• 文献检索
  • 文档翻译
  • 深度研究
  • 学术资讯
  • Suppr Zotero 插件Zotero 插件
  • 邀请有礼
  • 套餐&价格
  • 历史记录
应用&插件
Suppr Zotero 插件Zotero 插件浏览器插件Mac 客户端Windows 客户端微信小程序
定价
高级版会员购买积分包购买API积分包
服务
文献检索文档翻译深度研究API 文档MCP 服务
关于我们
关于 Suppr公司介绍联系我们用户协议隐私条款
关注我们

Suppr 超能文献

核心技术专利:CN118964589B侵权必究
粤ICP备2023148730 号-1Suppr @ 2026

文献检索

告别复杂PubMed语法,用中文像聊天一样搜索,搜遍4000万医学文献。AI智能推荐,让科研检索更轻松。

立即免费搜索

文件翻译

保留排版,准确专业,支持PDF/Word/PPT等文件格式,支持 12+语言互译。

免费翻译文档

深度研究

AI帮你快速写综述,25分钟生成高质量综述,智能提取关键信息,辅助科研写作。

立即免费体验

乙酰甘油醚磷酸胆碱(AGEPC)诱导兔急性肺改变的动力学

Kinetics of acetyl glyceryl ether phosphorylcholine (AGEPC)-induced acute lung alterations in the rabbit.

作者信息

McManus L M, Pinckard R N

出版信息

Am J Pathol. 1985 Oct;121(1):55-68.

PMID:4050977
原文链接:https://pmc.ncbi.nlm.nih.gov/articles/PMC1888024/
Abstract

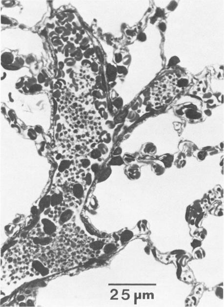
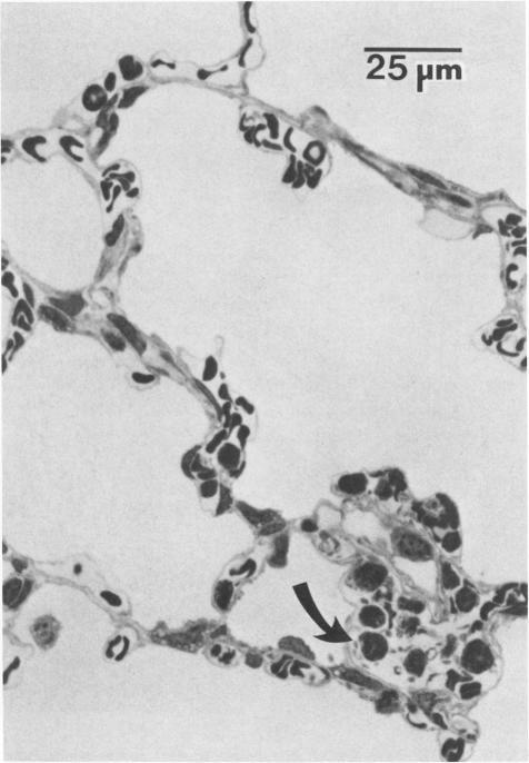
Acetyl glyceryl ether phosphorylcholine (AGEPC; 1-O-hexadecyl-2-acetyl-sn-glyceryl-3-phosphorylcholine) was infused intravenously into rabbits (0.5 micrograms/kg); subsequently, temporal pulmonary alterations were assessed histologically. Within 30 seconds after AGEPC infusion, widespread platelet and neutrophil aggregates were distributed throughout the pulmonary microvasculature. Concomitantly, small muscular arteries and bronchioles throughout the lungs were contracted. Five minutes after AGEPC infusion, intravascular pulmonary platelet aggregates were less frequent and smaller than those observed at 30 seconds after infusion; however, AGEPC-induced pulmonary neutrophil sequestration persisted. Moreover, at this time, large mononucleated cells and damaged endothelial cells were prevalent throughout the pulmonary microvasculature. Sixty minutes after infusion, neither platelet aggregates nor arterial or bronchiolar constriction was observed. However, in most animals, neutrophils and large mononucleated cells were still abundant, and focal endothelial cell alterations persisted. In addition, discrete areas of interstitial hemorrhage around small and medium-sized arteries were present. These studies suggest that the intravascular release of AGEPC could initiate significant pulmonary injury and therefore could be an important etiologic factor in the development of inflammatory lung diseases.

