_2024_11308_Fig2_HTML.jpg

相似文献

1
Automated classification of coronary LEsions fRom coronary computed Tomography angiography scans with an updated deep learning model: ALERT study.使用更新的深度学习模型从冠状动脉计算机断层扫描血管造影扫描中自动分类冠状动脉病变:ALERT研究。
Eur Radiol. 2025 Mar;35(3):1543-1551. doi: 10.1007/s00330-024-11308-z. Epub 2025 Jan 10.
2
Structured reporting platform improves CAD-RADS assessment.结构化报告平台提高 CAD-RADS 评估效能。
J Cardiovasc Comput Tomogr. 2017 Nov;11(6):449-454. doi: 10.1016/j.jcct.2017.09.008. Epub 2017 Sep 18.
3
Coronary artery disease detection using deep learning and ultrahigh-resolution photon-counting coronary CT angiography.使用深度学习和超高分辨率光子计数冠状动脉CT血管造影术检测冠状动脉疾病
Diagn Interv Imaging. 2025 Feb;106(2):68-75. doi: 10.1016/j.diii.2024.09.012. Epub 2024 Oct 4.
4
Coronary artery disease reporting and data system (CAD-RADS): Inter-observer agreement for assessment categories and modifiers.冠状动脉疾病报告和数据系统(CAD-RADS):评估类别和修饰符的观察者间一致性。
J Cardiovasc Comput Tomogr. 2018 Mar-Apr;12(2):125-130. doi: 10.1016/j.jcct.2017.11.014. Epub 2017 Dec 5.
5
Diagnostic accuracy in coronary CT angiography analysis: artificial intelligence versus human assessment.冠状动脉CT血管造影分析中的诊断准确性:人工智能与人工评估
Open Heart. 2025 Jan 11;12(1):e003115. doi: 10.1136/openhrt-2024-003115.
6
Evaluation of a deep learning model on coronary CT angiography for automatic stenosis detection.基于深度学习的冠状动脉 CT 血管造影自动狭窄检测模型评估。
Diagn Interv Imaging. 2022 Jun;103(6):316-323. doi: 10.1016/j.diii.2022.01.004. Epub 2022 Jan 26.
7
Diagnostic performance of deep learning to exclude coronary stenosis on CT angiography in TAVI patients.深度学习在经导管主动脉瓣置换术患者 CT 血管造影中排除冠状动脉狭窄的诊断性能。
Int J Cardiovasc Imaging. 2024 May;40(5):981-990. doi: 10.1007/s10554-024-03063-5. Epub 2024 Mar 10.
8
Clinical Validation of a Deep Learning Algorithm for Automated Coronary Artery Disease Detection and Classification Using a Heterogeneous Multivendor Coronary Computed Tomography Angiography Data Set.使用异构多厂商冠状动脉计算机断层扫描血管造影数据集对用于自动检测和分类冠状动脉疾病的深度学习算法进行临床验证
J Thorac Imaging. 2025 Jan 1;40(1):e0798. doi: 10.1097/RTI.0000000000000798.
9
Deep learning powered coronary CT angiography for detecting obstructive coronary artery disease: The effect of reader experience, calcification and image quality.深度学习助力冠状动脉 CT 血管造影术检测阻塞性冠状动脉疾病:读者经验、钙化和图像质量的影响。
Eur J Radiol. 2021 Sep;142:109835. doi: 10.1016/j.ejrad.2021.109835. Epub 2021 Jun 27.
10
Performance of a deep learning algorithm for the evaluation of CAD-RADS classification with CCTA.深度学习算法在 CCTA 评估 CAD-RADS 分类中的性能。
Atherosclerosis. 2020 Feb;294:25-32. doi: 10.1016/j.atherosclerosis.2019.12.001. Epub 2019 Dec 23.

引用本文的文献

1
Beyond plaque segmentation: a combined radiomics-deep learning approach for automated CAD-RADS classification.超越斑块分割:一种用于自动CAD-RADS分类的放射组学与深度学习相结合的方法。
Front Med (Lausanne). 2025 Mar 26;12:1536239. doi: 10.3389/fmed.2025.1536239. eCollection 2025.

