• 文献检索
  • 文档翻译
  • 深度研究
  • 学术资讯
  • Suppr Zotero 插件Zotero 插件
  • 邀请有礼
  • 套餐&价格
  • 历史记录
应用&插件
Suppr Zotero 插件Zotero 插件浏览器插件Mac 客户端Windows 客户端微信小程序
定价
高级版会员购买积分包购买API积分包
服务
文献检索文档翻译深度研究API 文档MCP 服务
关于我们
关于 Suppr公司介绍联系我们用户协议隐私条款
关注我们

Suppr 超能文献

核心技术专利:CN118964589B侵权必究
粤ICP备2023148730 号-1Suppr @ 2026

文献检索

告别复杂PubMed语法,用中文像聊天一样搜索,搜遍4000万医学文献。AI智能推荐,让科研检索更轻松。

立即免费搜索

文件翻译

保留排版,准确专业,支持PDF/Word/PPT等文件格式,支持 12+语言互译。

免费翻译文档

深度研究

AI帮你快速写综述,25分钟生成高质量综述,智能提取关键信息,辅助科研写作。

立即免费体验

从荚膜组织胞浆菌中快速提取DNA:基于任意引物聚合酶链反应的流行病学和临床研究方法

Fast DNA isolation from Histoplasma capsulatum: methodology for arbitrary primer polymerase chain reaction-based epidemiological and clinical studies.

作者信息

Woods J P, Kersulyte D, Goldman W E, Berg D E

机构信息

Department of Molecular Microbiology, Washington University Medical School, St. Louis, Missouri 63110.

出版信息

J Clin Microbiol. 1993 Feb;31(2):463-4. doi: 10.1128/jcm.31.2.463-464.1993.

DOI:10.1128/jcm.31.2.463-464.1993
PMID:8432840
原文链接:https://pmc.ncbi.nlm.nih.gov/articles/PMC262791/
Abstract

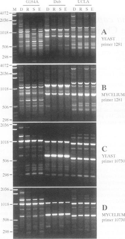
The arbitrary primer polymerase chain reaction (also called random amplified polymorphic DNA, or RAPD) is a DNA fingerprinting method that provides an efficient, sensitive way of discriminating between independent isolates of Histoplasma capsulatum, but its widespread application has been hampered by the arduous 2-day procedure traditionally used to extract DNA from H. capsulatum. We present here a quick (approximately 2-h) extraction method and show that the resultant DNA is suitable for sensitive and reproducible identification of individual strains of this pathogenic fungus.

摘要

任意引物聚合酶链反应(也称为随机扩增多态性DNA,即RAPD)是一种DNA指纹识别方法,它为鉴别荚膜组织胞浆菌的独立分离株提供了一种高效、灵敏的方式,但其广泛应用一直受到传统上用于从荚膜组织胞浆菌中提取DNA的耗时两天的繁琐程序的阻碍。我们在此介绍一种快速(约2小时)提取方法,并表明所得DNA适用于对这种致病真菌的各个菌株进行灵敏且可重复的鉴定。

https://cdn.ncbi.nlm.nih.gov/pmc/blobs/0026/262791/a8050a04f40b/jcm00014-0304-a.jpg
https://cdn.ncbi.nlm.nih.gov/pmc/blobs/0026/262791/a8050a04f40b/jcm00014-0304-a.jpg
https://cdn.ncbi.nlm.nih.gov/pmc/blobs/0026/262791/a8050a04f40b/jcm00014-0304-a.jpg

