• 文献检索
  • 文档翻译
  • 深度研究
  • 学术资讯
  • Suppr Zotero 插件Zotero 插件
  • 邀请有礼
  • 套餐&价格
  • 历史记录
应用&插件
Suppr Zotero 插件Zotero 插件浏览器插件Mac 客户端Windows 客户端微信小程序
定价
高级版会员购买积分包购买API积分包
服务
文献检索文档翻译深度研究API 文档MCP 服务
关于我们
关于 Suppr公司介绍联系我们用户协议隐私条款
关注我们

Suppr 超能文献

核心技术专利:CN118964589B侵权必究
粤ICP备2023148730 号-1Suppr @ 2026

文献检索

告别复杂PubMed语法,用中文像聊天一样搜索,搜遍4000万医学文献。AI智能推荐,让科研检索更轻松。

立即免费搜索

文件翻译

保留排版,准确专业,支持PDF/Word/PPT等文件格式,支持 12+语言互译。

免费翻译文档

深度研究

AI帮你快速写综述,25分钟生成高质量综述,智能提取关键信息,辅助科研写作。

立即免费体验

牛过敏性肺炎的免疫荧光研究。

Immunofluorescent studies of bovine hypersensitivity pneumonitis.

作者信息

Wilkie B N, Gygax M, Pauli B

出版信息

Can J Comp Med. 1974 Oct;38(4):475-9.

PMID:4279766
原文链接:https://pmc.ncbi.nlm.nih.gov/articles/PMC1319853/
Abstract

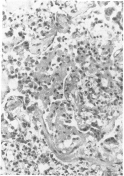
Antigens of Micropolyspora faeni were located by immunofluorescence in apparent association with alveolar macrophages within sections of lung from cases of bovine interstitial pneumonia. Pretreatment of frozen sections with pH 2.8 glycine-HC1 buffer was a necessary prerequisite for specific staining. Bovine immunoglobulin and bovine complement were identified in similar locations.

摘要

通过免疫荧光法在患牛间质性肺炎病例的肺切片中发现,微小多孢菌抗原明显与肺泡巨噬细胞相关。用pH 2.8甘氨酸 - 盐酸缓冲液预处理冰冻切片是特异性染色的必要前提。在相似位置鉴定出牛免疫球蛋白和牛补体。

https://cdn.ncbi.nlm.nih.gov/pmc/blobs/f951/1319853/980eea0b6c47/compmed00048-0138-a.jpg
https://cdn.ncbi.nlm.nih.gov/pmc/blobs/f951/1319853/8bc34dab4d81/compmed00048-0136-a.jpg
https://cdn.ncbi.nlm.nih.gov/pmc/blobs/f951/1319853/35247f9809ab/compmed00048-0137-a.jpg
https://cdn.ncbi.nlm.nih.gov/pmc/blobs/f951/1319853/980eea0b6c47/compmed00048-0138-a.jpg
https://cdn.ncbi.nlm.nih.gov/pmc/blobs/f951/1319853/8bc34dab4d81/compmed00048-0136-a.jpg
https://cdn.ncbi.nlm.nih.gov/pmc/blobs/f951/1319853/35247f9809ab/compmed00048-0137-a.jpg
https://cdn.ncbi.nlm.nih.gov/pmc/blobs/f951/1319853/980eea0b6c47/compmed00048-0138-a.jpg

相似文献

1
Immunofluorescent studies of bovine hypersensitivity pneumonitis.牛过敏性肺炎的免疫荧光研究。
Can J Comp Med. 1974 Oct;38(4):475-9.
2
Use of a monoclonal antibody in the diagnosis of infection by Dermatophilus congolensis.一种单克隆抗体在刚果嗜皮菌感染诊断中的应用。
Res Vet Sci. 1988 Nov;45(3):416-7.
3
Histopathological and immunohistological changes in the rabbit lung after experimental exposure to a purified enzyme of Micropolyspora faeni.实验性暴露于费氏小多孢菌纯化酶后兔肺的组织病理学和免疫组织学变化
Clin Exp Immunol. 1977 Jun;28(3):535-41.
4
Hypersensitivity pneumonitis: experimental production in calves with antigens of Micropolyspora faeni.过敏性肺炎:用嗜热放线菌抗原在犊牛中进行实验性诱发。
Can J Comp Med. 1976 Jul;40(3):221-7.
5
Primary and secondary humoral immune responses in cattle experimentally infected with Dermatophilus congolensis.
Bull Anim Health Prod Afr. 1981 Mar;29(1):19-23.
6
Detection of Dermatophilus congolensis antibody in the milk of streptothricosis infected cows.
Res Vet Sci. 1981 May;30(3):374-5.
7
Bovine allergic pneumonitis: an acute outbreak associated with mouldy hay.牛过敏性肺炎:与发霉干草相关的急性暴发。
Can J Comp Med. 1978 Jan;42(1):10-5.
8
Experimental hypersensitivity pneumonitis. Humoral and cell-mediated immune response of cattle to Micropolyspora faeni and clinical response to aerosol challenge.
Int Arch Allergy Appl Immunol. 1976;50(3):359-73.
9
Prolonged exposure to M. faeni in strain II guinea-pigs: pulmonary interstitial inflammation.II型豚鼠长时间暴露于粉尘螨:肺间质炎症。
Br J Exp Pathol. 1987 Oct;68(5):743-54.
10
The effect of complement depletion on hypersensitivity pneumonitis lesions induced by Micropolyspora faeni antigen.
Clin Allergy. 1981 Mar;11(2):131-7. doi: 10.1111/j.1365-2222.1981.tb01576.x.

