• 文献检索
  • 文档翻译
  • 深度研究
  • 学术资讯
  • Suppr Zotero 插件Zotero 插件
  • 邀请有礼
  • 套餐&价格
  • 历史记录
应用&插件
Suppr Zotero 插件Zotero 插件浏览器插件Mac 客户端Windows 客户端微信小程序
定价
高级版会员购买积分包购买API积分包
服务
文献检索文档翻译深度研究API 文档MCP 服务
关于我们
关于 Suppr公司介绍联系我们用户协议隐私条款
关注我们

Suppr 超能文献

核心技术专利:CN118964589B侵权必究
粤ICP备2023148730 号-1Suppr @ 2026

文献检索

告别复杂PubMed语法,用中文像聊天一样搜索,搜遍4000万医学文献。AI智能推荐,让科研检索更轻松。

立即免费搜索

文件翻译

保留排版,准确专业,支持PDF/Word/PPT等文件格式,支持 12+语言互译。

免费翻译文档

深度研究

AI帮你快速写综述,25分钟生成高质量综述,智能提取关键信息,辅助科研写作。

立即免费体验

毛发胚肿瘤的鉴别诊断

Differentiating neoplasms of hair germ.

作者信息

Headington J T

出版信息

J Clin Pathol. 1970 Sep;23(6):464-71. doi: 10.1136/jcp.23.6.464.

DOI:10.1136/jcp.23.6.464
PMID:5476873
原文链接:https://pmc.ncbi.nlm.nih.gov/articles/PMC476809/
Abstract

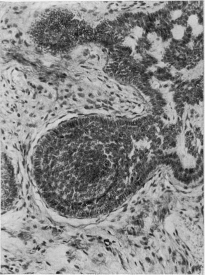
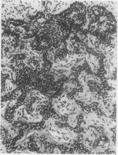
Differentiating neoplasms of hair germ are benign epithelial-mesenchymal tumours of skin in which hair follicle development may be partly or completely recapitulated. The epithelial component is equivalent to the hair germ. The mesenchymal component is equivalent to the dermal papilla. Epithelial-mesenchymal interaction results in the morphogenesis of hair follicles. In neoplasms showing stromal induction, there is centrifugal organizations: hair bulbs are found at the periphery of tumour lobules and hairs are projected centrally to lie within small keratinizing cysts. Neoplasms of hair germ without advanced morpho-differentiation are termed ;trichoblastomas', and those neoplasms in which hair follicle development is advanced are called ;trichogenic trichoblastomas'.

摘要

毛母质瘤是皮肤的良性上皮-间叶肿瘤,其中毛囊发育可能部分或完全重现。上皮成分相当于毛母质,间叶成分相当于毛乳头。上皮-间叶相互作用导致毛囊形态发生。在显示间质诱导的肿瘤中,存在离心性结构:毛球位于肿瘤小叶的周边,毛发向中心突出并位于小的角化囊肿内。未发生高级形态分化的毛母质瘤称为“成毛细胞瘤”,而毛囊发育进展的肿瘤称为“毛发生成性成毛细胞瘤”。

