Suppr超能文献

急性、慢性和复发性实验性结肠炎中的非淋巴细胞和淋巴细胞

Non-lymphoid and lymphoid cells in acute, chronic and relapsing experimental colitis.

作者信息

Palmen M J, Dieleman L A, van der Ende M B, Uyterlinde A, Peña A S, Meuwissen S G, van Rees E P

机构信息

Department of Cell Biology/Immunology, Faculty of Medicine, Vrije Universiteit, Amsterdam, The Netherlands.

出版信息

Clin Exp Immunol. 1995 Feb;99(2):226-32. doi: 10.1111/j.1365-2249.1995.tb05537.x.

Abstract

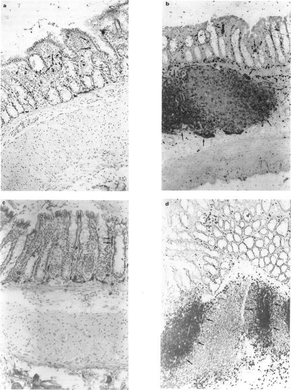
In rodents, intracolonic administration of ethanol 30% induces an acute colitis, while administration of 2,4,6-trinitrobenzene sulphonic acid (TNBS) in ethanol induces a longer lasting colitis. In the acute and chronic stages of experimental colitis, lymphoid and non-lymphoid cells were studied in the colon by immunohistochemistry. During the acute inflammation a high damage score of the colon was observed, which was related to an increase in the number of macrophages and granulocytes. Also a change in distributional patterns of macrophage subpopulations was found. The chronic stage of TNBS-ethanol-induced colitis was characterized by an increase in the number of lymphocytes, especially T cells. These data suggest that macrophages and granulocytes are important in the acute phase of experimental colitis, while lymphocytes play a pivotal role in the chronic stage. As most inflammatory bowel disease (IBD) patients have relapses during the chronic disease, we attempted to induce a relapse during experimental colitis by giving a second i.p. or s.c. dose of TNBS. This resulted in increased damage scores of the colon, new areas of ulceration and a further increase in macrophage numbers. No effect on the number of granulocytes was seen. These results indicate that it is possible to mimic relapses in experimental colitis by a second administration of TNBS, and suggest that the rats had been sensitized by the first dose of TNBS, given into the colon.

摘要

在啮齿动物中,结肠内给予30%的乙醇会诱发急性结肠炎,而在乙醇中加入2,4,6-三硝基苯磺酸(TNBS)则会诱发持续时间更长的结肠炎。在实验性结肠炎的急性和慢性阶段,通过免疫组织化学对结肠中的淋巴细胞和非淋巴细胞进行了研究。在急性炎症期间,观察到结肠的损伤评分很高,这与巨噬细胞和粒细胞数量的增加有关。还发现巨噬细胞亚群的分布模式发生了变化。TNBS-乙醇诱导的结肠炎慢性阶段的特征是淋巴细胞数量增加,尤其是T细胞。这些数据表明,巨噬细胞和粒细胞在实验性结肠炎的急性期很重要,而淋巴细胞在慢性期起关键作用。由于大多数炎症性肠病(IBD)患者在慢性病期间会复发,我们试图通过腹腔内或皮下再次注射TNBS来诱导实验性结肠炎复发。这导致结肠损伤评分增加、出现新的溃疡区域以及巨噬细胞数量进一步增加。未观察到对粒细胞数量的影响。这些结果表明,通过再次给予TNBS可以模拟实验性结肠炎的复发,并表明大鼠已被首次注入结肠的TNBS致敏。

https://cdn.ncbi.nlm.nih.gov/pmc/blobs/32b8/1534285/5881714052ea/clinexpimmunol00012-0092-a.jpg

文献AI研究员

20分钟写一篇综述,助力文献阅读效率提升50倍。

立即体验

用中文搜PubMed

大模型驱动的PubMed中文搜索引擎

马上搜索

文档翻译

学术文献翻译模型,支持多种主流文档格式。

立即体验