Suppr超能文献

心脏黏液瘤的诊治:一例巨大心房黏液瘤伴栓塞并发症的典型病例

Navigating Cardiac Myxomas: A Compelling Case of a Giant Atrial Myxoma With Embolic Complications.

作者信息

Ramakrishnan Chandra Babu Varshika, Hirurkar Sharwani, Al-Fayyadh Sarah, Desireddygari Omprakash Reddy, Nanjaiah Prakash

机构信息

Department of Cardiothoracic Surgery, University Hospitals of North Midlands National Health Service (NHS) Trust, Stoke-on-Trent, GBR.

出版信息

Cureus. 2025 Apr 6;17(4):e81801. doi: 10.7759/cureus.81801. eCollection 2025 Apr.

Abstract

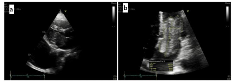
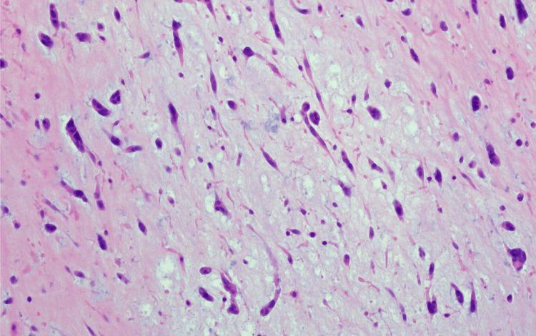
Cardiac myxomas are the most common primary cardiac tumors, predominantly affecting the left atrium and often seen in women aged 30-60. They can present diagnostic and therapeutic challenges, especially in atypical demographics. If left untreated, myxomas can lead to severe morbidity due to embolic events and intracardiac obstruction. Herein, we describe a rare presentation of an exceptionally large left atrial myxoma, emphasizing the clinical, diagnostic, and surgical considerations required to manage such complex cases effectively. A 61-year-old man with a history of poorly controlled hypertension and hyperlipidemia presented with dyspnea, lower extremity edema, and syncope, as an acute manifestation and was found to have a large, mobile mass measuring 9.5 × 4.5 cm in the left atrium, intermittently prolapsing into the mitral valve orifice during diastole on transthoracic echocardiography, with a provisional diagnosis of myxoma. Additionally, a chest computed tomography scan revealed a subsegmental pulmonary embolus, with the left-sided myxoma being the most plausible cause. Given the tumor size and embolic risk, the mass was managed surgically via a median sternotomy approach. Histopathology confirmed a benign cardiac myxoma, characterized by stellate and myxoid cells within a myxomatous stroma. Postoperatively, the patient's symptoms resolved, and a 12-week follow-up echocardiography showed no residual mass. This case underscores the critical importance of considering cardiac myxoma in the differential diagnosis of acute cardiac symptoms, particularly when embolic phenomena are concurrent. The case highlights the necessity for prompt surgical intervention to mitigate the risk of embolic complications and to restore normal hemodynamic function. Despite the benign nature of myxomas, their potential for severe complications necessitates a high index of suspicion and timely intervention.

摘要

心脏黏液瘤是最常见的原发性心脏肿瘤,主要累及左心房,常见于30至60岁的女性。它们可能带来诊断和治疗方面的挑战,尤其是在非典型人群中。如果不进行治疗,黏液瘤可能因栓塞事件和心内梗阻导致严重的发病情况。在此,我们描述一例罕见的巨大左心房黏液瘤病例,强调有效处理此类复杂病例所需的临床、诊断和手术方面的考量。一名61岁男性,有高血压和高脂血症控制不佳的病史,因呼吸困难、下肢水肿和晕厥前来就诊,这些症状为急性表现,经胸超声心动图检查发现左心房有一个大小为9.5×4.5厘米的巨大可移动肿块,在舒张期间歇性脱垂至二尖瓣口,初步诊断为黏液瘤。此外,胸部计算机断层扫描显示有一个亚段性肺栓塞,最可能的原因是左侧黏液瘤。鉴于肿瘤大小和栓塞风险,通过正中胸骨切开术对肿块进行了手术治疗。组织病理学证实为良性心脏黏液瘤,其特征是在黏液瘤性基质内有星状细胞和黏液样细胞。术后,患者症状缓解,12周后的超声心动图随访显示无残留肿块。该病例强调了在急性心脏症状的鉴别诊断中考虑心脏黏液瘤的至关重要性,特别是当同时存在栓塞现象时。该病例突出了及时进行手术干预以降低栓塞并发症风险和恢复正常血流动力学功能的必要性。尽管黏液瘤本质上是良性的,但其发生严重并发症的可能性需要高度怀疑并及时干预。

https://cdn.ncbi.nlm.nih.gov/pmc/blobs/c2e0/12001298/511e41474fd9/cureus-0017-00000081801-i01.jpg

文献AI研究员

20分钟写一篇综述,助力文献阅读效率提升50倍。

立即体验

用中文搜PubMed

大模型驱动的PubMed中文搜索引擎

马上搜索

文档翻译

学术文献翻译模型,支持多种主流文档格式。

立即体验