Franchini G, Mulloy J C, Koralnik I J, Lo Monico A, Sparkowski J J, Andresson T, Goldstein D J, Schlegel R
Laboratory of Tumor Cell Biology, National Cancer Institute, Bethesda, Maryland 20892.
J Virol. 1993 Dec;67(12):7701-4. doi: 10.1128/JVI.67.12.7701-7704.1993.
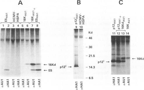
The human T-cell leukemia/lymphotropic virus type I (HTLV-I) induces T-cell leukemia and transforms human T cells in vitro. A recently identified protein with a molecular weight of 12,000 (12K) (p12I), encoded by single- and double-spliced mRNAs transcribed from the 3' end of the HTLV-I genome, has been shown to localize in the perinuclear compartment and in the cellular endomembranes. The p12I protein exhibits significant amino acid sequence similarity to the E5 oncoprotein of bovine papillomavirus type 1 (BPV-1). Both proteins are very hydrophobic, contain a glutamine residue in the middle of a potential transmembrane region(s), and are localized in similar cellular compartments. Because of these observations, we investigated whether the p12I resemblance to E5 correlated with a similarity in their biological behavior. We expressed the p12I protein to evaluate its ability to functionally cooperate with the BPV-1 E5 oncoprotein and to bind to a cellular target of the E5 protein, the 16K component of the vacuolar H+ ATPase. Cotransfection of the mouse C127 cell line with the p12I and E5 cDNAs showed that although p12I alone could not induce focus formation, it strongly potentiated the transforming activity of E5. In addition, the p12I protein bound to the 16K protein as efficiently as the E5 protein. These findings might provide new insight for potential mechanisms of HTLV-I transformation and suggest that p12I and E5 represent an example of convergent evolution between RNA and DNA viruses.
人类I型嗜T细胞白血病/淋巴瘤病毒(HTLV-I)可诱发T细胞白血病并在体外转化人类T细胞。最近鉴定出一种分子量为12,000(12K)的蛋白质(p12I),它由从HTLV-I基因组3'端转录的单剪接和双剪接mRNA编码,已被证明定位于核周区室和细胞内膜。p12I蛋白与1型牛乳头瘤病毒(BPV-1)的E5癌蛋白表现出显著的氨基酸序列相似性。这两种蛋白都具有很强的疏水性,在潜在跨膜区的中间含有一个谷氨酰胺残基,并且定位于相似的细胞区室。基于这些观察结果,我们研究了p12I与E5的相似性是否与其生物学行为的相似性相关。我们表达了p12I蛋白,以评估其与BPV-1 E5癌蛋白在功能上协同作用的能力,以及与E5蛋白的细胞靶点——液泡H⁺ATP酶的16K组分结合的能力。将小鼠C127细胞系与p12I和E5 cDNA共转染表明,虽然单独的p12I不能诱导灶形成,但它能强烈增强E5的转化活性。此外,p12I蛋白与16K蛋白的结合效率与E5蛋白相同。这些发现可能为HTLV-I转化的潜在机制提供新的见解,并表明p12I和E5代表了RNA病毒和DNA病毒趋同进化的一个例子。