• 文献检索
  • 文档翻译
  • 深度研究
  • 学术资讯
  • Suppr Zotero 插件Zotero 插件
  • 邀请有礼
  • 套餐&价格
  • 历史记录
应用&插件
Suppr Zotero 插件Zotero 插件浏览器插件Mac 客户端Windows 客户端微信小程序
定价
高级版会员购买积分包购买API积分包
服务
文献检索文档翻译深度研究API 文档MCP 服务
关于我们
关于 Suppr公司介绍联系我们用户协议隐私条款
关注我们

Suppr 超能文献

核心技术专利:CN118964589B侵权必究
粤ICP备2023148730 号-1Suppr @ 2026

文献检索

告别复杂PubMed语法,用中文像聊天一样搜索,搜遍4000万医学文献。AI智能推荐,让科研检索更轻松。

立即免费搜索

文件翻译

保留排版,准确专业,支持PDF/Word/PPT等文件格式,支持 12+语言互译。

免费翻译文档

深度研究

AI帮你快速写综述,25分钟生成高质量综述,智能提取关键信息,辅助科研写作。

立即免费体验

时空性的HO闪光协调肌动蛋白细胞骨架重塑,并调节细胞迁移和伤口愈合。

Spatiotemporal HO flashes coordinate actin cytoskeletal remodeling and regulate cell migration and wound healing.

作者信息

O'Mara Maurice, Zhang Suisheng, Knaus Ulla G

机构信息

Conway Institute, School of Medicine, University College Dublin, Dublin, Ireland.

出版信息

Nat Commun. 2025 Jul 25;16(1):6868. doi: 10.1038/s41467-025-62272-1.

DOI:10.1038/s41467-025-62272-1
PMID:40715145
原文链接:https://pmc.ncbi.nlm.nih.gov/articles/PMC12297405/
Abstract

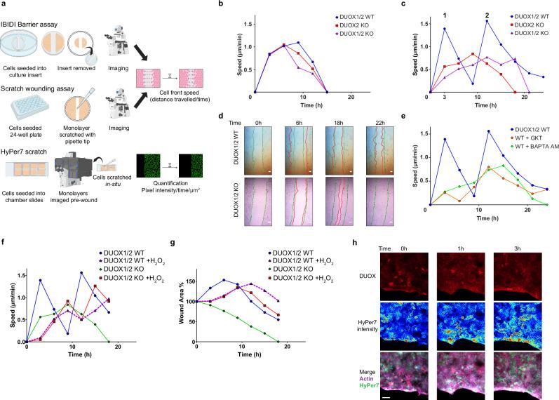
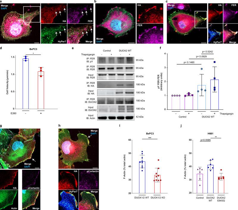
Well-organized repair of damaged barrier epithelia is vital for infection control, resolution of inflammation, and enduring physical protection. Cysteine thiol and methionine oxidation are connected to cytoskeletal rearrangements in cell migration and wound healing, but how localized redox signaling is achieved to regulate dynamic processes remains elusive. Here, we identify DUOX2, a mucosal barrier NADPH oxidase, as vesicle-incorporated HO source, localizing to sites of cytoskeletal reorganization, and facilitating tunneling nanotube and lamellipodia formation. Using traceable fluorescent DUOX2 and the membrane-bound HO sensor HyPer7-MEM enabled insight into DUOX2 vesicle trafficking and HO generation at sites of actin polymerization and dynamic remodeling. Stable expression or ablation confirmed DUOX2 generated HO as a catalyst for cell-cell connections, random motility and directed migration. We identify a signaling axis from the mechanosensor PIEZO1 to DUOX2 and FER tyrosine kinase activation to initiate retraction wave-mediated efficient wound closure in epithelial cells, a prerequisite for barrier integrity.

摘要

受损屏障上皮组织的有序修复对于控制感染、消除炎症和提供持久的物理保护至关重要。半胱氨酸硫醇和甲硫氨酸氧化与细胞迁移和伤口愈合过程中的细胞骨架重排有关,但局部氧化还原信号如何实现以调节动态过程仍不清楚。在这里,我们确定了DUOX2,一种粘膜屏障NADPH氧化酶,作为囊泡结合的HO来源,定位于细胞骨架重组部位,并促进隧道纳米管和片状伪足的形成。使用可追踪的荧光DUOX2和膜结合的HO传感器HyPer7-MEM能够深入了解DUOX2囊泡运输以及肌动蛋白聚合和动态重塑部位的HO生成。稳定表达或敲除证实DUOX2产生HO作为细胞间连接、随机运动和定向迁移的催化剂。我们确定了一个从机械传感器PIEZO1到DUOX2以及FER酪氨酸激酶激活的信号轴,以启动回缩波介导的上皮细胞高效伤口闭合,这是屏障完整性的先决条件。