https://cdn.ncbi.nlm.nih.gov/pmc/blobs/e80f/476809/eb05f0ed55fe/jclinpath00086-0011-b.jpg
https://cdn.ncbi.nlm.nih.gov/pmc/blobs/e80f/476809/2907c964326e/jclinpath00086-0007-a.jpg
https://cdn.ncbi.nlm.nih.gov/pmc/blobs/e80f/476809/72cb63bf107f/jclinpath00086-0007-b.jpg
https://cdn.ncbi.nlm.nih.gov/pmc/blobs/e80f/476809/01624581ca26/jclinpath00086-0008-a.jpg
https://cdn.ncbi.nlm.nih.gov/pmc/blobs/e80f/476809/f2b838246e27/jclinpath00086-0008-b.jpg
https://cdn.ncbi.nlm.nih.gov/pmc/blobs/e80f/476809/c3a1d1752796/jclinpath00086-0009-a.jpg
https://cdn.ncbi.nlm.nih.gov/pmc/blobs/e80f/476809/88181eba8135/jclinpath00086-0009-b.jpg
https://cdn.ncbi.nlm.nih.gov/pmc/blobs/e80f/476809/358351bba638/jclinpath00086-0009-c.jpg
https://cdn.ncbi.nlm.nih.gov/pmc/blobs/e80f/476809/be25ec32b20c/jclinpath00086-0010-a.jpg
https://cdn.ncbi.nlm.nih.gov/pmc/blobs/e80f/476809/c5f32dd3bd4e/jclinpath00086-0010-b.jpg
https://cdn.ncbi.nlm.nih.gov/pmc/blobs/e80f/476809/dfc9943d286f/jclinpath00086-0010-c.jpg
https://cdn.ncbi.nlm.nih.gov/pmc/blobs/e80f/476809/ca9aaf0aa499/jclinpath00086-0011-a.jpg
https://cdn.ncbi.nlm.nih.gov/pmc/blobs/e80f/476809/eb05f0ed55fe/jclinpath00086-0011-b.jpg
https://cdn.ncbi.nlm.nih.gov/pmc/blobs/e80f/476809/2907c964326e/jclinpath00086-0007-a.jpg
https://cdn.ncbi.nlm.nih.gov/pmc/blobs/e80f/476809/72cb63bf107f/jclinpath00086-0007-b.jpg
https://cdn.ncbi.nlm.nih.gov/pmc/blobs/e80f/476809/01624581ca26/jclinpath00086-0008-a.jpg
https://cdn.ncbi.nlm.nih.gov/pmc/blobs/e80f/476809/f2b838246e27/jclinpath00086-0008-b.jpg
https://cdn.ncbi.nlm.nih.gov/pmc/blobs/e80f/476809/c3a1d1752796/jclinpath00086-0009-a.jpg
https://cdn.ncbi.nlm.nih.gov/pmc/blobs/e80f/476809/88181eba8135/jclinpath00086-0009-b.jpg
https://cdn.ncbi.nlm.nih.gov/pmc/blobs/e80f/476809/358351bba638/jclinpath00086-0009-c.jpg
https://cdn.ncbi.nlm.nih.gov/pmc/blobs/e80f/476809/be25ec32b20c/jclinpath00086-0010-a.jpg
https://cdn.ncbi.nlm.nih.gov/pmc/blobs/e80f/476809/c5f32dd3bd4e/jclinpath00086-0010-b.jpg
https://cdn.ncbi.nlm.nih.gov/pmc/blobs/e80f/476809/dfc9943d286f/jclinpath00086-0010-c.jpg
https://cdn.ncbi.nlm.nih.gov/pmc/blobs/e80f/476809/ca9aaf0aa499/jclinpath00086-0011-a.jpg
https://cdn.ncbi.nlm.nih.gov/pmc/blobs/e80f/476809/eb05f0ed55fe/jclinpath00086-0011-b.jpg

相似文献

1
Differentiating neoplasms of hair germ.毛发胚肿瘤的鉴别诊断
J Clin Pathol. 1970 Sep;23(6):464-71. doi: 10.1136/jcp.23.6.464.
2
[Trichoblastoma. A tumor with follicular differentiation].[毛发母细胞瘤。一种具有毛囊分化的肿瘤]
Hautarzt. 1995 Feb;46(2):81-6. doi: 10.1007/s001050050214.
3
Trichogenic trichoblastoma. An unusual neoplasm of hair germ.毛发源性毛母细胞瘤。一种不寻常的毛胚肿瘤。
Am J Dermatopathol. 1990 Apr;12(2):175-81.
4
Pigmented trichoblastoma.色素性毛发上皮瘤
Am J Dermatopathol. 1992 Aug;14(4):345-9. doi: 10.1097/00000372-199208000-00010.
5
Benign trichogenic tumours: a report of two cases supporting a simplified nomenclature.良性毛发源性肿瘤:支持简化命名法的两例报告
Histopathology. 1993 Jun;22(6):575-80. doi: 10.1111/j.1365-2559.1993.tb00179.x.
6
Trichogerminoma.毛发胚细胞瘤
Am J Dermatopathol. 2009 Jul;31(5):480-3. doi: 10.1097/DAD.0b013e31818ffcc3.
7
Trichoblastic fibroma.
J Cutan Pathol. 1990 Dec;17(6):381-4. doi: 10.1111/j.1600-0560.1990.tb00116.x.
8
[Nevoid bundle hairs].[无色素性束状毛发]
Hautarzt. 1991 Mar;42(3):189-91.
9
Trichilemmal tumor undergoing specific keratinization: "keratinizing trichilemmoma".
J Cutan Pathol. 1979 Dec;6(6):463-75. doi: 10.1111/j.1600-0560.1979.tb01172.x.
10
Merkel cells are absent in basal cell carcinomas but frequently found in trichoblastomas. An immunohistochemical study.Merkel细胞在基底细胞癌中不存在,但在毛母细胞瘤中经常被发现。一项免疫组织化学研究。
J Cutan Pathol. 1997 Jan;24(1):14-24. doi: 10.1111/j.1600-0560.1997.tb00780.x.

