• 文献检索
  • 文档翻译
  • 深度研究
  • 学术资讯
  • Suppr Zotero 插件Zotero 插件
  • 邀请有礼
  • 套餐&价格
  • 历史记录
应用&插件
Suppr Zotero 插件Zotero 插件浏览器插件Mac 客户端Windows 客户端微信小程序
定价
高级版会员购买积分包购买API积分包
服务
文献检索文档翻译深度研究API 文档MCP 服务
关于我们
关于 Suppr公司介绍联系我们用户协议隐私条款
关注我们

Suppr 超能文献

核心技术专利:CN118964589B侵权必究
粤ICP备2023148730 号-1Suppr @ 2026

文献检索

告别复杂PubMed语法,用中文像聊天一样搜索,搜遍4000万医学文献。AI智能推荐,让科研检索更轻松。

立即免费搜索

文件翻译

保留排版,准确专业,支持PDF/Word/PPT等文件格式,支持 12+语言互译。

免费翻译文档

深度研究

AI帮你快速写综述,25分钟生成高质量综述,智能提取关键信息,辅助科研写作。

立即免费体验

大肠杆菌K-12中编码第二种转酮醇酶的tktB基因的鉴定与表征。

Identification and characterization of the tktB gene encoding a second transketolase in Escherichia coli K-12.

作者信息

Iida A, Teshiba S, Mizobuchi K

机构信息

Tokyo Research Laboratories, Kyowa Hakko Kogyo Co., Ltd., Machida, Japan.

出版信息

J Bacteriol. 1993 Sep;175(17):5375-83. doi: 10.1128/jb.175.17.5375-5383.1993.

DOI:10.1128/jb.175.17.5375-5383.1993
PMID:8396116
原文链接:https://pmc.ncbi.nlm.nih.gov/articles/PMC206592/
Abstract

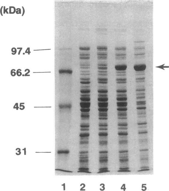
We isolated a transposon Tn10 insertion mutant of Escherichia coli K-12 which could not grow on MacConkey plates containing D-ribose. Characterization of the mutant revealed that the level of the transketolase activity was reduced to one-third of that of the wild type. The mutation was mapped at 63.5 min on the E. coli genetic map, in which the transketolase gene (tkt) had been mapped. A multicopy suppressor gene which complemented the tkt mutation was cloned on a 7.8-kb PstI fragment. The cloned gene was located at 53 min on the chromosome. Subcloning and sequencing of a 2.7-kb fragment containing the suppressor gene identified an open reading frame encoding a polypeptide of 667 amino acids with a calculated molecular weight of 72,973. Overexpression of the protein and determination of its N-terminal amino acid sequence defined unambiguously the translational start site of the gene. The deduced amino acid sequence showed similarity to sequences of transketolases from Saccharomyces cerevisiae and Rhodobacter sphaeroides. In addition, the level of the transketolase activity increased in strains carrying the gene in multicopy. Therefore, the gene encoding this transketolase was designated tktB and the gene formerly called tkt was renamed tktA. Analysis of the phenotypes of the strains containing tktA, tktB, or tktA tktB mutations indicated that tktA and tktB were responsible for major and minor activities, respectively, of transketolase in E. coli.

摘要

我们分离出了一株大肠杆菌K-12的转座子Tn10插入突变体,该突变体在含有D-核糖的麦康凯平板上无法生长。对该突变体的特性分析表明,转酮醇酶活性水平降至野生型的三分之一。该突变位于大肠杆菌遗传图谱上63.5分钟处,转酮醇酶基因(tkt)也定位于此。一个能互补tkt突变的多拷贝抑制基因被克隆在一个7.8 kb的PstI片段上。克隆基因位于染色体上53分钟处。对包含抑制基因的一个2.7 kb片段进行亚克隆和测序,鉴定出一个开放阅读框,其编码一个由667个氨基酸组成的多肽,计算分子量为72973。该蛋白的过表达及其N端氨基酸序列的测定明确确定了该基因的翻译起始位点。推导的氨基酸序列与酿酒酵母和球形红杆菌的转酮醇酶序列相似。此外,携带该基因多拷贝的菌株中转酮醇酶活性水平增加。因此,编码这种转酮醇酶的基因被命名为tktB,之前称为tkt的基因被重新命名为tktA。对含有tktA、tktB或tktA tktB突变的菌株的表型分析表明,tktA和tktB分别负责大肠杆菌中转酮醇酶的主要和次要活性。

