• 文献检索
  • 文档翻译
  • 深度研究
  • 学术资讯
  • Suppr Zotero 插件Zotero 插件
  • 邀请有礼
  • 套餐&价格
  • 历史记录
应用&插件
Suppr Zotero 插件Zotero 插件浏览器插件Mac 客户端Windows 客户端微信小程序
定价
高级版会员购买积分包购买API积分包
服务
文献检索文档翻译深度研究API 文档MCP 服务
关于我们
关于 Suppr公司介绍联系我们用户协议隐私条款
关注我们

Suppr 超能文献

核心技术专利:CN118964589B侵权必究
粤ICP备2023148730 号-1Suppr @ 2026

文献检索

告别复杂PubMed语法,用中文像聊天一样搜索,搜遍4000万医学文献。AI智能推荐,让科研检索更轻松。

立即免费搜索

文件翻译

保留排版,准确专业,支持PDF/Word/PPT等文件格式,支持 12+语言互译。

免费翻译文档

深度研究

AI帮你快速写综述,25分钟生成高质量综述,智能提取关键信息,辅助科研写作。

立即免费体验

用于检测人类肿瘤的单克隆抗体:一种实验方法。

Monoclonal antibodies to detect human tumours: an experimental approach.

作者信息

Moshakis V, McIlhinney R, Raghavan D, Neville A M

出版信息

J Clin Pathol. 1981 Mar;34(3):314-9. doi: 10.1136/jcp.34.3.314.

DOI:10.1136/jcp.34.3.314
PMID:6785322
原文链接:https://pmc.ncbi.nlm.nih.gov/articles/PMC1146483/
Abstract

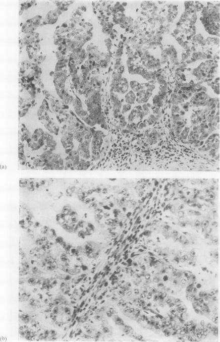
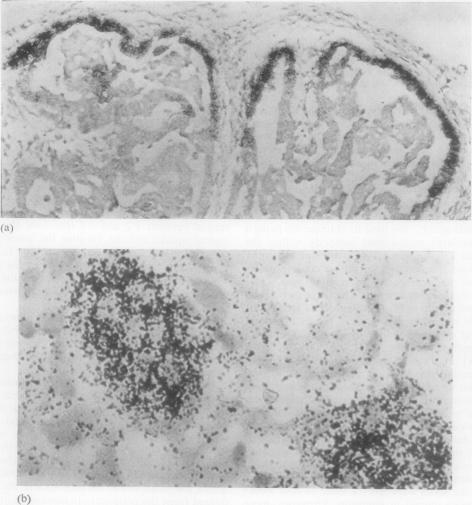
The use of monoclonal antibodies which can be raised to antigens of choice offers a selective and specific approach for the detection of tumours both in vivo and at a cellular level in biopsy specimens. We demonstrate that a monoclonal antibody raised to human teratoma will localise in a teratoma, growing as a xenograft in immune-suppressed mice.

摘要

能够针对选定抗原产生的单克隆抗体,为在体内和活检标本的细胞水平上检测肿瘤提供了一种选择性和特异性的方法。我们证明,一种针对人畸胎瘤产生的单克隆抗体将定位在作为异种移植瘤生长于免疫抑制小鼠体内的畸胎瘤中。

https://cdn.ncbi.nlm.nih.gov/pmc/blobs/9fa4/1146483/81a9abcabfaa/jclinpath00475-0090-a.jpg
https://cdn.ncbi.nlm.nih.gov/pmc/blobs/9fa4/1146483/344eefb8d1d1/jclinpath00475-0087-a.jpg
https://cdn.ncbi.nlm.nih.gov/pmc/blobs/9fa4/1146483/979bcc5d16eb/jclinpath00475-0088-a.jpg
https://cdn.ncbi.nlm.nih.gov/pmc/blobs/9fa4/1146483/81a9abcabfaa/jclinpath00475-0090-a.jpg
https://cdn.ncbi.nlm.nih.gov/pmc/blobs/9fa4/1146483/344eefb8d1d1/jclinpath00475-0087-a.jpg
https://cdn.ncbi.nlm.nih.gov/pmc/blobs/9fa4/1146483/979bcc5d16eb/jclinpath00475-0088-a.jpg
https://cdn.ncbi.nlm.nih.gov/pmc/blobs/9fa4/1146483/81a9abcabfaa/jclinpath00475-0090-a.jpg

