• 文献检索
  • 文档翻译
  • 深度研究
  • 学术资讯
  • Suppr Zotero 插件Zotero 插件
  • 邀请有礼
  • 套餐&价格
  • 历史记录
应用&插件
Suppr Zotero 插件Zotero 插件浏览器插件Mac 客户端Windows 客户端微信小程序
定价
高级版会员购买积分包购买API积分包
服务
文献检索文档翻译深度研究API 文档MCP 服务
关于我们
关于 Suppr公司介绍联系我们用户协议隐私条款
关注我们

Suppr 超能文献

核心技术专利:CN118964589B侵权必究
粤ICP备2023148730 号-1Suppr @ 2026

文献检索

告别复杂PubMed语法,用中文像聊天一样搜索,搜遍4000万医学文献。AI智能推荐,让科研检索更轻松。

立即免费搜索

文件翻译

保留排版,准确专业,支持PDF/Word/PPT等文件格式,支持 12+语言互译。

免费翻译文档

深度研究

AI帮你快速写综述,25分钟生成高质量综述,智能提取关键信息,辅助科研写作。

立即免费体验

以胸膜转移为首发表现的前列腺癌:病例报告及文献复习

Pleural Metastasis as an Initial Presentation of Prostate Cancer: Case Report and Literature Review.

作者信息

Skrobisz Katarzyna, Miszewski Kevin, Miszewska Laura, Bieńkowski Michał, Matuszewski Marcin, Studniarek Michał

机构信息

Department of Radiology, Medical University of Gdańsk, 17 Smoluchowskiego St., 80-214 Gdańsk, Poland.

Department of Urology, Medical University of Gdańsk, 17 Smoluchowskiego St., 80-214 Gdańsk, Poland.

出版信息

Diagnostics (Basel). 2025 Mar 10;15(6):666. doi: 10.3390/diagnostics15060666.

DOI:10.3390/diagnostics15060666
PMID:40150008
原文链接:https://pmc.ncbi.nlm.nih.gov/articles/PMC11940987/
Abstract