https://cdn.ncbi.nlm.nih.gov/pmc/blobs/9286/206592/5b99dd47f8a2/jbacter00059-0094-b.jpg
https://cdn.ncbi.nlm.nih.gov/pmc/blobs/9286/206592/7c908feeb397/jbacter00059-0091-a.jpg
https://cdn.ncbi.nlm.nih.gov/pmc/blobs/9286/206592/93bfd8c2649e/jbacter00059-0094-a.jpg
https://cdn.ncbi.nlm.nih.gov/pmc/blobs/9286/206592/5b99dd47f8a2/jbacter00059-0094-b.jpg
https://cdn.ncbi.nlm.nih.gov/pmc/blobs/9286/206592/7c908feeb397/jbacter00059-0091-a.jpg
https://cdn.ncbi.nlm.nih.gov/pmc/blobs/9286/206592/93bfd8c2649e/jbacter00059-0094-a.jpg
https://cdn.ncbi.nlm.nih.gov/pmc/blobs/9286/206592/5b99dd47f8a2/jbacter00059-0094-b.jpg

相似文献

1
Identification and characterization of the tktB gene encoding a second transketolase in Escherichia coli K-12.大肠杆菌K-12中编码第二种转酮醇酶的tktB基因的鉴定与表征。
J Bacteriol. 1993 Sep;175(17):5375-83. doi: 10.1128/jb.175.17.5375-5383.1993.
2
Nucleotide sequence of the Escherichia coli K-12 transketolase (tkt) gene.大肠杆菌K-12转酮醇酶(tkt)基因的核苷酸序列。
Biochim Biophys Acta. 1993 Nov 16;1216(2):307-10. doi: 10.1016/0167-4781(93)90161-6.
3
Isolation of Rhodobacter capsulatus transketolase: cloning and sequencing of its structural tktA gene.荚膜红细菌转酮醇酶的分离:其结构基因tktA的克隆与测序
Gene. 1996 Feb 22;169(1):81-4. doi: 10.1016/0378-1119(95)00796-2.
4
RpoS-mediated growth-dependent expression of the Escherichia coli tkt genes encoding transketolases isoenzymes.RpoS介导的编码转酮醇酶同工酶的大肠杆菌tkt基因的生长依赖性表达。
Curr Microbiol. 2005 Jun;50(6):314-8. doi: 10.1007/s00284-005-4501-1. Epub 2005 Jun 13.
5
In silico analysis of tkt1 from avian pathogenic Escherichia coli and its virulence evaluation in chickens.鸡源致病性大肠杆菌 tkt1 的计算机分析及其在鸡中的致病性评估。
Res Microbiol. 2013 May;164(4):310-8. doi: 10.1016/j.resmic.2013.01.003. Epub 2013 Jan 30.
6
An Escherichia coli K-12 tktA tktB mutant deficient in transketolase activity requires pyridoxine (vitamin B6) as well as the aromatic amino acids and vitamins for growth.一种缺乏转酮醇酶活性的大肠杆菌K-12 tktA tktB突变体生长需要吡哆醇(维生素B6)以及芳香族氨基酸和维生素。
J Bacteriol. 1994 Oct;176(19):6134-8. doi: 10.1128/jb.176.19.6134-6138.1994.
7
Two open reading frames adjacent to the Escherichia coli K-12 transketolase (tkt) gene show high similarity to the mannitol phosphotransferase system enzymes from Escherichia coli and various gram-positive bacteria.与大肠杆菌K-12转酮醇酶(tkt)基因相邻的两个开放阅读框与来自大肠杆菌和各种革兰氏阳性菌的甘露醇磷酸转移酶系统酶具有高度相似性。
Biochim Biophys Acta. 1993 Aug 20;1158(1):103-6. doi: 10.1016/0304-4165(93)90103-f.
8
Ribose catabolism of Escherichia coli: characterization of the rpiB gene encoding ribose phosphate isomerase B and of the rpiR gene, which is involved in regulation of rpiB expression.大肠杆菌的核糖分解代谢:编码磷酸核糖异构酶B的rpiB基因及参与rpiB表达调控的rpiR基因的特性
J Bacteriol. 1996 Feb;178(4):1003-11. doi: 10.1128/jb.178.4.1003-1011.1996.
9
Synthetic growth phenotypes of Escherichia coli lacking ppGpp and transketolase A (tktA) are due to ppGpp-mediated transcriptional regulation of tktB.缺乏鸟苷四磷酸(ppGpp)和转酮醇酶A(tktA)的大肠杆菌的合成生长表型是由于ppGpp介导的tktB转录调控所致。
Mol Microbiol. 2008 Aug;69(4):882-94. doi: 10.1111/j.1365-2958.2008.06317.x. Epub 2008 Jun 4.
10
Characterization of a second lysine decarboxylase isolated from Escherichia coli.从大肠杆菌中分离出的第二种赖氨酸脱羧酶的特性分析。
J Bacteriol. 1997 Jul;179(14):4486-92. doi: 10.1128/jb.179.14.4486-4492.1997.