相似文献

1
Monoclonal antibodies to detect human tumours: an experimental approach.用于检测人类肿瘤的单克隆抗体:一种实验方法。
J Clin Pathol. 1981 Mar;34(3):314-9. doi: 10.1136/jcp.34.3.314.
2
Cellular distribution of monoclonal antibody in human tumours after i.v. administration.静脉注射后单克隆抗体在人类肿瘤中的细胞分布。
Br J Cancer. 1981 Nov;44(5):663-9. doi: 10.1038/bjc.1981.251.
3
Localization of human tumour xenografts after i.v. administration of radiolabeled monoclonal antibodies.静脉注射放射性标记单克隆抗体后人类肿瘤异种移植的定位
Br J Cancer. 1981 Jul;44(1):91-9. doi: 10.1038/bjc.1981.153.
4
In vivo localization of anti-osteogenic sarcoma 791T monoclonal antibody in osteogenic sarcoma xenografts.抗骨肉瘤791T单克隆抗体在骨肉瘤异种移植瘤中的体内定位
Int J Cancer. 1982 Jul 15;30(1):75-85. doi: 10.1002/ijc.2910300114.
5
Detection of the circulating antibodies to teratocarcinomadefined antigens in patients with testicular tumours.睾丸肿瘤患者中针对畸胎癌特异性抗原的循环抗体检测。
Clin Exp Immunol. 1980 Jun;40(3):438-44.
6
Tumor location detected with radioactively labeled monoclonal antibody and external scintigraphy.通过放射性标记的单克隆抗体和外部闪烁扫描法检测肿瘤位置。
Science. 1979 Nov 16;206(4420):844-7. doi: 10.1126/science.493985.
7
The site of binding of anti-CEA antibodies to tumour CEA in vivo: an immunocytochemical and autoradiographic approach.体内抗癌胚抗原抗体与肿瘤癌胚抗原的结合位点:免疫细胞化学和放射自显影方法
Br J Cancer. 1982 Jul;46(1):18-21. doi: 10.1038/bjc.1982.159.
8
Antibody response to embryonal carcinoma cells in syngeneic mice.同基因小鼠对胚胎癌细胞的抗体反应。
Eur J Immunol. 1979 Dec;9(12):932-7. doi: 10.1002/eji.1830091205.
9
Serological identification and cellular distribution of three F9 antigen components.三种F9抗原成分的血清学鉴定及细胞分布
J Exp Med. 1980 Dec 1;152(6):1497-505. doi: 10.1084/jem.152.6.1497.
10
Localization of biotinylated monoclonal antibody in nude mice bearing subcutaneous and intraperitoneal human tumour xenografts.
Int J Cancer Suppl. 1988;3:30-3. doi: 10.1002/ijc.2910410807.

引用本文的文献

1
Stability and in vivo behavior of Rh[16aneS4-diol]211 at complex: a potential precursor for astatine radiopharmaceuticals.Rh[16aneS4 - 二醇]₂¹¹配合物的稳定性及体内行为:一种砹放射性药物的潜在前体。
Nucl Med Biol. 2015 May;42(5):439-445. doi: 10.1016/j.nucmedbio.2014.12.011. Epub 2014 Dec 23.
2
Expression of HMP/AN2, a melanoma associated antigen, in murine cerebral gliomas: potential for radioimmunotargeting.黑色素瘤相关抗原HMP/AN2在小鼠脑胶质瘤中的表达:放射免疫靶向治疗的潜力
J Neurooncol. 2009 Aug;94(1):21-30. doi: 10.1007/s11060-009-9798-3. Epub 2009 Jan 20.
3
Tumor labeling in vivo using cyanine-conjugated monoclonal antibodies.