摘要

将乙酰甘油醚磷酸胆碱(AGEPC;1-O-十六烷基-2-乙酰基-sn-甘油-3-磷酸胆碱)以0.5微克/千克的剂量静脉注射到兔子体内;随后,通过组织学评估肺部随时间的变化。在注入AGEPC后30秒内,广泛的血小板和中性粒细胞聚集体分布在整个肺微血管系统中。与此同时,肺部各处的小肌性动脉和细支气管收缩。注入AGEPC后5分钟,血管内肺血小板聚集体比注入后30秒时更不频繁且更小;然而,AGEPC诱导的肺中性粒细胞滞留持续存在。此外,此时,大单核细胞和受损内皮细胞在整个肺微血管系统中普遍存在。注入后60分钟,未观察到血小板聚集体或动脉或细支气管收缩。然而,在大多数动物中,中性粒细胞和大单核细胞仍然大量存在,局部内皮细胞改变持续存在。此外,在中小动脉周围存在离散的间质出血区域。这些研究表明,AGEPC的血管内释放可引发严重的肺损伤,因此可能是炎症性肺病发展的重要病因。

https://cdn.ncbi.nlm.nih.gov/pmc/blobs/1149/1888024/6aa49a4224bb/amjpathol00163-0073-b.jpg
https://cdn.ncbi.nlm.nih.gov/pmc/blobs/1149/1888024/a4badb7a7db0/amjpathol00163-0071-a.jpg
https://cdn.ncbi.nlm.nih.gov/pmc/blobs/1149/1888024/8be7eea6f87b/amjpathol00163-0069-a.jpg
https://cdn.ncbi.nlm.nih.gov/pmc/blobs/1149/1888024/b49a268fa6fb/amjpathol00163-0065-a.jpg
https://cdn.ncbi.nlm.nih.gov/pmc/blobs/1149/1888024/3010d2b9e1ac/amjpathol00163-0065-b.jpg
https://cdn.ncbi.nlm.nih.gov/pmc/blobs/1149/1888024/752154edd2f7/amjpathol00163-0066-a.jpg
https://cdn.ncbi.nlm.nih.gov/pmc/blobs/1149/1888024/f0a71866d2c4/amjpathol00163-0067-a.jpg
https://cdn.ncbi.nlm.nih.gov/pmc/blobs/1149/1888024/1928236d40d8/amjpathol00163-0068-a.jpg
https://cdn.ncbi.nlm.nih.gov/pmc/blobs/1149/1888024/fb93ba0ebea2/amjpathol00163-0070-a.jpg
https://cdn.ncbi.nlm.nih.gov/pmc/blobs/1149/1888024/52e8b423c879/amjpathol00163-0070-b.jpg
https://cdn.ncbi.nlm.nih.gov/pmc/blobs/1149/1888024/dc503724e67e/amjpathol00163-0072-a.jpg
https://cdn.ncbi.nlm.nih.gov/pmc/blobs/1149/1888024/c0cbac372ea1/amjpathol00163-0072-b.jpg
https://cdn.ncbi.nlm.nih.gov/pmc/blobs/1149/1888024/8a926441eb89/amjpathol00163-0073-a.jpg
https://cdn.ncbi.nlm.nih.gov/pmc/blobs/1149/1888024/6aa49a4224bb/amjpathol00163-0073-b.jpg
https://cdn.ncbi.nlm.nih.gov/pmc/blobs/1149/1888024/a4badb7a7db0/amjpathol00163-0071-a.jpg
https://cdn.ncbi.nlm.nih.gov/pmc/blobs/1149/1888024/8be7eea6f87b/amjpathol00163-0069-a.jpg
https://cdn.ncbi.nlm.nih.gov/pmc/blobs/1149/1888024/b49a268fa6fb/amjpathol00163-0065-a.jpg
https://cdn.ncbi.nlm.nih.gov/pmc/blobs/1149/1888024/3010d2b9e1ac/amjpathol00163-0065-b.jpg
https://cdn.ncbi.nlm.nih.gov/pmc/blobs/1149/1888024/752154edd2f7/amjpathol00163-0066-a.jpg
https://cdn.ncbi.nlm.nih.gov/pmc/blobs/1149/1888024/f0a71866d2c4/amjpathol00163-0067-a.jpg
https://cdn.ncbi.nlm.nih.gov/pmc/blobs/1149/1888024/1928236d40d8/amjpathol00163-0068-a.jpg
https://cdn.ncbi.nlm.nih.gov/pmc/blobs/1149/1888024/fb93ba0ebea2/amjpathol00163-0070-a.jpg
https://cdn.ncbi.nlm.nih.gov/pmc/blobs/1149/1888024/52e8b423c879/amjpathol00163-0070-b.jpg
https://cdn.ncbi.nlm.nih.gov/pmc/blobs/1149/1888024/dc503724e67e/amjpathol00163-0072-a.jpg
https://cdn.ncbi.nlm.nih.gov/pmc/blobs/1149/1888024/c0cbac372ea1/amjpathol00163-0072-b.jpg
https://cdn.ncbi.nlm.nih.gov/pmc/blobs/1149/1888024/8a926441eb89/amjpathol00163-0073-a.jpg
https://cdn.ncbi.nlm.nih.gov/pmc/blobs/1149/1888024/6aa49a4224bb/amjpathol00163-0073-b.jpg

