Suppr超能文献

逆转录病毒癌基因的细胞同源物在人类造血细胞中的表达。

Expression of cellular homologues of retroviral onc genes in human hematopoietic cells.

作者信息

Westin E H, Wong-Staal F, Gelmann E P, Dalla-Favera R, Papas T S, Lautenberger J A, Eva A, Reddy E P, Tronick S R, Aaronson S A, Gallo R C

出版信息

Proc Natl Acad Sci U S A. 1982 Apr;79(8):2490-4. doi: 10.1073/pnas.79.8.2490.

Abstract

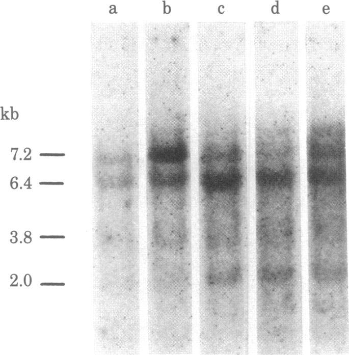
Total cellular poly(A)-enriched RNA from a variety of fresh human leukemic blood cells and hematopoietic cell lines was analyzed for homology with molecularly cloned DNA probes containing the onc sequence of Abelson murine leukemia virus (Ab-MuLV), Harvey murine sarcoma virus (Ha-MuSV), simian sarcoma virus (SSV), and avian myelocytomatosis virus strain MC29. Results with the fresh blood cells paralleled those obtained with the cell lines. With Ab-MuLV and Ha-MuSV, multiple RNA bands were visualized in all cell types examined without significant variation in the relative intensities of the bands. When SSV was used as the probe, expression of related onc sequences was absent in all of the hematopoietic cell types examined except for one neoplastic T-cell line (HUT 102), which produces the human T-cell leukemia (lymphoma) retrovirus HTLV. In this cell line, a single band (4.2 kilobases) was observed. With MC29 as the probe, a single band of 2.7 kilobases was visualized in all cell types examined with only a 10 to 2-fold variation in intensity of hybridization. An exception was the promyelocytic cell line, HL60, which expressed approximately 10-fold more MC29-related onc sequences. With induction of differentiation of HL60 with either dimethyl sulfoxide or retinoic acid, a marked diminution in the amount of the MC29-related, but not the Ab-MuLV-related, onc message was observed.

摘要

对来自多种新鲜人类白血病血细胞和造血细胞系的富含细胞总多聚腺苷酸(poly(A))的RNA,用含有阿贝尔森鼠白血病病毒(Ab-MuLV)、哈维鼠肉瘤病毒(Ha-MuSV)、猿猴肉瘤病毒(SSV)和禽骨髓细胞瘤病毒MC29株癌基因序列的分子克隆DNA探针分析其同源性。新鲜血细胞的结果与细胞系的结果相似。用Ab-MuLV和Ha-MuSV作为探针时,在所检测的所有细胞类型中均可见多条RNA条带,条带的相对强度无明显差异。当用SSV作为探针时,在所检测的所有造血细胞类型中均未检测到相关癌基因序列的表达,但有一个产生人类T细胞白血病(淋巴瘤)逆转录病毒HTLV的肿瘤性T细胞系(HUT 102)除外。在该细胞系中,观察到一条单一的条带(4.2千碱基)。用MC29作为探针时,在所检测的所有细胞类型中均可见一条2.7千碱基的单一杂交条带,杂交强度仅相差10至2倍。早幼粒细胞系HL60是个例外,它表达的与MC29相关的癌基因序列约多10倍。用二甲基亚砜或视黄酸诱导HL60分化时,观察到与MC29相关但与Ab-MuLV相关的癌基因信息的量显著减少。

https://cdn.ncbi.nlm.nih.gov/pmc/blobs/290e/346224/3cc4f4206c34/pnas00447-0072-a.jpg

文献检索

告别复杂PubMed语法,用中文像聊天一样搜索,搜遍4000万医学文献。AI智能推荐,让科研检索更轻松。

立即免费搜索

文件翻译

保留排版,准确专业,支持PDF/Word/PPT等文件格式,支持 12+语言互译。

免费翻译文档

深度研究

AI帮你快速写综述,25分钟生成高质量综述,智能提取关键信息,辅助科研写作。

立即免费体验