引用本文的文献

1
Criteria for development of animal models of diseases of the respiratory system: the comparative approach in respiratory disease model development.呼吸系统疾病动物模型的建立标准:呼吸系统疾病模型建立中的比较方法
Am J Pathol. 1980 Dec;101(3 Suppl):S103-22.
2
Immunohistochemical techniques and their applications in the histopathology of the respiratory system.免疫组织化学技术及其在呼吸系统组织病理学中的应用。
Environ Health Perspect. 1984 Jun;56:131-48. doi: 10.1289/ehp.8456131.
3
Hypersensitivity pneumonitis: experimental production in calves with antigens of Micropolyspora faeni.

本文引用的文献

1
VEGETABLE DUST PNEUMOCONIOSES. IMMUNOLOGIC RESPONSES TO VEGETABLE DUSTS AND THEIR FLORA.植物性粉尘尘肺。对植物性粉尘及其微生物群落的免疫反应。
Am Rev Respir Dis. 1964 Jun;89:842-58. doi: 10.1164/arrd.1964.89.6.842.
2
The extracellular antigens of Micropolyspora faeni: their significance in farmer's lung disease.嗜热放线菌的细胞外抗原:它们在农民肺疾病中的意义。
J Hyg (Lond). 1970 Sep;68(3):401-9. doi: 10.1017/s0022172400042303.
3
Immunofluorescence identification of Thermopolyspora polyspora, the causative agent of farmer's lung.
过敏性肺炎:用嗜热放线菌抗原在犊牛中进行实验性诱发。
Can J Comp Med. 1976 Jul;40(3):221-7.
4
Bovine allergic pneumonitis: an acute outbreak associated with mouldy hay.牛过敏性肺炎:与发霉干草相关的急性暴发。
Can J Comp Med. 1978 Jan;42(1):10-5.
5
The indirect fluorescent antibody technique as a method for detecting antibodies in aborted fetuses.间接荧光抗体技术作为一种检测流产胎儿中抗体的方法。
Can J Comp Med. 1979 Jul;43(3):255-61.
农民肺致病菌多孢栖热放线菌的免疫荧光鉴定
Appl Microbiol. 1969 Mar;17(3):454-6. doi: 10.1128/am.17.3.454-456.1969.
4
Immunofluorescent studies in patients with farmer's lung.对农民肺患者的免疫荧光研究。
J Allergy Clin Immunol. 1971 Oct;48(4):224-9. doi: 10.1016/0091-6749(71)90069-8.
5
Serological investigations of a bovine respiratory disease ("urner pneumonie") resembling farmer's lung.对一种类似于农民肺的牛呼吸道疾病(“urner肺炎”)的血清学调查。
Infect Immun. 1972 Jul;6(1):38-42. doi: 10.1128/iai.6.1.38-42.1972.
6
Hypersensitivity pneumonitis: experimental production in guinea pigs with antigens of Micropolyspora faeni.过敏性肺炎:用嗜热放线菌抗原在豚鼠中进行实验性诱导
Pathol Microbiol (Basel). 1973;39(6):393-411. doi: 10.1159/000162686.
7
A bovine disease similar to farmer's lung: extrinsic allergic alveolitis.一种与农民肺相似的牛病:外源性过敏性肺泡炎。
Vet Rec. 1971 Apr 3;88(14):346-51. doi: 10.1136/vr.88.14.346.