https://cdn.ncbi.nlm.nih.gov/pmc/blobs/eac6/12297405/cbf769eb16f8/41467_2025_62272_Fig7_HTML.jpg
https://cdn.ncbi.nlm.nih.gov/pmc/blobs/eac6/12297405/ff052cf4f8c8/41467_2025_62272_Fig1_HTML.jpg
https://cdn.ncbi.nlm.nih.gov/pmc/blobs/eac6/12297405/0d052d61ac29/41467_2025_62272_Fig2_HTML.jpg
https://cdn.ncbi.nlm.nih.gov/pmc/blobs/eac6/12297405/9523d236e977/41467_2025_62272_Fig3_HTML.jpg
https://cdn.ncbi.nlm.nih.gov/pmc/blobs/eac6/12297405/992ed21851c5/41467_2025_62272_Fig4_HTML.jpg
https://cdn.ncbi.nlm.nih.gov/pmc/blobs/eac6/12297405/8c4d9f2da26f/41467_2025_62272_Fig5_HTML.jpg
https://cdn.ncbi.nlm.nih.gov/pmc/blobs/eac6/12297405/e2d8a3de7cd3/41467_2025_62272_Fig6_HTML.jpg
https://cdn.ncbi.nlm.nih.gov/pmc/blobs/eac6/12297405/cbf769eb16f8/41467_2025_62272_Fig7_HTML.jpg
https://cdn.ncbi.nlm.nih.gov/pmc/blobs/eac6/12297405/ff052cf4f8c8/41467_2025_62272_Fig1_HTML.jpg
https://cdn.ncbi.nlm.nih.gov/pmc/blobs/eac6/12297405/0d052d61ac29/41467_2025_62272_Fig2_HTML.jpg
https://cdn.ncbi.nlm.nih.gov/pmc/blobs/eac6/12297405/9523d236e977/41467_2025_62272_Fig3_HTML.jpg
https://cdn.ncbi.nlm.nih.gov/pmc/blobs/eac6/12297405/992ed21851c5/41467_2025_62272_Fig4_HTML.jpg
https://cdn.ncbi.nlm.nih.gov/pmc/blobs/eac6/12297405/8c4d9f2da26f/41467_2025_62272_Fig5_HTML.jpg
https://cdn.ncbi.nlm.nih.gov/pmc/blobs/eac6/12297405/e2d8a3de7cd3/41467_2025_62272_Fig6_HTML.jpg
https://cdn.ncbi.nlm.nih.gov/pmc/blobs/eac6/12297405/cbf769eb16f8/41467_2025_62272_Fig7_HTML.jpg

相似文献

1
Spatiotemporal HO flashes coordinate actin cytoskeletal remodeling and regulate cell migration and wound healing.时空性的HO闪光协调肌动蛋白细胞骨架重塑,并调节细胞迁移和伤口愈合。
Nat Commun. 2025 Jul 25;16(1):6868. doi: 10.1038/s41467-025-62272-1.
2
Actin Filament and Cell Orientation Align with Surface Acoustic Wave Propagation and Cell Migration in Vibration-Enhanced Wound Healing.在振动增强的伤口愈合过程中,肌动蛋白丝和细胞取向与表面声波传播及细胞迁移保持一致。
ACS Appl Mater Interfaces. 2025 Jul 2;17(26):37586-37600. doi: 10.1021/acsami.5c05933. Epub 2025 Jun 23.
3
Bioelectric Signaling: Role of Bioelectricity in Directional Cell Migration in Wound Healing.生物电信号:生物电在创伤愈合中定向细胞迁移中的作用。
Cold Spring Harb Perspect Biol. 2022 Oct 3;14(10):a041236. doi: 10.1101/cshperspect.a041236.
4
Cytochalasins Suppress 3D Migration of ECM-Embedded Tumoroids at Non-Toxic Concentrations.细胞松弛素在无毒浓度下抑制嵌入细胞外基质的类肿瘤细胞的三维迁移。
Int J Mol Sci. 2025 Jul 21;26(14):7021. doi: 10.3390/ijms26147021.
5
NADPH oxidases: redox regulation of cell homeostasis and disease.烟酰胺腺嘌呤二核苷酸磷酸氧化酶:细胞稳态与疾病的氧化还原调节
Physiol Rev. 2025 Jul 1;105(3):1291-1428. doi: 10.1152/physrev.00034.2023. Epub 2025 Jan 15.
6
Apoptosis recognition receptors regulate skin tissue repair in mice.凋亡识别受体调节小鼠皮肤组织修复。
Elife. 2023 Dec 21;12:e86269. doi: 10.7554/eLife.86269.
7
Separation of Dual Oxidase 2 and Lactoperoxidase Expression in Intestinal Crypts and Species Differences May Limit Hydrogen Peroxide Scavenging During Mucosal Healing in Mice and Humans.肠隐窝中双氧化酶 2 和乳过氧化物酶表达的分离及其种属差异可能限制了在小鼠和人类黏膜愈合过程中对过氧化氢的清除。
Inflamm Bowel Dis. 2017 Dec 19;24(1):136-148. doi: 10.1093/ibd/izx024.
8
Inhibitor of DNA-Binding 3 Is a Novel Regulator of Limbal Epithelial Cell Migration Via the EphA2/Akt Signaling Pathway.DNA结合抑制因子3是通过EphA2/Akt信号通路调控角膜缘上皮细胞迁移的新型调节因子。
Invest Ophthalmol Vis Sci. 2025 Jul 1;66(9):2. doi: 10.1167/iovs.66.9.2.
9
ARHGAP29 promotes keratinocyte proliferation and migration in vitro and is dispensable for in vivo wound healing.ARHGAP29在体外促进角质形成细胞的增殖和迁移,且对体内伤口愈合并非必需。
Dev Dyn. 2025 Apr;254(4):310-329. doi: 10.1002/dvdy.759. Epub 2024 Nov 19.
10
Molecular counting of myosin force generators in growing filopodia.生长丝状伪足中肌球蛋白力产生器的分子计数
J Biol Chem. 2024 Dec;300(12):107934. doi: 10.1016/j.jbc.2024.107934. Epub 2024 Oct 28.