相似文献

1
Fast DNA isolation from Histoplasma capsulatum: methodology for arbitrary primer polymerase chain reaction-based epidemiological and clinical studies.从荚膜组织胞浆菌中快速提取DNA:基于任意引物聚合酶链反应的流行病学和临床研究方法
J Clin Microbiol. 1993 Feb;31(2):463-4. doi: 10.1128/jcm.31.2.463-464.1993.
2
Diversity among clinical isolates of Histoplasma capsulatum detected by polymerase chain reaction with arbitrary primers.利用随机引物聚合酶链反应检测荚膜组织胞浆菌临床分离株的多样性。
J Bacteriol. 1992 Nov;174(22):7075-9. doi: 10.1128/jb.174.22.7075-7079.1992.
3
[Rapid identification of Histoplasma capsulatum in culture lysates].[培养裂解物中荚膜组织胞浆菌的快速鉴定]
Rev Iberoam Micol. 2011 Jan-Mar;28(1):26-31. doi: 10.1016/j.riam.2010.11.001. Epub 2010 Dec 13.
4
Genetic analysis of Histoplasma capsulatum strains isolated from clinical specimens in thailand by a PCR-based random amplified polymorphic DNA method.采用基于聚合酶链反应的随机扩增多态性DNA方法对从泰国临床标本中分离出的荚膜组织胞浆菌菌株进行基因分析。
J Clin Microbiol. 1998 Oct;36(10):3073-6. doi: 10.1128/JCM.36.10.3073-3076.1998.
5
Genetic diversity of Histoplasma capsulatum strains in Brazil.巴西荚膜组织胞浆菌菌株的遗传多样性。
FEMS Immunol Med Microbiol. 2005 Sep 1;45(3):443-9. doi: 10.1016/j.femsim.2005.05.018.
6
Identification of Histoplasma capsulatum, Blastomyces dermatitidis, and Coccidioides species by repetitive-sequence-based PCR.通过基于重复序列的聚合酶链反应鉴定荚膜组织胞浆菌、皮炎芽生菌和球孢子菌属菌种。
J Clin Microbiol. 2006 Aug;44(8):2977-82. doi: 10.1128/JCM.00687-06.
7
Development of specific sequence-characterized amplified region markers for detecting Histoplasma capsulatum in clinical and environmental samples.开发用于检测临床和环境样本中荚膜组织胞浆菌的特定序列特征扩增区域标记物。
J Clin Microbiol. 2012 Mar;50(3):673-9. doi: 10.1128/JCM.05271-11. Epub 2011 Dec 21.
8
Detection of environmental sources of Histoplasma capsulatum in Chiang Mai, Thailand, by nested PCR.泰国清迈环境源组织胞浆菌的巢式 PCR 检测。
Mycopathologia. 2013 Dec;176(5-6):395-402. doi: 10.1007/s11046-013-9701-9. Epub 2013 Sep 13.
9
Application of polymerase chain reaction to fingerprinting Aspergillus fumigatus by random amplification of polymorphic DNA.聚合酶链反应在通过随机扩增多态性DNA对烟曲霉进行指纹图谱分析中的应用。
J Clin Microbiol. 1993 May;31(5):1117-21. doi: 10.1128/jcm.31.5.1117-1121.1993.
10
Molecular characterization of Histoplasma capsulatum isolated from an outbreak in treasure hunters Histoplasma capsulatum in treasure hunters.从寻宝者中爆发的组织胞浆菌病中分离出的荚膜组织胞浆菌的分子特征。
BMC Infect Dis. 2010 Sep 8;10:264. doi: 10.1186/1471-2334-10-264.

引用本文的文献

1
Evaluation of Primers OPF-01, P54, and 1253 to Identify , , and from Polymorphic Patterns Obtained by RAPD-PCR.评估引物OPF - 01、P54和1253,以从RAPD - PCR获得的多态性模式中鉴定、和。 (原文中此处有缺失内容)
Pathogens. 2024 Jul 10;13(7):574. doi: 10.3390/pathogens13070574.
2
Selection of Polymorphic Patterns Obtained by RAPD-PCR through Qualitative and Quantitative Analyses to Differentiate .通过定性和定量分析选择随机扩增多态性DNA聚合酶链反应获得的多态性模式以进行区分
J Fungi (Basel). 2022 Mar 13;8(3):296. doi: 10.3390/jof8030296.
3
Analyses of the genetic diversity and population structures of Histoplasma capsulatum clinical isolates from Mexico, Guatemala, Colombia and Argentina, using a randomly amplified polymorphic DNA-PCR assay.

