Suppr超能文献

经内镜超声引导下细针穿刺活检诊断的肺癌直肠转移:一例报告

Rectal metastasis from lung cancer diagnosed by endoscopic ultrasound-guided fine needle biopsy: A case report.

作者信息

Mukawa Shinji, Koya Yudai, Murakami Tomoyuki, Miyagawa Koichiro, Maruno Yuki, Yamaguchi Koki, Hanada Shun, Oe Shinji, Harada Masaru

机构信息

Department of Gastroenterology Kyushu Rosai Hospital Moji Medical Center Fukuoka Japan.

The Third Department of Internal Medicine University of Occupational and Environmental Health Fukuoka Japan.

出版信息

DEN Open. 2025 Apr 29;6(1):e70127. doi: 10.1002/deo2.70127. eCollection 2026 Apr.

Abstract

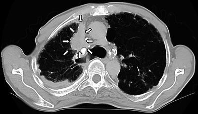
A 73-year-old man visited our hospital due to hyperintestinal peristalsis and diarrhea. He had been undergoing regular annual checkups for dust lung disease. Contrast-enhanced computed tomography scan showed edematous thickening of the rectal wall with contrast effect. A colonoscopy revealed a submucosal tumor-like protrusion in the Rb lesion of the rectum without neoplastic epithelial changes. Forceps biopsies of the overlying mucosa were non-diagnostic; however, endoscopic ultrasound-guided fine needle biopsy revealed that the specimen was poorly differentiated non-small cell invasive carcinoma. Then, we performed a chest computed tomography and a newly detected mass lesion in the upper lobe of the right lung. Based on immunohistochemical analysis and image findings, the patient was diagnosed with rectal metastasis from lung cancer. Subsequently, sputum cytology confirmed the diagnosis of lung adenocarcinoma. Rectal submucosal tumor-like protrusions are occasionally encountered. When a non-exposed rectal tumor is identified, it is important to differentiate metastatic diseases, consider endoscopic ultrasound-guided fine needle biopsy, and make a definitive diagnosis through detailed immunohistochemical evaluation and systemic imaging surveillance.

摘要

一名73岁男性因肠道蠕动亢进和腹泻前来我院就诊。他一直在接受尘肺病的定期年度检查。增强计算机断层扫描显示直肠壁水肿增厚并有造影剂增强效应。结肠镜检查发现直肠Rb病变处有一个黏膜下肿瘤样突起,无肿瘤上皮改变。对覆盖黏膜进行钳取活检未能明确诊断;然而,内镜超声引导下细针穿刺活检显示标本为低分化非小细胞浸润癌。随后,我们进行了胸部计算机断层扫描,在右肺上叶发现了一个新的肿块病变。基于免疫组化分析和影像学检查结果,该患者被诊断为肺癌直肠转移。随后,痰细胞学检查确诊为肺腺癌。直肠黏膜下肿瘤样突起偶尔会遇到。当发现未暴露的直肠肿瘤时,区分转移性疾病、考虑内镜超声引导下细针穿刺活检以及通过详细的免疫组化评估和全身影像学监测做出明确诊断非常重要。

https://cdn.ncbi.nlm.nih.gov/pmc/blobs/563c/12038177/f668e45ddde9/DEO2-6-e70127-g002.jpg

文献检索

告别复杂PubMed语法,用中文像聊天一样搜索,搜遍4000万医学文献。AI智能推荐,让科研检索更轻松。

立即免费搜索

文件翻译

保留排版,准确专业,支持PDF/Word/PPT等文件格式,支持 12+语言互译。

免费翻译文档

深度研究

AI帮你快速写综述,25分钟生成高质量综述,智能提取关键信息,辅助科研写作。

立即免费体验