相似文献

1
Kinetics of acetyl glyceryl ether phosphorylcholine (AGEPC)-induced acute lung alterations in the rabbit.乙酰甘油醚磷酸胆碱(AGEPC)诱导兔急性肺改变的动力学
Am J Pathol. 1985 Oct;121(1):55-68.
2
Acetyl glyceryl ether phosphorylcholine-stimulated human platelets cause pulmonary hypertension and edema in isolated rabbit lungs. Role of thromboxane A2.乙酰甘油醚磷酸胆碱刺激的人血小板可导致离体兔肺出现肺动脉高压和水肿。血栓素A2的作用。
J Clin Invest. 1983 Feb;71(2):351-7. doi: 10.1172/jci110776.
3
Acetyl glyceryl ether phosphorylcholine. Intravascular alterations following intravenous infusion into the baboon.乙酰甘油醚磷酸胆碱。静脉输注狒狒后的血管内变化。
Lab Invest. 1981 Oct;45(4):303-7.
4
Ontogeny of the responsiveness to intravenous platelet-activating factor.
Lab Invest. 1987 Sep;57(3):321-8.
5
Intravascular pathobiology of acetyl glyceryl ether phosphorylcholine (AGEPC), a synthetic platelet-activating factor (PAF). I. Intravenous infusion in guinea pigs.乙酰甘油醚磷酸胆碱(AGEPC,一种合成的血小板活化因子(PAF))的血管内病理生物学。I. 豚鼠静脉输注。
Immunol Lett. 1981 Aug;3(3):133-5.
6
Thromboxane B2 (TxB2) release following acetyl glyceryl ether phosphorylcholine (AGEPC) infusion in the rabbit.兔子输注乙酰甘油醚磷酸胆碱(AGEPC)后血栓素B2(TxB2)的释放。
Immunopharmacology. 1983 Feb;5(3):197-207. doi: 10.1016/0162-3109(83)90027-9.
7
Participation of platelets in the physiologic alterations of the AGEPC response and of IgE anaphylaxis in the rabbit. Effects of PGI2 inhibition of platelet function.
Am Rev Respir Dis. 1985 Jan;131(1):11-7. doi: 10.1164/arrd.1985.131.1.11.
8
Differential effects of platelet depletion on the physiologic alterations of IgE anaphylaxis and acetyl glyceryl ether phosphorylcholine infusion in the rabbit.血小板减少对兔IgE过敏反应和乙酰甘油醚磷酸胆碱输注的生理改变的不同影响。
Am Rev Respir Dis. 1981 Oct;124(4):416-21. doi: 10.1164/arrd.1981.124.4.416.
9
Morphologic basis of increased vascular permeability induced by acetyl glyceryl ether phosphorylcholine.乙酰甘油醚磷酸胆碱诱导血管通透性增加的形态学基础
Lab Invest. 1984 Jan;50(1):16-25.
10
Pathobiology of the intravenous infusion of acetyl glyceryl ether phosphorylcholine (AGEPC), a synthetic platelet-activating factor (PAF), in the rabbit.合成血小板活化因子(PAF)乙酰甘油醚磷酸胆碱(AGEPC)静脉输注在兔体内的病理生物学研究
J Immunol. 1980 Jun;124(6):2919-24.

引用本文的文献

1
Platelet-activating factor: a mediator of pancreatic inflammation during cerulein hyperstimulation.血小板活化因子:蛙皮素过度刺激时胰腺炎症的介质。
Am J Pathol. 1993 May;142(5):1504-12.
2
Provocation of pulmonary vascular endothelial injury in rabbits by human recombinant interleukin-1 beta.用人重组白细胞介素-1β诱导兔肺血管内皮损伤
Infect Immun. 1988 Sep;56(9):2255-63. doi: 10.1128/iai.56.9.2255-2263.1988.
3
Lung injury mediated by antibodies to endothelium. II. Study of the effect of repeated antigen-antibody interactions in rabbits tolerant to heterologous antibody.

