Suppr超能文献

用放射性标记单克隆抗体对转移性癌进行定位

Localisation of metastatic carcinoma by a radiolabelled monoclonal antibody.

作者信息

Smedley H M, Finan P, Lennox E S, Ritson A, Takei F, Wraight P, Sikora K

出版信息

Br J Cancer. 1983 Feb;47(2):253-9. doi: 10.1038/bjc.1983.33.

Abstract

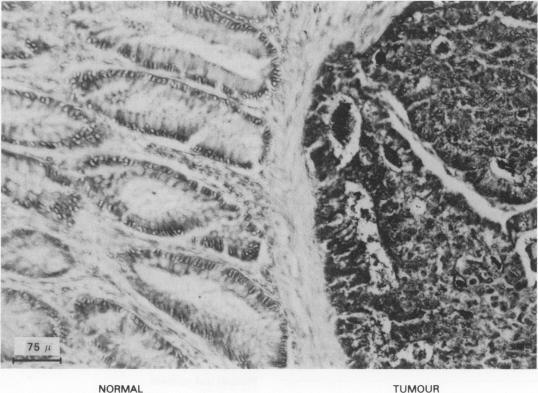
Rat monoclonal antibodies were prepared by immunising rats with human colorectal carcinoma cell membranes and fusing splenic lymphocytes with a rat myeloma. Hybridoma supernatants were screened by binding assays on membranes prepared from colorectal carcinoma tissue. One hybridoma supernatant, containing a monoclonal antibody with high binding activity on malignant compared to normal colon sections, was grown in large quantities in serum-free medium. After ammonium sulphate precipitation the antibody was purified by ion-exchange chromatography and labelled with 131I. Radiolabelled antibody was administered i.v. to 27 patients with colonic and other tumours. Scintigrams were obtained at 48 h. Computerised subtraction of the blood pool image revealed localised areas of uptake corresponding with areas of known disease in 13/16 patients with colorectal carcinoma and 3/4 patients with breast cancer.

摘要

通过用人结肠癌细胞膜免疫大鼠并将脾淋巴细胞与大鼠骨髓瘤细胞融合来制备大鼠单克隆抗体。用从结直肠癌组织制备的膜进行结合试验筛选杂交瘤上清液。一种杂交瘤上清液,含有一种与正常结肠切片相比对恶性肿瘤具有高结合活性的单克隆抗体,在无血清培养基中大量培养。硫酸铵沉淀后,抗体通过离子交换色谱法纯化并用131I标记。将放射性标记的抗体静脉注射给27例患有结肠癌和其他肿瘤的患者。在48小时时获得闪烁扫描图。对血池图像进行计算机减法处理后发现,16例结肠癌患者中的13例和4例乳腺癌患者中的3例,其摄取的局部区域与已知疾病区域相对应。

https://cdn.ncbi.nlm.nih.gov/pmc/blobs/1559/2011266/87b4a8998981/brjcancer00425-0078-a.jpg

文献检索

告别复杂PubMed语法,用中文像聊天一样搜索,搜遍4000万医学文献。AI智能推荐,让科研检索更轻松。

立即免费搜索

文件翻译

保留排版,准确专业,支持PDF/Word/PPT等文件格式,支持 12+语言互译。

免费翻译文档

深度研究

AI帮你快速写综述,25分钟生成高质量综述,智能提取关键信息,辅助科研写作。

立即免费体验