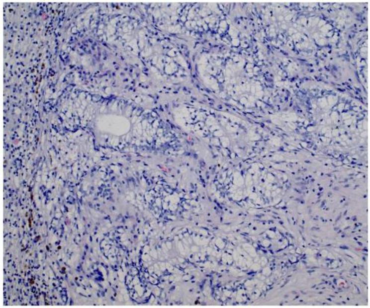
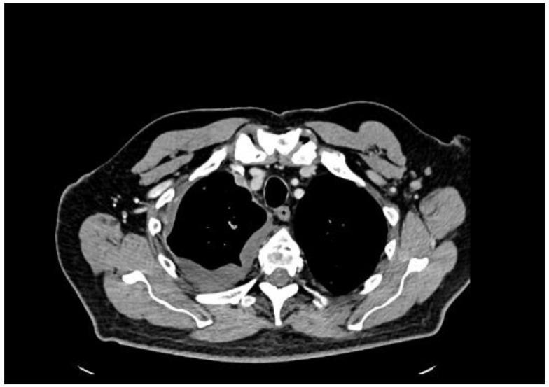
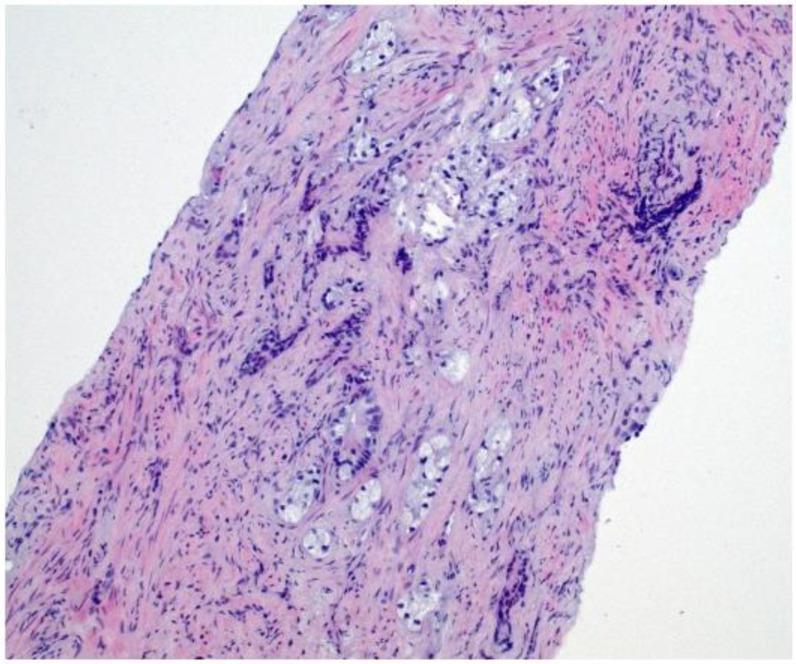
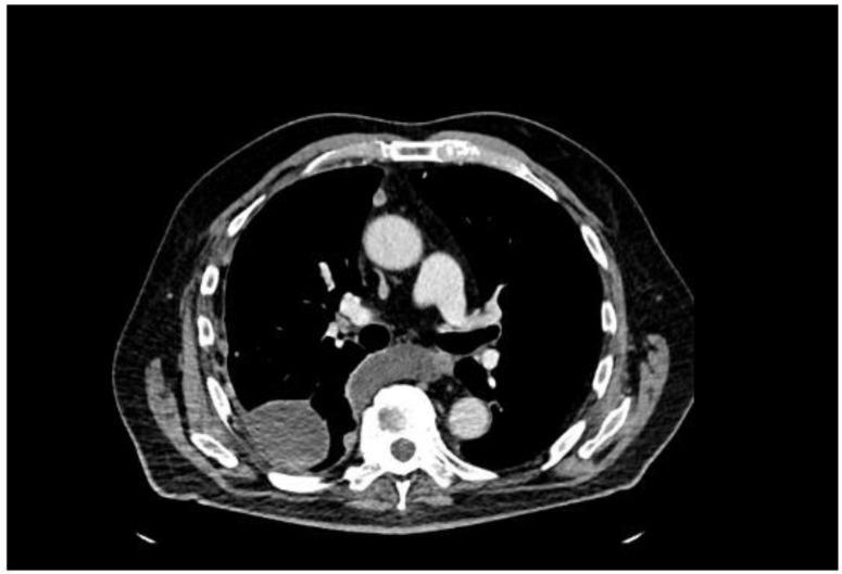
: Prostate cancer (PCa) is among the most commonly diagnosed malignancies in men worldwide. While bone and lymph nodes are the most frequent metastatic sites, prostate cancer cells have the potential to spread to virtually any organ, including the pleura, which is an exceedingly rare initial site of presentation that can mimic mesothelioma or primary lung cancer. : We describe a 77-year-old man who presented with exertional dyspnea and intermittent cough, initially suggesting a cardiopulmonary etiology. Imaging revealed multiple pleural nodules and an extensive right-sided pleural effusion. Despite a borderline serum prostate-specific antigen (PSA) level of 2.91 ng/mL, histopathology and immunohistochemistry of pleural biopsies confirmed metastatic prostate adenocarcinoma. Subsequent imaging identified a PIRADS 5 lesion in the prostate, and a biopsy confirmed ISUP Grade Group 5 disease (Gleason score 4 + 5 = 9). A bone scan showed no skeletal metastases, and a contrast-enhanced CT of the abdomen found no additional metastatic lesions. The patient was started on androgen deprivation therapy followed by abiraterone. This case underscores the diagnostic challenge posed by atypical metastatic presentations of prostate cancer. Low or moderately elevated PSA can obscure suspicion of prostate origin, especially with pleural-based lesions suggestive of mesothelioma. Immunohistochemical markers, including androgen receptors, AMACR, and Prostein, are critical for accurate diagnosis. : Clinicians must maintain a high index of suspicion for prostate cancer in older men with unexplained pleural effusions, nodules, or masses, even with low-normal PSA levels. Early recognition and prompt treatment can improve outcomes, despite the rarity and aggressiveness of pleural metastases.

摘要

前列腺癌(PCa)是全球男性中最常被诊断出的恶性肿瘤之一。虽然骨骼和淋巴结是最常见的转移部位,但前列腺癌细胞实际上有可能扩散到任何器官,包括胸膜,而胸膜是一个极其罕见的初始表现部位,可能会被误诊为间皮瘤或原发性肺癌。

我们描述了一名77岁男性,他出现劳力性呼吸困难和间歇性咳嗽,最初提示心肺病因。影像学检查发现多个胸膜结节和广泛的右侧胸腔积液。尽管血清前列腺特异性抗原(PSA)水平临界为2.91 ng/mL,但胸膜活检的组织病理学和免疫组化结果证实为转移性前列腺腺癌。随后的影像学检查在前列腺中发现了一个PI-RADS 5类病变,活检证实为ISUP 5级组疾病(Gleason评分4 + 5 = 9)。骨扫描显示无骨转移,腹部增强CT未发现其他转移病灶。患者开始接受雄激素剥夺治疗,随后使用阿比特龙。该病例强调了前列腺癌非典型转移表现所带来的诊断挑战。低或中度升高的PSA可能会掩盖对前列腺起源的怀疑,尤其是对于提示间皮瘤的胸膜病变。包括雄激素受体、AMACR和Prostein在内的免疫组化标志物对于准确诊断至关重要。