本文引用的文献

1
Phosphorus assay in column chromatography.柱色谱法中的磷测定
J Biol Chem. 1959 Mar;234(3):466-8.
2
Respiratory and circulatory alterations induced by acetyl glyceryl ether phosphorylcholine, a mediator of IgE anaphylaxis in the rabbit.乙酰甘油醚磷酸胆碱(一种兔IgE过敏反应介质)引起的呼吸和循环系统改变。
Am Rev Respir Dis. 1980 Dec;122(6):915-24. doi: 10.1164/arrd.1980.122.6.915.
3
Novel effects of 1-O-hexadecyl-2-acyl-sn-glycero-3-phosphorycholine mediators on human leukocyte function: delineation of the specific roles of the acyl substituents.
由抗内皮细胞抗体介导的肺损伤。II. 对耐受异源抗体的家兔反复进行抗原-抗体相互作用的效果研究。
Am J Pathol. 1987 May;127(2):216-28.
4
Experimental acute pancreatitis induced by platelet activating factor in rabbits.血小板活化因子诱导的兔实验性急性胰腺炎
Am J Pathol. 1989 Feb;134(2):315-26.
5
Role of platelet-activating factor in the reperfusion injury of rabbit ischemic heart.血小板活化因子在兔缺血性心脏再灌注损伤中的作用。
Am J Pathol. 1990 Jul;137(1):71-83.
6
Platelet activating factor induced respiratory mucosal damage.血小板活化因子诱导呼吸道黏膜损伤。
Lipids. 1991 Dec;26(12):1287-91. doi: 10.1007/BF02536550.
7
Mechanism of action of platelet activating factor in the pulmonary circulation: an investigation using a novel isotopic system in rabbit isolated lung.血小板活化因子在肺循环中的作用机制:一项使用新型同位素系统对兔离体肺进行的研究。
Br J Pharmacol. 1991 Sep;104(1):251-7. doi: 10.1111/j.1476-5381.1991.tb12415.x.
8
Effects of platelet-activating factor on vascular permeability and granulocyte recruitment in the rat trachea.血小板活化因子对大鼠气管血管通透性和粒细胞募集的影响。
Lung. 1991;169(2):109-19. doi: 10.1007/BF02714148.
9
Role of platelet-activating factor in pancreatitis-associated acute lung injury in the rat.血小板活化因子在大鼠胰腺炎相关性急性肺损伤中的作用
Am J Pathol. 1992 Apr;140(4):971-9.
1-十六烷基-2-酰基-sn-甘油-3-磷酸胆碱介质对人白细胞功能的新作用:酰基取代基特定作用的描述
Biochem Biophys Res Commun. 1980 Jun 16;94(3):881-8. doi: 10.1016/0006-291x(80)91317-0.
4
A differential effect of C5a and C5a des Arg in the induction of pulmonary inflammation.C5a与C5a去精氨酸产物在诱导肺部炎症方面的差异效应。
Am J Pathol. 1980 Jul;100(1):179-92.
5
Lung inflammation induced by complement-derived chemotactic fragments in the alveolus.补体衍生的趋化片段在肺泡中诱导的肺部炎症。
Lab Invest. 1980 May;42(5):547-58.
6
Pathobiology of the intravenous infusion of acetyl glyceryl ether phosphorylcholine (AGEPC), a synthetic platelet-activating factor (PAF), in the rabbit.合成血小板活化因子(PAF)乙酰甘油醚磷酸胆碱(AGEPC)静脉输注在兔体内的病理生物学研究
J Immunol. 1980 Jun;124(6):2919-24.
7
Acetyl glyceryl ether phosphorylcholine. Intravascular alterations following intravenous infusion into the baboon.乙酰甘油醚磷酸胆碱。静脉输注狒狒后的血管内变化。
Lab Invest. 1981 Oct;45(4):303-7.
8
Differential effects of platelet depletion on the physiologic alterations of IgE anaphylaxis and acetyl glyceryl ether phosphorylcholine infusion in the rabbit.血小板减少对兔IgE过敏反应和乙酰甘油醚磷酸胆碱输注的生理改变的不同影响。
Am Rev Respir Dis. 1981 Oct;124(4):416-21. doi: 10.1164/arrd.1981.124.4.416.
9
Contraction of guinea pig ileal smooth muscle by acetyl glyceryl ether phosphorylcholine.乙酰甘油醚磷酸胆碱对豚鼠回肠平滑肌的收缩作用。
Am J Physiol. 1981 Sep;241(3):C130-3. doi: 10.1152/ajpcell.1981.241.3.C130.
10
1-O-Alkyl-sn-glyceryl-3-phosphorylcholines: a novel class of neutrophil stimulants.1-O-烷基-sn-甘油-3-磷酸胆碱:一类新型的中性粒细胞刺激剂。
Am J Pathol. 1981 Apr;103(1):70-8.