本文引用的文献

1
Quantitative plating of Histoplasma capsulatum without addition of conditioned medium or siderophores.不添加条件培养基或铁载体的荚膜组织胞浆菌定量接种。
J Med Vet Mycol. 1988 Jun;26(3):137-43.
2
Systemic fungal infections: diagnosis and treatment. I. Histoplasmosis.
Infect Dis Clin North Am. 1988 Dec;2(4):841-59.
3
Classification of Histoplasma capsulatum isolates by restriction fragment polymorphisms.通过限制性片段多态性对荚膜组织胞浆菌分离株进行分类。
J Bacteriol. 1986 Mar;165(3):813-8. doi: 10.1128/jb.165.3.813-818.1986.
应用随机扩增多态性 DNA-PCR 分析方法对来自墨西哥、危地马拉、哥伦比亚和阿根廷的荚膜组织胞浆菌临床分离株的遗传多样性和种群结构进行分析。
Epidemiol Infect. 2019 Jan;147:e204. doi: 10.1017/S0950268819000931.
4
The use of genetic markers in the molecular epidemiology of histoplasmosis: a systematic review.遗传标记在组织胞浆菌病分子流行病学中的应用:一项系统综述。
Eur J Clin Microbiol Infect Dis. 2016 Jan;35(1):19-27. doi: 10.1007/s10096-015-2508-5. Epub 2015 Nov 20.
5
Rapid identification of Sporothrix species by T3B fingerprinting.通过 T3B 指纹快速鉴定申克孢子丝菌种。
J Clin Microbiol. 2012 Jun;50(6):2159-62. doi: 10.1128/JCM.00450-12. Epub 2012 Mar 7.
6
Capsules from pathogenic and non-pathogenic Cryptococcus spp. manifest significant differences in structure and ability to protect against phagocytic cells.致病和非致病隐球菌属的胶囊在结构和抵御吞噬细胞的能力方面表现出显著差异。
PLoS One. 2012;7(1):e29561. doi: 10.1371/journal.pone.0029561. Epub 2012 Jan 12.
7
Phenotypic and molecular identification of Sporothrix isolates from an epidemic area of sporotrichosis in Brazil.巴西孢子丝菌病流行地区的孢子丝菌分离株的表型和分子鉴定。
Mycopathologia. 2011 Oct;172(4):257-67. doi: 10.1007/s11046-011-9437-3. Epub 2011 Jun 24.
8
Molecular characterization of Histoplasma capsulatum isolated from an outbreak in treasure hunters Histoplasma capsulatum in treasure hunters.从寻宝者中爆发的组织胞浆菌病中分离出的荚膜组织胞浆菌的分子特征。
BMC Infect Dis. 2010 Sep 8;10:264. doi: 10.1186/1471-2334-10-264.
9
Comparison of different DNA-based methods for molecular typing of Histoplasma capsulatum.比较不同基于 DNA 的方法对荚膜组织胞浆菌进行分子分型。
Appl Environ Microbiol. 2010 Jul;76(13):4438-47. doi: 10.1128/AEM.02004-09. Epub 2010 May 7.
10
Sporotrichosis caused by Sporothrix globosa in Rio De Janeiro, brazil: case report.巴西里约热内卢由 S. globosa 引起的孢子丝菌病:病例报告。
Mycopathologia. 2010 May;169(5):359-63. doi: 10.1007/s11046-010-9276-7. Epub 2010 Feb 4.
4
Use of mitochondrial and ribosomal DNA polymorphisms to classify clinical and soil isolates of Histoplasma capsulatum.利用线粒体和核糖体DNA多态性对荚膜组织胞浆菌的临床分离株和土壤分离株进行分类。
Infect Immun. 1989 May;57(5):1409-12. doi: 10.1128/iai.57.5.1409-1412.1989.
5
Fingerprinting genomes using PCR with arbitrary primers.使用任意引物通过聚合酶链反应对基因组进行指纹分析。
Nucleic Acids Res. 1990 Dec 25;18(24):7213-8. doi: 10.1093/nar/18.24.7213.
6
Infection of P388D1 macrophages and respiratory epithelial cells by Histoplasma capsulatum: selection of avirulent variants and their potential role in persistent histoplasmosis.荚膜组织胞浆菌对P388D1巨噬细胞和呼吸道上皮细胞的感染:无毒力变体的选择及其在持续性组织胞浆菌病中的潜在作用。
Infect Immun. 1991 May;59(5):1639-46. doi: 10.1128/iai.59.5.1639-1646.1991.
7
DNA polymorphisms amplified by arbitrary primers are useful as genetic markers.用任意引物扩增的DNA多态性可作为遗传标记。
Nucleic Acids Res. 1990 Nov 25;18(22):6531-5. doi: 10.1093/nar/18.22.6531.
8
Temperature-sensitive variants of Histoplasma capsulatum isolated from patients with acquired immunodeficiency syndrome.从获得性免疫缺陷综合征患者中分离出的荚膜组织胞浆菌温度敏感变异体。
J Infect Dis. 1990 Jul;162(1):258-61. doi: 10.1093/infdis/162.1.258.
9
Histoplasma variation and adaptive strategies for parasitism: new perspectives on histoplasmosis.荚膜组织胞浆菌的变异及寄生适应策略:组织胞浆菌病的新视角
Clin Microbiol Rev. 1991 Oct;4(4):411-21. doi: 10.1128/CMR.4.4.411.
10
In vivo generation of linear plasmids with addition of telomeric sequences by Histoplasma capsulatum.荚膜组织胞浆菌在体内通过添加端粒序列产生线性质粒。
Mol Microbiol. 1992 Dec;6(23):3603-10. doi: 10.1111/j.1365-2958.1992.tb01796.x.