• 文献检索
  • 文档翻译
  • 深度研究
  • 学术资讯
  • Suppr Zotero 插件Zotero 插件
  • 邀请有礼
  • 套餐&价格
  • 历史记录
应用&插件
Suppr Zotero 插件Zotero 插件浏览器插件Mac 客户端Windows 客户端微信小程序
定价
高级版会员购买积分包购买API积分包
服务
文献检索文档翻译深度研究API 文档MCP 服务
关于我们
关于 Suppr公司介绍联系我们用户协议隐私条款
关注我们

Suppr 超能文献

核心技术专利:CN118964589B侵权必究
粤ICP备2023148730 号-1Suppr @ 2026

文献检索

告别复杂PubMed语法,用中文像聊天一样搜索,搜遍4000万医学文献。AI智能推荐,让科研检索更轻松。

立即免费搜索

文件翻译

保留排版,准确专业,支持PDF/Word/PPT等文件格式,支持 12+语言互译。

免费翻译文档

深度研究

AI帮你快速写综述,25分钟生成高质量综述,智能提取关键信息,辅助科研写作。

立即免费体验

肉毒杆菌C2毒素对小鼠肠道的组织病理学影响。

Histopathological effect of botulinum C2 toxin on mouse intestines.

作者信息

Ohishi I, Odagiri Y

出版信息

Infect Immun. 1984 Jan;43(1):54-8. doi: 10.1128/iai.43.1.54-58.1984.

DOI:10.1128/iai.43.1.54-58.1984
PMID:6197380
原文链接:https://pmc.ncbi.nlm.nih.gov/articles/PMC263387/
Abstract

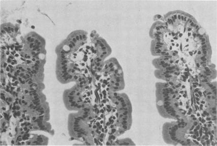
Botulinum C2 toxin has histopathological activity in the mouse intestine and induces fluid accumulation in intestinal loops. The toxin caused degenerative and necrotic changes in the intestinal mucosa: intracellular vacuolization of epithelial cells, desquamation and necrosis of the villous epithelium, intercellular edema, and infiltration of lymphocytes and histiocytes. The detectable changes in the morphology of the intestinal mucosa preceded the increase in fluid accumulation in intestinal loops. Intraluminal injection of botulinum C2 toxin also induced the leakage of plasma protein into the intestinal lumen as determined by the extravasation of Evans blue. In contrast to botulinum C2 toxin, cholera and Clostridium perfringens enterotoxin controls caused a very slight protein leakage, although these toxins induced marked fluid accumulation in intestinal loops. The results indicate that the mode of action of botulinum C2 toxin in eliciting the secretory response is distinguishable from those of cholera and C. perfringens enterotoxins and suggest that botulinum C2 toxin induces the secretory response by cytopathic effect(s) on the epithelial cells of the intestine.

摘要

肉毒杆菌C2毒素在小鼠肠道具有组织病理学活性,并可诱导肠袢积液。该毒素导致肠黏膜发生退行性和坏死性改变:上皮细胞内出现空泡化、绒毛上皮脱落和坏死、细胞间水肿以及淋巴细胞和组织细胞浸润。肠黏膜形态学上可检测到的变化先于肠袢积液增加。通过伊文思蓝外渗测定,肠腔内注射肉毒杆菌C2毒素还可诱导血浆蛋白渗漏至肠腔内。与肉毒杆菌C2毒素相反,霍乱毒素和产气荚膜梭菌肠毒素对照引起的蛋白渗漏非常轻微,尽管这些毒素可诱导肠袢显著积液。结果表明,肉毒杆菌C2毒素引发分泌反应的作用方式与霍乱毒素和产气荚膜梭菌肠毒素不同,提示肉毒杆菌C2毒素通过对肠道上皮细胞的细胞病变效应诱导分泌反应。

https://cdn.ncbi.nlm.nih.gov/pmc/blobs/fe85/263387/5f4d430d9aba/iai00130-0078-a.jpg
https://cdn.ncbi.nlm.nih.gov/pmc/blobs/fe85/263387/12091132624a/iai00130-0077-a.jpg
https://cdn.ncbi.nlm.nih.gov/pmc/blobs/fe85/263387/5f4d430d9aba/iai00130-0078-a.jpg
https://cdn.ncbi.nlm.nih.gov/pmc/blobs/fe85/263387/12091132624a/iai00130-0077-a.jpg
https://cdn.ncbi.nlm.nih.gov/pmc/blobs/fe85/263387/5f4d430d9aba/iai00130-0078-a.jpg

