• 文献检索
  • 文档翻译
  • 深度研究
  • 学术资讯
  • Suppr Zotero 插件Zotero 插件
  • 邀请有礼
  • 套餐&价格
  • 历史记录
应用&插件
Suppr Zotero 插件Zotero 插件浏览器插件Mac 客户端Windows 客户端微信小程序
定价
高级版会员购买积分包购买API积分包
服务
文献检索文档翻译深度研究API 文档MCP 服务
关于我们
关于 Suppr公司介绍联系我们用户协议隐私条款
关注我们

Suppr 超能文献

核心技术专利:CN118964589B侵权必究
粤ICP备2023148730 号-1Suppr @ 2026

文献检索

告别复杂PubMed语法,用中文像聊天一样搜索,搜遍4000万医学文献。AI智能推荐,让科研检索更轻松。

立即免费搜索

文件翻译

保留排版,准确专业,支持PDF/Word/PPT等文件格式,支持 12+语言互译。

免费翻译文档

深度研究

AI帮你快速写综述,25分钟生成高质量综述,智能提取关键信息,辅助科研写作。

立即免费体验

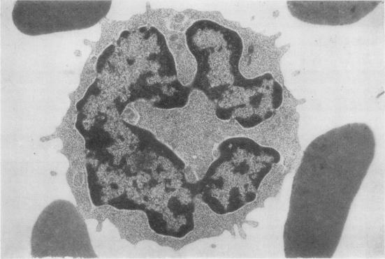
一例T细胞白血病的免疫学研究

Immunological studies in a case of T-cell leukaemia.

作者信息

Stathopoulos G, Papamichail M, Sheldon P, Catovsky D, Davies A J, Holborow E J, Wiltshaw E

出版信息

J Clin Pathol. 1974 Nov;27(11):851-9. doi: 10.1136/jcp.27.11.851.

DOI:10.1136/jcp.27.11.851
PMID:4613733
原文链接:https://pmc.ncbi.nlm.nih.gov/articles/PMC475512/
Abstract

The blood lymphocytes from a case of prolymphocytic leukaemia were subjected to a battery of different tests in order to establish as certainly as possible their T or B cell type of origin. The results of the tests for surface markers indicated the T-cell origin of the leukaemic cells in this patient, and this provided a good opportunity to determine the participation of T cells in the various tests proposed for measuring human lymphocyte function.

摘要

对一例幼淋巴细胞白血病患者的血液淋巴细胞进行了一系列不同的检测,以便尽可能确定其起源的T细胞或B细胞类型。表面标志物检测结果表明该患者白血病细胞起源于T细胞,这为确定T细胞在各种用于检测人类淋巴细胞功能的检测中的参与情况提供了一个很好的机会。

https://cdn.ncbi.nlm.nih.gov/pmc/blobs/e0bd/475512/a4c14182aa47/jclinpath00133-0008-a.jpg
https://cdn.ncbi.nlm.nih.gov/pmc/blobs/e0bd/475512/8974df6249df/jclinpath00133-0004-a.jpg
https://cdn.ncbi.nlm.nih.gov/pmc/blobs/e0bd/475512/9115a0aae3e3/jclinpath00133-0004-b.jpg
https://cdn.ncbi.nlm.nih.gov/pmc/blobs/e0bd/475512/d130ec84389d/jclinpath00133-0005-a.jpg
https://cdn.ncbi.nlm.nih.gov/pmc/blobs/e0bd/475512/348bb6cc5a4b/jclinpath00133-0006-a.jpg
https://cdn.ncbi.nlm.nih.gov/pmc/blobs/e0bd/475512/a4c14182aa47/jclinpath00133-0008-a.jpg
https://cdn.ncbi.nlm.nih.gov/pmc/blobs/e0bd/475512/8974df6249df/jclinpath00133-0004-a.jpg
https://cdn.ncbi.nlm.nih.gov/pmc/blobs/e0bd/475512/9115a0aae3e3/jclinpath00133-0004-b.jpg
https://cdn.ncbi.nlm.nih.gov/pmc/blobs/e0bd/475512/d130ec84389d/jclinpath00133-0005-a.jpg
https://cdn.ncbi.nlm.nih.gov/pmc/blobs/e0bd/475512/348bb6cc5a4b/jclinpath00133-0006-a.jpg
https://cdn.ncbi.nlm.nih.gov/pmc/blobs/e0bd/475512/a4c14182aa47/jclinpath00133-0008-a.jpg