本文引用的文献

1
THE PREPARATION OF I-131-LABELLED HUMAN GROWTH HORMONE OF HIGH SPECIFIC RADIOACTIVITY.高比放射性碘-131标记人生长激素的制备
Biochem J. 1963 Oct;89(1):114-23. doi: 10.1042/bj0890114.
2
Localisation of tumour deposits by external scanning after injection of radiolabelled anti-carcinoembryonic antigen.注射放射性标记的抗癌胚抗原后通过外部扫描对肿瘤沉积物进行定位。
Br Med J. 1980 Jan 26;280(6209):220-2. doi: 10.1136/bmj.280.6209.220.
3
Potential pathological application of immunocytochemical methods to the detection of micrometastases.
使用菁共轭单克隆抗体进行体内肿瘤标记
Cancer Immunol Immunother. 1995 Oct;41(4):257-63. doi: 10.1007/BF01517001.
4
Localization of human breast-carcinoma xenografts using antibodies to carcinoembryonic antigen.利用癌胚抗原抗体对人乳腺癌异种移植瘤进行定位
Br J Cancer. 1981 May;43(5):575-81. doi: 10.1038/bjc.1981.86.
5
Detection of human cancer in an animal model using radio-labelled tumour-associated monoclonal antibodies.使用放射性标记的肿瘤相关单克隆抗体在动物模型中检测人类癌症。
Br J Cancer. 1982 Jul;46(1):1-8. doi: 10.1038/bjc.1982.157.
6
Monoclonal antibodies in oncology.肿瘤学中的单克隆抗体
J Clin Pathol. 1982 Apr;35(4):369-75. doi: 10.1136/jcp.35.4.369.
7
Localization of human tumour xenografts after i.v. administration of radiolabeled monoclonal antibodies.静脉注射放射性标记单克隆抗体后人类肿瘤异种移植的定位
Br J Cancer. 1981 Jul;44(1):91-9. doi: 10.1038/bjc.1981.153.
8
Scanning for tumours with radiolabelled antibodies: a review.用放射性标记抗体扫描肿瘤:综述
J R Soc Med. 1983 Nov;76(11):957-60. doi: 10.1177/014107688307601113.
9
Antitumor monoclonal antibodies for radioimmunodetection of tumors and drug targeting.用于肿瘤放射免疫检测和药物靶向的抗肿瘤单克隆抗体。
Cancer Metastasis Rev. 1983;2(1):89-106. doi: 10.1007/BF00046907.
10
Localisation of metastatic carcinoma by a radiolabelled monoclonal antibody.用放射性标记单克隆抗体对转移性癌进行定位
Br J Cancer. 1983 Feb;47(2):253-9. doi: 10.1038/bjc.1983.33.
免疫细胞化学方法在微转移检测中的潜在病理学应用。
Cancer Res. 1980 Aug;40(8 Pt 2):3079-82.
4
Radioimmunodetection of cancer with radioactive antibodies to carcinoembryonic antigen.用癌胚抗原放射性抗体进行癌症的放射免疫检测。
Cancer Res. 1980 Aug;40(8 Pt 2):2984-92.
5
Assessment of biochemical tests to screen for metastases in patients with breast cancer.评估用于筛查乳腺癌患者转移情况的生化检测
Lancet. 1980 Feb 9;1(8163):296-7. doi: 10.1016/s0140-6736(80)90790-4.
6
Continuous cultures of fused cells secreting antibody of predefined specificity.分泌预定义特异性抗体的融合细胞的连续培养物。
Nature. 1975 Aug 7;256(5517):495-7. doi: 10.1038/256495a0.
7
Tumor location detected with radioactively labeled monoclonal antibody and external scintigraphy.通过放射性标记的单克隆抗体和外部闪烁扫描法检测肿瘤位置。
Science. 1979 Nov 16;206(4420):844-7. doi: 10.1126/science.493985.
8
Use of radiolabeled antibodies to carcinoembryonic antigen for the detection and localization of diverse cancers by external photoscanning.
N Engl J Med. 1978 Jun 22;298(25):1384-6. doi: 10.1056/NEJM197806222982503.