相似文献

1
Histopathological effect of botulinum C2 toxin on mouse intestines.肉毒杆菌C2毒素对小鼠肠道的组织病理学影响。
Infect Immun. 1984 Jan;43(1):54-8. doi: 10.1128/iai.43.1.54-58.1984.
2
Response of mouse intestinal loop to botulinum C2 toxin: enterotoxic activity induced by cooperation of nonlinked protein components.小鼠肠袢对肉毒杆菌C2毒素的反应:非连接蛋白成分协同诱导的肠毒素活性
Infect Immun. 1983 May;40(2):691-5. doi: 10.1128/iai.40.2.691-695.1983.
3
Effects of Clostridium difficile toxins A and B in rabbit small and large intestine in vivo and on cultured cells in vitro.艰难梭菌毒素A和B对家兔体内小肠和大肠以及体外培养细胞的作用。
Infect Immun. 1988 Mar;56(3):582-8. doi: 10.1128/iai.56.3.582-588.1988.
4
Fluid accumulation in the ligated intestinal loop and histopathological changes of the intestinal mucosa caused by Clostridium botulinum C2 toxin in the pheasant and chicken.肉毒梭菌C2毒素引起的雉鸡和鸡结扎肠袢内的液体蓄积及肠黏膜的组织病理学变化。
Res Vet Sci. 1987 May;42(3):349-53.
5
Effects of Clostridium perfringens iota toxin in the small intestine of mice.产气荚膜梭菌iota毒素对小鼠小肠的影响。
Anaerobe. 2017 Dec;48:83-88. doi: 10.1016/j.anaerobe.2017.07.007. Epub 2017 Jul 29.
6
Prevention of toxin-induced intestinal ion and fluid secretion by a small-molecule CFTR inhibitor.小分子CFTR抑制剂对毒素诱导的肠道离子和液体分泌的预防作用
Gastroenterology. 2004 Feb;126(2):511-9. doi: 10.1053/j.gastro.2003.11.005.
7
EGA Protects Mammalian Cells from Clostridium difficile CDT, Clostridium perfringens Iota Toxin and Clostridium botulinum C2 Toxin.EGA可保护哺乳动物细胞免受艰难梭菌CDT、产气荚膜梭菌iota毒素和肉毒梭菌C2毒素的侵害。
Toxins (Basel). 2016 Apr 1;8(4):101. doi: 10.3390/toxins8040101.
8
The haemagglutinin of Clostridium botulinum type C progenitor toxin plays an essential role in binding of toxin to the epithelial cells of guinea pig small intestine, leading to the efficient absorption of the toxin.C型肉毒杆菌祖毒素的血凝素在毒素与豚鼠小肠上皮细胞的结合中起关键作用,从而导致毒素的有效吸收。
Microbiology (Reading). 1997 Dec;143 ( Pt 12):3841-3847. doi: 10.1099/00221287-143-12-3841.
9
Cholera toxin protects against action by Clostridium difficile toxin A. The role of antisecretory factor in intestinal secretion and inflammation in rat.
APMIS. 2003 Oct;111(10):969-77. doi: 10.1034/j.1600-0463.2003.1111009.x.
10
Binding of the two components of C2 toxin to epithelial cells and brush borders of mouse intestine.C2毒素的两种成分与小鼠肠道上皮细胞和刷状缘的结合。
Infect Immun. 1985 Jun;48(3):769-75. doi: 10.1128/iai.48.3.769-775.1985.

引用本文的文献

1
Multivalent Inhibitors of Channel-Forming Bacterial Toxins.多价细菌通道形成毒素抑制剂。
Curr Top Microbiol Immunol. 2017;406:199-227. doi: 10.1007/82_2016_20.
2
Inhibiting bacterial toxins by channel blockage.通过通道阻滞抑制细菌毒素
Pathog Dis. 2016 Mar;74(2). doi: 10.1093/femspd/ftv113. Epub 2015 Dec 9.
3
Cationic PAMAM dendrimers as pore-blocking binary toxin inhibitors.阳离子聚酰胺-胺树枝状大分子作为孔道阻断型二元毒素抑制剂。