引用本文的文献

1
Gene-level analysis of core carbohydrate metabolism across the Enterobacteriaceae pan-genome.肠杆菌科泛基因组中核心碳水化合物代谢的基因水平分析。
Commun Biol. 2025 Aug 18;8(1):1241. doi: 10.1038/s42003-025-08640-5.
2
Effect of dithiocyano-methane on hexose monophosphate pathway in the respiratory metabolism of Escherichia coli.二硫氰基甲烷对大肠杆菌呼吸代谢中磷酸己糖途径的影响。
AMB Express. 2020 Nov 11;10(1):205. doi: 10.1186/s13568-020-01142-z.
3
serovar Typhimurium has three transketolase enzymes contributing to the pentose phosphate pathway.

本文引用的文献

1
A gas-liquid solid phase peptide and protein sequenator.一种气-液-固相肽和蛋白质测序仪。
J Biol Chem. 1981 Aug 10;256(15):7990-7.
2
Transketolase from human red blood cells.来自人类红细胞的转酮醇酶。
Methods Enzymol. 1982;90 Pt E:223-8. doi: 10.1016/s0076-6879(82)90129-x.
3
Pattern recognition in nucleic acid sequences. I. A general method for finding local homologies and symmetries.核酸序列中的模式识别。I. 寻找局部同源性和对称性的通用方法。
鼠伤寒血清型有三种转酮醇酶参与戊糖磷酸途径。
J Biol Chem. 2018 Jul 20;293(29):11271-11282. doi: 10.1074/jbc.RA118.003661. Epub 2018 May 30.
4
Characterization of Mutations That Affect the Nonoxidative Pentose Phosphate Pathway in Sinorhizobium meliloti.苜蓿中华根瘤菌中影响非氧化戊糖磷酸途径的突变的表征
J Bacteriol. 2017 Dec 20;200(2). doi: 10.1128/JB.00436-17. Print 2018 Jan 15.
5
Improvement of L-phenylalanine production from glycerol by recombinant Escherichia coli strains: the role of extra copies of glpK, glpX, and tktA genes.重组大肠杆菌菌株提高甘油生产L-苯丙氨酸的研究:glpK、glpX和tktA基因额外拷贝的作用
Microb Cell Fact. 2014 Jul 11;13(1):96. doi: 10.1186/s12934-014-0096-1.
6
Characterization of two transketolases encoded on the chromosome and the plasmid pBM19 of the facultative ribulose monophosphate cycle methylotroph Bacillus methanolicus.鉴定兼性核酮糖单磷酸循环甲基营养型芽孢杆菌染色体和质粒 pBM19 上编码的两种转酮醇酶。
BMC Microbiol. 2014 Jan 9;14:7. doi: 10.1186/1471-2180-14-7.
7
RELATCH: relative optimality in metabolic networks explains robust metabolic and regulatory responses to perturbations.再锁:代谢网络中的相对最优性解释了对干扰的稳健代谢和调节响应。
Genome Biol. 2012 Jul 5;13(9):R78. doi: 10.1186/gb-2012-13-9-r78.
8