临床医生必须对有不明原因胸腔积液、结节或肿块的老年男性保持高度的前列腺癌怀疑指数,即使PSA水平处于正常低限。尽管胸膜转移罕见且具有侵袭性,但早期识别和及时治疗可改善预后。

https://cdn.ncbi.nlm.nih.gov/pmc/blobs/960e/11940987/e6a7a0fd45e9/diagnostics-15-00666-g008.jpg
https://cdn.ncbi.nlm.nih.gov/pmc/blobs/960e/11940987/7e283d9fdfd6/diagnostics-15-00666-g001.jpg
https://cdn.ncbi.nlm.nih.gov/pmc/blobs/960e/11940987/099e76894524/diagnostics-15-00666-g002.jpg
https://cdn.ncbi.nlm.nih.gov/pmc/blobs/960e/11940987/51718a0c62bb/diagnostics-15-00666-g003.jpg
https://cdn.ncbi.nlm.nih.gov/pmc/blobs/960e/11940987/afdc6572b162/diagnostics-15-00666-g004.jpg
https://cdn.ncbi.nlm.nih.gov/pmc/blobs/960e/11940987/4b858ab997fa/diagnostics-15-00666-g005.jpg
https://cdn.ncbi.nlm.nih.gov/pmc/blobs/960e/11940987/0c4d511deba8/diagnostics-15-00666-g006.jpg
https://cdn.ncbi.nlm.nih.gov/pmc/blobs/960e/11940987/e58f0e22b9dd/diagnostics-15-00666-g007.jpg
https://cdn.ncbi.nlm.nih.gov/pmc/blobs/960e/11940987/e6a7a0fd45e9/diagnostics-15-00666-g008.jpg
https://cdn.ncbi.nlm.nih.gov/pmc/blobs/960e/11940987/7e283d9fdfd6/diagnostics-15-00666-g001.jpg
https://cdn.ncbi.nlm.nih.gov/pmc/blobs/960e/11940987/099e76894524/diagnostics-15-00666-g002.jpg
https://cdn.ncbi.nlm.nih.gov/pmc/blobs/960e/11940987/51718a0c62bb/diagnostics-15-00666-g003.jpg
https://cdn.ncbi.nlm.nih.gov/pmc/blobs/960e/11940987/afdc6572b162/diagnostics-15-00666-g004.jpg
https://cdn.ncbi.nlm.nih.gov/pmc/blobs/960e/11940987/4b858ab997fa/diagnostics-15-00666-g005.jpg
https://cdn.ncbi.nlm.nih.gov/pmc/blobs/960e/11940987/0c4d511deba8/diagnostics-15-00666-g006.jpg
https://cdn.ncbi.nlm.nih.gov/pmc/blobs/960e/11940987/e58f0e22b9dd/diagnostics-15-00666-g007.jpg
https://cdn.ncbi.nlm.nih.gov/pmc/blobs/960e/11940987/e6a7a0fd45e9/diagnostics-15-00666-g008.jpg

相似文献

1
Pleural Metastasis as an Initial Presentation of Prostate Cancer: Case Report and Literature Review.以胸膜转移为首发表现的前列腺癌:病例报告及文献复习
Diagnostics (Basel). 2025 Mar 10;15(6):666. doi: 10.3390/diagnostics15060666.
2
More advantages in detecting bone and soft tissue metastases from prostate cancer using F-PSMA PET/CT.使用F-PSMA PET/CT检测前列腺癌骨和软组织转移方面有更多优势。
Hell J Nucl Med. 2019 Jan-Apr;22(1):6-9. doi: 10.1967/s002449910952. Epub 2019 Mar 7.
3
Malignant pleural effusion from prostate adenocarcinoma.前列腺腺癌所致恶性胸腔积液。
Respir Med Case Rep. 2014 Aug 1;13:24-5. doi: 10.1016/j.rmcr.2014.04.001. eCollection 2014.
4
Prostate Cancer With Orbital Metastasis.前列腺癌伴眼眶转移
Cureus. 2025 Mar 17;17(3):e80727. doi: 10.7759/cureus.80727. eCollection 2025 Mar.
5
EAU guidelines on prostate cancer. Part II: Treatment of advanced, relapsing, and castration-resistant prostate cancer.EAU 前列腺癌指南。第二部分:晚期、复发性和去势抵抗性前列腺癌的治疗。
Eur Urol. 2014 Feb;65(2):467-79. doi: 10.1016/j.eururo.2013.11.002. Epub 2013 Nov 12.
6
Spread of prostate carcinoma to the perirectal lymph node basin: analysis of 112 rectal resections over a 10-year span for primary rectal adenocarcinoma.前列腺癌向直肠周围淋巴结区域的扩散:对10年间因原发性直肠腺癌行直肠切除术的112例病例的分析。
Am J Surg Pathol. 2004 Sep;28(9):1154-62. doi: 10.1097/01.pas.0000131543.80147.3d.
7
Unusual features of malignant pleural mesothelioma metastatic to the mediastinal lymph nodes.恶性胸膜间皮瘤转移至纵隔淋巴结的不寻常特征。
Appl Immunohistochem Mol Morphol. 2008 May;16(3):301-7. doi: 10.1097/PAI.0b013e3181507893.
8
Prognostic Significance of PSA, Gleason Score, Bone Metastases in Patients with Metastatic Prostate Cancer Under Palliative Androgen Deprivation Treatment.姑息性雄激素剥夺治疗下转移性前列腺癌患者中前列腺特异性抗原、Gleason评分、骨转移的预后意义
J Egypt Natl Canc Inst. 2009 Sep;21(3):229-36.
9
Incidental finding of metastatic prostatic adenocarcinoma of cerebellopontine angle presenting as acoustic neuroma: A case report and review of literature.以听神经瘤形式表现的桥小脑角转移性前列腺腺癌的偶然发现:一例报告并文献复习
Int J Surg Case Rep. 2022 Sep;98:107493. doi: 10.1016/j.ijscr.2022.107493. Epub 2022 Aug 9.
10
Which Way to Choose for the Treatment of Metastatic Prostate Cancer: A Case Report and Literature Review.转移性前列腺癌的治疗该如何选择:一例病例报告及文献综述
Front Oncol. 2021 Apr 26;11:659442. doi: 10.3389/fonc.2021.659442. eCollection 2021.

