Girardin H, Latgé J P, Srikantha T, Morrow B, Soll D R
Laboratoire du Génie de l'Hygiène et des Procedés Alimentaires, Institut National de Recherche Agronomique, Massy, France.
J Clin Microbiol. 1993 Jun;31(6):1547-54. doi: 10.1128/jcm.31.6.1547-1554.1993.
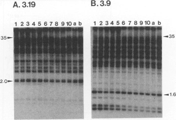
Several different DNA fragments containing nonribosomal repetitive sequences have been isolated from the genome of Aspergillus fumigatus and tested as potential DNA fingerprinting probes. Eight of these clones generate 19 or more bands when hybridized to EcoRI-digested DNA of a reference strain in Southern blots, and they fall into four families. Individual clones from two families were tested and were found to generate complex Southern blot hybridization patterns which are stable within a single strain over many generations, which vary among unrelated strains, and which are amenable to computer-assisted analyses involving large numbers of strains in epidemiological studies. Clones from three of the families clustered a majority of test strains in a similar fashion in individual dendrograms based on similarity coefficients computed from band positions in Southern blot hybridization patterns. These clones therefore fulfill the major requisites for effective DNA fingerprinting probes.
从烟曲霉基因组中分离出了几个含有非核糖体重复序列的不同DNA片段,并作为潜在的DNA指纹图谱探针进行了测试。当这些克隆中的8个与参考菌株经EcoRI消化的DNA在Southern印迹中杂交时,会产生19条或更多条带,它们可分为四个家族。对来自两个家族的单个克隆进行了测试,发现它们产生复杂的Southern印迹杂交模式,这种模式在单个菌株的许多代中是稳定的,在不相关的菌株之间有所不同,并且适用于在流行病学研究中涉及大量菌株的计算机辅助分析。基于Southern印迹杂交模式中条带位置计算出的相似系数,来自三个家族的克隆在单个树状图中以类似的方式将大多数测试菌株聚类。因此,这些克隆满足了有效DNA指纹图谱探针的主要要求。