相似文献

1
Immunological studies in a case of T-cell leukaemia.一例T细胞白血病的免疫学研究
J Clin Pathol. 1974 Nov;27(11):851-9. doi: 10.1136/jcp.27.11.851.
2
Lymphocyte subpopulations in chronic lymphocytic leukemia. Characterization by cell surface markers, cytotoxic activity, and mitogenic stimulation.
Scand J Immunol. 1974;3(3):303-10. doi: 10.1111/j.1365-3083.1974.tb01261.x.
3
The response to plant mitogens of two subpopulations of lymphocytes in a case of chronic lymphocytic leukaemia.慢性淋巴细胞白血病一例中淋巴细胞两个亚群对植物有丝分裂原的反应。
Clin Exp Immunol. 1973 Jul;14(3):397-408.
4
Lymphocyte membrane receptors in cultures treated with mitogens.用有丝分裂原处理的培养物中的淋巴细胞膜受体。
Cell Immunol. 1974 May;12(2):331-7. doi: 10.1016/0008-8749(74)90087-2.
5
Effects on C-reactive protein on the lymphoid system. I. Binding to thymus-dependent lymphocytes and alteration of their functions.C反应蛋白对淋巴系统的影响。I. 与胸腺依赖性淋巴细胞的结合及其功能改变。
J Exp Med. 1975 Apr 1;141(4):821-39.
6
Surface antigenic specificities of human thymus-derived lymphocytes.人胸腺来源淋巴细胞的表面抗原特异性
Clin Exp Immunol. 1975 Jan;19(1):67-74.
7
Lymphocyte membrane markers in acute lymphoblastic leukaemia.急性淋巴细胞白血病中的淋巴细胞膜标志物
Br J Haematol. 1974 Aug;27(4):635-41. doi: 10.1111/j.1365-2141.1974.tb06630.x.
8
Quantitative assessment of thymus-dependent (t)-cell function in human peripheral blood.人体外周血中胸腺依赖性(T)细胞功能的定量评估。
Birth Defects Orig Artic Ser. 1975;11(1):10-1.
9
Unresponsiveness of human B lymphocytes to phytohaemagglutinin.人B淋巴细胞对植物血凝素无反应性。
Nature. 1974 Mar 29;248(447):426-8. doi: 10.1038/248426a0.
10
Acute lymphoblastic leukemic cells with T (thymus-derived) lymphocyte markers.带有T(胸腺来源)淋巴细胞标志物的急性淋巴细胞白血病细胞
Science. 1973 Dec 28;182(4119):1355-6. doi: 10.1126/science.182.4119.1355.

引用本文的文献

1
Cytogenetic and cell-surface marker studies in two non-Hodgkin's lymphomata of T-cell origin.对两例T细胞起源的非霍奇金淋巴瘤进行的细胞遗传学和细胞表面标志物研究。
Hum Genet. 1976 Feb 29;31(2):203-10. doi: 10.1007/BF00296147.
2
Morphology of lymphatic cells and of their derived tumours.淋巴细胞及其衍生肿瘤的形态学。
J Clin Pathol. 1978 Nov;31(11):1009-56. doi: 10.1136/jcp.31.11.1009.
3
The T and B lymphocyte content of lymph nodes and spleen in Hodgkin's disease.霍奇金病中淋巴结和脾脏的T淋巴细胞及B淋巴细胞含量

本文引用的文献

1
Sezary syndrome--a malignant reticulemic erythroderma.塞扎里综合征——一种恶性网状细胞性红皮病。
JAMA. 1961 Aug 19;177:465-72. doi: 10.1001/jama.1961.03040330001001.
2
Immunoglobulins on the surface of lymphocytes. IV. Distribution in hypogammaglobulinemia, cellular immune deficiency, and chronic lymphatic leukemia.淋巴细胞表面的免疫球蛋白。IV. 在低丙种球蛋白血症、细胞免疫缺陷及慢性淋巴细胞白血病中的分布
J Clin Invest. 1971 Nov;50(11):2368-75. doi: 10.1172/JCI106735.
3
Surface-bound immunoglobulin as a marker of B lymphocytes in man.表面结合免疫球蛋白作为人类B淋巴细胞的标志物。
Br J Exp Pathol. 1977 Dec;58(6):712-6.
4
H-rosette formation in T-cell-proliferative diseases.T细胞增殖性疾病中的H玫瑰花结形成
Br Med J. 1975 Nov 15;4(5993):381-3. doi: 10.1136/bmj.4.5993.381.
5
Cytochemical reactions of normal and neoplastic lymphocytes.正常及肿瘤性淋巴细胞的细胞化学反应
J Clin Pathol. 1977 Jul;30(7):653-60. doi: 10.1136/jcp.30.7.653.
Nat New Biol. 1971 Dec 22;234(51):251-2. doi: 10.1038/newbio234251a0.
4
Binding of sheep red blood cells to a large population of human lymphocytes.绵羊红细胞与大量人类淋巴细胞的结合。
Nature. 1971 Apr 23;230(5295):531-2. doi: 10.1038/230531a0.
5
The mitogenic effects of endotoxin and staphylococcal enterotoxin B on mouse spleen cells and human peripheral lymphocytes.内毒素和葡萄球菌肠毒素B对小鼠脾细胞及人外周血淋巴细胞的促有丝分裂作用。
J Immunol. 1970 Dec;105(6):1453-8.
6
Surface bound immunoglobulins as a cell marker in human lymphoproliferative diseases.表面结合免疫球蛋白作为人类淋巴增殖性疾病中的细胞标志物
Blood. 1972 Dec;40(6):777-94.
7
Elicitation of selective T and B lymphocyte responses by cell surface binding ligands.通过细胞表面结合配体引发选择性T和B淋巴细胞反应。
Transplant Rev. 1972;11:87-130. doi: 10.1111/j.1600-065x.1972.tb00047.x.
8
Membrane antigens specific for human lymphoid cells in the dividing phase.处于分裂期的人淋巴细胞特异性膜抗原。
J Exp Med. 1973 Jul 1;138(1):64-70. doi: 10.1084/jem.138.1.64.
9
Lymphocyte binding of aggregated IgG and surface Ig staining in chronic lymphocytic leukaemia.慢性淋巴细胞白血病中聚集IgG的淋巴细胞结合及表面Ig染色
Clin Exp Immunol. 1973 May;14(1):97-106.
10
Activation of human T and B lymphocytes by polyclonal mitogens.多克隆有丝分裂原对人T淋巴细胞和B淋巴细胞的激活作用。
Nature. 1974 Apr 19;248(5450):698-701. doi: 10.1038/248698a0.