引用本文的文献

1
Trichoblastoma/trichoblastic carcinoma: about two cases.毛发母细胞瘤/毛发母细胞癌:约2例。
Ann Med Surg (Lond). 2025 May 26;87(7):4498-4502. doi: 10.1097/MS9.0000000000001852. eCollection 2025 Jul.
2
The Multiple Faces of Nodular Trichoblastoma: Review of the Literature with Case Presentation.结节性毛发母细胞瘤的多面性:文献综述及病例报告
Dermatopathology (Basel). 2021 Jul 5;8(3):265-270. doi: 10.3390/dermatopathology8030032.
3
Don't Judge a Tumor by Its Biopsy!不要仅凭活检来判断肿瘤!

本文引用的文献

1
Re-differentiation of sebaceous glands in the mouse after total extirpation with methylcholanthrene.用甲基胆蒽完全切除后小鼠皮脂腺的再分化
Anat Rec. 1950 May;107(1):83-91. doi: 10.1002/ar.1091070108.
2
Primary neoplasms of the hair follicle. Histogenesis and classification.毛囊原发性肿瘤。组织发生与分类。
Arch Dermatol. 1962 Oct;86:430-41. doi: 10.1001/archderm.1962.01590100044012.
3
Epithelioma adenoides cysticum and solitary trichoepithelioma.腺样囊性上皮瘤和孤立性毛发上皮瘤。
Case Rep Dermatol. 2020 Dec 2;12(3):266-274. doi: 10.1159/000509764. eCollection 2020 Sep-Dec.
4
Trichoblastomas Mimicking Basal Cell Carcinoma: The Importance of Identification and Differentiation.模仿基底细胞癌的毛发母细胞瘤:识别与鉴别诊断的重要性
Cureus. 2020 May 25;12(5):e8272. doi: 10.7759/cureus.8272.
5
Composite trichoblastoma and inverted follicular keratosis: a case report.复合性毛发母细胞瘤与毛囊漏斗部角化病:一例报告
Int J Clin Exp Pathol. 2018 May 1;11(5):2884-2886. eCollection 2018.
6
Trichoblastoma of lid: a masquerading tumour.眼睑毛发母细胞瘤:一种伪装性肿瘤。
BMJ Case Rep. 2019 Dec 8;12(12):e232599. doi: 10.1136/bcr-2019-232599.
7
Trichoblastoma of the Upper Eyelid.上睑毛发瘤
J Ophthalmic Vis Res. 2017 Apr-Jun;12(2):219-221. doi: 10.4103/2008-322X.205378.
8
Composite Tumor Associating Trichoblastoma and Seborrheic Keratosis.伴发毛母细胞瘤和脂溢性角化病的复合性肿瘤
Ann Dermatol. 2015 Oct;27(5):601-4. doi: 10.5021/ad.2015.27.5.601. Epub 2015 Oct 2.
Arch Dermatol. 1963 Jan;87:102-14. doi: 10.1001/archderm.1963.01590130108018.
4
Pilomatrixoma (calcifying epithelioma).毛母质瘤(钙化上皮瘤)。
Arch Dermatol. 1961 Apr;83:606-18. doi: 10.1001/archderm.1961.01580100070009.
5
Trichomatrioma; a clinicopathologic entity separable from calcifying epithelioma of Malherbe.毛囊瘤;一种可与马勒贝钙化上皮瘤区分开的临床病理实体。
AMA Arch Derm. 1958 Mar;77(3):285-96. doi: 10.1001/archderm.1958.01560030031005.