本文引用的文献

1
Coronary artery disease evaluation during transcatheter aortic valve replacement work-up using photon-counting CT and artificial intelligence.经导管主动脉瓣置换术评估中的冠状动脉疾病评估:应用光子计数 CT 和人工智能。
Diagn Interv Imaging. 2024 Jul-Aug;105(7-8):273-280. doi: 10.1016/j.diii.2024.01.010. Epub 2024 Feb 16.
2
Automatic Coronary Artery Plaque Quantification and CAD-RADS Prediction Using Mesh Priors.基于网格先验的冠状动脉斑块自动定量分析与 CAD-RADS 预测
IEEE Trans Med Imaging. 2024 Apr;43(4):1272-1283. doi: 10.1109/TMI.2023.3326243. Epub 2024 Apr 3.
3
Artificial intelligence-based opportunistic detection of coronary artery stenosis on aortic computed tomography angiography in emergency department patients with acute chest pain.
基于人工智能的急诊科急性胸痛患者主动脉计算机断层扫描血管造影术中冠状动脉狭窄的机会性检测
Eur Heart J Open. 2023 Sep 7;3(5):oead088. doi: 10.1093/ehjopen/oead088. eCollection 2023 Sep.
4
Roadmap on the use of artificial intelligence for imaging of vulnerable atherosclerotic plaque in coronary arteries.冠状动脉易损动脉粥样硬化斑块成像的人工智能应用路线图。
Nat Rev Cardiol. 2024 Jan;21(1):51-64. doi: 10.1038/s41569-023-00900-3. Epub 2023 Jul 18.
5
National Trends in Coronary Artery Disease Imaging: Associations With Health Care Outcomes and Costs.国家冠状动脉疾病影像学趋势:与医疗保健结果和成本的关联。
JACC Cardiovasc Imaging. 2023 May;16(5):659-671. doi: 10.1016/j.jcmg.2022.10.022. Epub 2023 Jan 11.
6
CAD-RADS™ 2.0 - 2022 Coronary Artery Disease-Reporting and Data System: An Expert Consensus Document of the Society of Cardiovascular Computed Tomography (SCCT), the American College of Cardiology (ACC), the American College of Radiology (ACR), and the North America Society of Cardiovascular Imaging (NASCI).CAD-RADS™ 2.0 - 2022冠状动脉疾病报告与数据系统:心血管计算机断层扫描学会(SCCT)、美国心脏病学会(ACC)、美国放射学会(ACR)及北美心血管影像学会(NASCI)的专家共识文件
J Cardiovasc Comput Tomogr. 2022 Nov-Dec;16(6):536-557. doi: 10.1016/j.jcct.2022.07.002. Epub 2022 Jul 8.
7
Deep learning-enabled coronary CT angiography for plaque and stenosis quantification and cardiac risk prediction: an international multicentre study.深度学习辅助冠状动脉 CT 血管造影术进行斑块和狭窄定量及心脏风险预测:一项国际多中心研究。
Lancet Digit Health. 2022 Apr;4(4):e256-e265. doi: 10.1016/S2589-7500(22)00022-X.
8
AI Evaluation of Stenosis on Coronary CTA, Comparison With Quantitative Coronary Angiography and Fractional Flow Reserve: A CREDENCE Trial Substudy.冠状动脉 CTA 狭窄的人工智能评估,与定量冠状动脉造影和血流储备分数的比较:一项 CREDENCE 试验的子研究。
JACC Cardiovasc Imaging. 2023 Feb;16(2):193-205. doi: 10.1016/j.jcmg.2021.10.020. Epub 2022 Feb 16.
9
Evaluation of a deep learning model on coronary CT angiography for automatic stenosis detection.基于深度学习的冠状动脉 CT 血管造影自动狭窄检测模型评估。
Diagn Interv Imaging. 2022 Jun;103(6):316-323. doi: 10.1016/j.diii.2022.01.004. Epub 2022 Jan 26.
10
The impact and challenges of implementing CTCA according to the 2019 ESC guidelines on chronic coronary syndromes: a survey and projection of CTCA services in the Netherlands.根据2019年欧洲心脏病学会慢性冠状动脉综合征指南实施冠状动脉CT血管造影(CTCA)的影响和挑战:荷兰CTCA服务的一项调查与预测
Insights Imaging. 2021 Dec 18;12(1):186. doi: 10.1186/s13244-021-01122-2.