本文引用的文献

1
Endoplasmic reticulum-plasma membrane contact gradients direct cell migration.内质网-质膜接触梯度指导细胞迁移。
Nature. 2024 Jul;631(8020):415-423. doi: 10.1038/s41586-024-07527-5. Epub 2024 Jun 12.
2
Piezo1 and its inhibitors: Overview and perspectives.压电蛋白 1 及其抑制剂:概述与展望。
Eur J Med Chem. 2024 Jul 5;273:116502. doi: 10.1016/j.ejmech.2024.116502. Epub 2024 May 14.
3
Cortactin stabilizes actin branches by bridging activated Arp2/3 to its nucleated actin filament.桩蛋白通过将活化的 Arp2/3 桥接到其成核的肌动蛋白丝上来稳定肌动蛋白分支。
Nat Struct Mol Biol. 2024 May;31(5):801-809. doi: 10.1038/s41594-023-01205-2. Epub 2024 Jan 24.
4
Nox1-based NADPH oxidase regulates the Par protein complex activity to control cell polarization.基于Nox1的NADPH氧化酶调节Par蛋白复合体活性以控制细胞极化。
Front Cell Dev Biol. 2023 Aug 11;11:1231489. doi: 10.3389/fcell.2023.1231489. eCollection 2023.
5
ROS are evolutionary conserved cell-to-cell stress signals.ROS 是进化上保守的细胞间应激信号。
Proc Natl Acad Sci U S A. 2023 Aug;120(31):e2305496120. doi: 10.1073/pnas.2305496120. Epub 2023 Jul 26.
6
Dissecting the role of the NADPH oxidase NOX4 in TGF-beta signaling in hepatocellular carcinoma.解析 NADPH 氧化酶 NOX4 在肝癌中 TGF-β 信号转导中的作用。
Redox Biol. 2023 Sep;65:102818. doi: 10.1016/j.redox.2023.102818. Epub 2023 Jul 13.
7
MICAL-mediated oxidation of actin and its effects on cytoskeletal and cellular dynamics.MICAL介导的肌动蛋白氧化及其对细胞骨架和细胞动力学的影响。
Front Cell Dev Biol. 2023 Feb 17;11:1124202. doi: 10.3389/fcell.2023.1124202. eCollection 2023.
8
Functional interactions between NADPH oxidase 5 and actin.NADPH氧化酶5与肌动蛋白之间的功能相互作用。
Front Cell Dev Biol. 2023 Jan 26;11:1116833. doi: 10.3389/fcell.2023.1116833. eCollection 2023.
9
NADPH oxidase 4 is dispensable for skin myofibroblast differentiation and wound healing.NADPH 氧化酶 4 对于皮肤肌成纤维细胞的分化和伤口愈合并非必不可少。
Redox Biol. 2023 Apr;60:102609. doi: 10.1016/j.redox.2023.102609. Epub 2023 Jan 13.
10
Piezo acts as a molecular brake on wound closure to ensure effective inflammation and maintenance of epithelial integrity.压电作用作为分子制动器,在伤口闭合过程中确保有效的炎症反应和上皮完整性的维持。
Curr Biol. 2022 Aug 22;32(16):3584-3592.e4. doi: 10.1016/j.cub.2022.06.041. Epub 2022 Jul 13.