本文引用的文献

1
INTESTINAL MORPHOLOGY IN HUMAN AND EXPERIMENTAL CHOLERA.人类和实验性霍乱中的肠道形态学
Arch Pathol. 1964 May;77:529-37.
2
Comparison of two toxins produced by Clostridium difficile.艰难梭菌产生的两种毒素的比较。
Infect Immun. 1981 Dec;34(3):1036-43. doi: 10.1128/iai.34.3.1036-1043.1981.
3
Production of C2 toxin by Clostridium botulinum types C and D as determined by its vascular permeability activity.通过其血管通透性活性测定肉毒梭菌C型和D型产生C2毒素的情况。
Biomacromolecules. 2014 Jul 14;15(7):2461-74. doi: 10.1021/bm500328v. Epub 2014 Jul 2.
4
Clostridium difficile toxin CDT hijacks microtubule organization and reroutes vesicle traffic to increase pathogen adherence.艰难梭菌毒素 CDT 劫持微管组织并重新引导囊泡运输以增加病原体黏附。
Proc Natl Acad Sci U S A. 2014 Feb 11;111(6):2313-8. doi: 10.1073/pnas.1311589111. Epub 2014 Jan 27.
5
Cholera toxin disrupts barrier function by inhibiting exocyst-mediated trafficking of host proteins to intestinal cell junctions.霍乱毒素通过抑制外泌体介导的宿主蛋白向肠道细胞连接的运输来破坏屏障功能。
Cell Host Microbe. 2013 Sep 11;14(3):294-305. doi: 10.1016/j.chom.2013.08.001.
6
Obstructing toxin pathways by targeted pore blockage.通过靶向孔堵塞来阻断毒素途径。
Chem Rev. 2012 Dec 12;112(12):6388-430. doi: 10.1021/cr300141q. Epub 2012 Oct 11.
7
Tailored ß-cyclodextrin blocks the translocation pores of binary exotoxins from C. botulinum and C. perfringens and protects cells from intoxication.定制的β-环糊精可阻断来自 C. botulinum 和 C. perfringens 的二元肠毒素的转位孔,并保护细胞免受中毒。
PLoS One. 2011;6(8):e23927. doi: 10.1371/journal.pone.0023927. Epub 2011 Aug 22.
8
Exploring the role of host cell chaperones/PPIases during cellular up-take of bacterial ADP-ribosylating toxins as basis for novel pharmacological strategies to protect mammalian cells against these virulence factors.探索宿主细胞伴侣/PPIases 在细菌 ADP-核糖基化毒素细胞摄取过程中的作用,为保护哺乳动物细胞免受这些毒力因子的新型药理学策略提供依据。
Naunyn Schmiedebergs Arch Pharmacol. 2011 Mar;383(3):237-45. doi: 10.1007/s00210-010-0581-y. Epub 2010 Dec 1.
9
ADP-ribosylation of actin by the Clostridium botulinum C2 toxin in mammalian cells results in delayed caspase-dependent apoptotic cell death.肉毒梭菌C2毒素对哺乳动物细胞中肌动蛋白的ADP核糖基化作用导致依赖半胱天冬酶的凋亡性细胞死亡延迟。
Infect Immun. 2008 Oct;76(10):4600-8. doi: 10.1128/IAI.00651-08. Epub 2008 Aug 18.
10
Botulinum toxins--cause of botulism and systemic diseases?肉毒杆菌毒素——肉毒中毒及全身性疾病的病因?
Vet Res Commun. 2005 May;29(4):313-45. doi: 10.1023/b:verc.0000048489.45634.32.
Infect Immun. 1982 Jan;35(1):1-4. doi: 10.1128/iai.35.1.1-4.1982.
4
Vascular permeability activity of botulinum C2 toxin elicited by cooperation of two dissimilar protein components.两种不同蛋白质成分协同作用引发的肉毒杆菌C2毒素的血管通透性活性。
Infect Immun. 1981 Mar;31(3):890-5. doi: 10.1128/iai.31.3.890-895.1981.
5
Evidence that botulinum C2 toxin has two dissimilar components.肉毒杆菌C2毒素有两种不同成分的证据。
Infect Immun. 1980 Aug;29(2):390-4. doi: 10.1128/iai.29.2.390-394.1980.
6
Purification and characterization of two components of botulinum C2 toxin.肉毒杆菌C2毒素两种成分的纯化与特性分析
Infect Immun. 1980 Dec;30(3):668-73. doi: 10.1128/iai.30.3.668-673.1980.
7
Response of mouse intestinal loop to botulinum C2 toxin: enterotoxic activity induced by cooperation of nonlinked protein components.小鼠肠袢对肉毒杆菌C2毒素的反应:非连接蛋白成分协同诱导的肠毒素活性
Infect Immun. 1983 May;40(2):691-5. doi: 10.1128/iai.40.2.691-695.1983.
8
Experimental cholera in the rabbit ligated ileal loop: toxin-induced water and ion movement.兔结扎回肠袢实验性霍乱:毒素诱导的水和离子移动
J Infect Dis. 1966 Jun;116(3):303-12. doi: 10.1093/infdis/116.3.303.
9
An outbreak of botulism in broiler chickens.肉鸡中肉毒中毒的一次爆发。
Vet Rec. 1970 Aug 29;87(9):258-61. doi: 10.1136/vr.87.9.258.
10
Small bowel morphology in experimental canine cholera. A light and electron microscopic study.实验性犬霍乱的小肠形态学。光镜与电镜研究。
Lab Invest. 1970 Feb;22(2):112-20.