A functional genomics approach to establish the complement of carbohydrate transporters in Streptococcus pneumoniae.采用功能基因组学方法研究肺炎链球菌中的碳水化合物转运蛋白。
PLoS One. 2012;7(3):e33320. doi: 10.1371/journal.pone.0033320. Epub 2012 Mar 13.
9
Identification of Avian pathogenic Escherichia coli genes that are induced in vivo during infection in chickens.鉴定在鸡体内感染过程中诱导的禽致病性大肠杆菌基因。
Appl Environ Microbiol. 2012 May;78(9):3343-51. doi: 10.1128/AEM.07677-11. Epub 2012 Feb 17.
10
Novel roles of cAMP receptor protein (CRP) in regulation of transport and metabolism of carbon sources.环腺苷酸受体蛋白(CRP)在调控碳源运输和代谢中的新作用。
PLoS One. 2011;6(6):e20081. doi: 10.1371/journal.pone.0020081. Epub 2011 Jun 1.
Nucleic Acids Res. 1982 Jan 11;10(1):247-63. doi: 10.1093/nar/10.1.247.
4
Repetitive extragenic palindromic sequences: a major component of the bacterial genome.重复基因外回文序列:细菌基因组的主要组成部分。
Cell. 1984 Jul;37(3):1015-26. doi: 10.1016/0092-8674(84)90436-7.
5
Molecular cloning and characterization of genes required for ribose transport and utilization in Escherichia coli K-12.大肠杆菌K-12中核糖转运与利用所需基因的分子克隆及特性分析。
J Bacteriol. 1984 May;158(2):674-82. doi: 10.1128/jb.158.2.674-682.1984.
6
The pUC plasmids, an M13mp7-derived system for insertion mutagenesis and sequencing with synthetic universal primers.pUC质粒,一种源自M13mp7的用于插入诱变和使用合成通用引物进行测序的系统。
Gene. 1982 Oct;19(3):259-68. doi: 10.1016/0378-1119(82)90015-4.
7
A protein sequenator.蛋白质测序仪。
Eur J Biochem. 1967 Mar;1(1):80-91. doi: 10.1007/978-3-662-25813-2_14.
8
Cleavage of structural proteins during the assembly of the head of bacteriophage T4.在噬菌体T4头部组装过程中结构蛋白的切割
Nature. 1970 Aug 15;227(5259):680-5. doi: 10.1038/227680a0.
9
Lipopolysaccharide and aldoheptose biosynthesis in transketolase mutants of Salmonella typhimurium.鼠伤寒沙门氏菌转酮醇酶突变体中脂多糖和醛庚糖的生物合成
Proc Natl Acad Sci U S A. 1971 Aug;68(8):1673-7. doi: 10.1073/pnas.68.8.1673.
10
Genetic recombination in Escherichia coli: the role of exonuclease I.大肠杆菌中的基因重组:核酸外切酶I的作用。
Proc Natl Acad Sci U S A. 1971 Apr;68(4):824-7. doi: 10.1073/pnas.68.4.824.