本文引用的文献

1
Cancer statistics, 2022.癌症统计数据,2022 年。
CA Cancer J Clin. 2022 Jan;72(1):7-33. doi: 10.3322/caac.21708. Epub 2022 Jan 12.
2
Breast Metastasis From Castrate-Resistant Prostatic Adenocarcinoma Mimicking as a Second Primary: A Case Report.去势抵抗性前列腺腺癌伪装成第二原发性肿瘤的乳腺转移:一例报告
World J Oncol. 2020 Feb;11(1):37-40. doi: 10.14740/wjon1258. Epub 2020 Feb 2.
3
Malignant Pleural Effusion from Metastatic Prostate Cancer: A Case Report with Unusual Cytologic Findings.转移性前列腺癌所致恶性胸腔积液:一例伴有不寻常细胞学表现的病例报告
J Pathol Transl Med. 2018 Jul;52(4):257-261. doi: 10.4132/jptm.2018.05.08. Epub 2018 Jun 7.
4
The IMAAGEN Study: Effect of Abiraterone Acetate and Prednisone on Prostate Specific Antigen and Radiographic Disease Progression in Patients with Nonmetastatic Castration Resistant Prostate Cancer.IMAAGEN 研究:醋酸阿比特龙和泼尼松对非转移性去势抵抗性前列腺癌患者前列腺特异性抗原和影像学疾病进展的影响。
J Urol. 2018 Aug;200(2):344-352. doi: 10.1016/j.juro.2018.03.125. Epub 2018 Apr 6.
5
Prognosis of men with penile metastasis and malignant priapism: a systematic review.阴茎转移瘤和恶性阴茎异常勃起男性患者的预后:一项系统评价
Oncotarget. 2017 Dec 18;9(2):2923-2930. doi: 10.18632/oncotarget.23366. eCollection 2018 Jan 5.
6
Case of pleural metastasis of prostate cancer.前列腺癌胸膜转移病例。
Thorac Cancer. 2013 Nov;4(4):465-468. doi: 10.1111/1759-7714.12001.
7
Abiraterone plus Prednisone in Metastatic, Castration-Sensitive Prostate Cancer.阿比特龙联合泼尼松治疗转移性去势敏感性前列腺癌。
N Engl J Med. 2017 Jul 27;377(4):352-360. doi: 10.1056/NEJMoa1704174. Epub 2017 Jun 4.
8
Prostate Cancer: Cases of Rare Presentation and Rare Metastasis.前列腺癌:罕见表现与罕见转移病例
Case Rep Oncol. 2015 Nov 26;8(3):526-9. doi: 10.1159/000442045. eCollection 2015 Sep-Dec.
9
Malignant pleural effusion from prostate adenocarcinoma.前列腺腺癌所致恶性胸腔积液。
Respir Med Case Rep. 2014 Aug 1;13:24-5. doi: 10.1016/j.rmcr.2014.04.001. eCollection 2014.
10
Impact of the Site of Metastases on Survival in Patients with Metastatic Prostate Cancer.转移部位对转移性前列腺癌患者生存的影响。
Eur Urol. 2015 Aug;68(2):325-34. doi: 10.1016/j.eururo.2014.07.020. Epub 2014 Aug 6.