Suppr超能文献

髓磷脂、肝脏和肿瘤组织酸提取物之间的免疫交叉反应性:对免疫豚鼠的研究。

Immunological cross-reactivity between acid extracts of myelin, liver and neoplastic tissues: studies in immunized guinea-pigs.

作者信息

Flavell D J, Goepel J, Wilson A P, Potter C W

出版信息

Br J Cancer. 1979 Sep;40(3):424-36. doi: 10.1038/bjc.1979.198.

Abstract

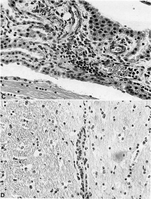
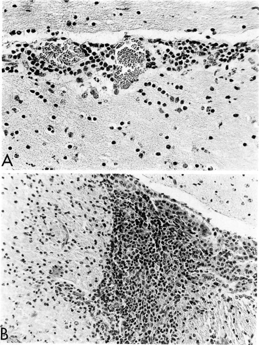
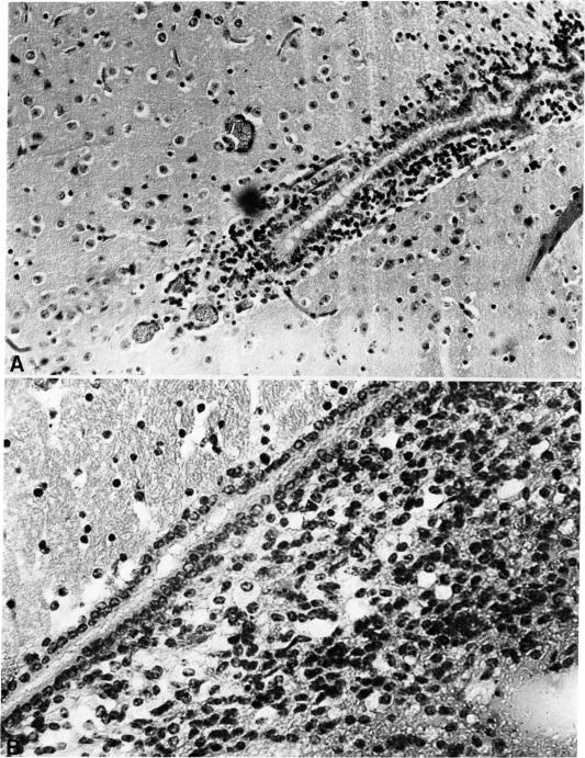
Groups of 4 guinea-pigs were immunized with acid extracts prepared from bovine myelin (EF), normal human liver tissue and malignant or benign neoplastic tissues in Freund's complete adjuvant (FCA1. The animals were weighed daily and examined for clinical signs of experimental allergic encephalomyelitis (EAE). All the animals immunized with EF developed clinical symptoms of EAE within 21 days of the initial immunization, whilst some of the animals immunized with certain tumour extracts developed symptoms which closely resembled those of EAE. Control animals immunized with FCA only remained asymptomatic. Cellular immunity to the various extracts in immunized animals was assessed 20 days after immunization by i.d. skin testing, and upon killing at Day 21 with the direct peritoneal-exudate macrophage migration inhibition (MMI) test. Brains and spinal cords were removed at killing, fixed in formalin and processed for histological examination. I.d. skin testing was shown to be most consistent in demonstrating positive delayed hypersensitivity, whilst the MMI test frequently gave negative results in the presence of pronounced skin responses to specific extracts. Thus it was shown that 3/4 animals immunized with basic proteins extracted from an adenocarcinoma of the lung or related hepatic metastases, and 1/2 animals immunized with an extract of a carcinoma of the breast, gave intense erythema and induration responses 5 mm in diameter 24 h after i.d. challenge with EF. No such response was obtained in animals immunized with basic proteins extracted from normal human liver, any of the other neoplastic tissues, or in control animals immunized with FCA only. Examination of brains and spinal cords from animals immunized with EF revealed dense infiltration by mononuclear cells in the ependyma and choroid plexus of levels in the spinal cord. Examination of brains and spinal cords from animals immunized with the lung-tumour extract or related hepatic metastases which showed demonstrable immunological cross-reactivity with EF in immunized animals, revealed a number of inflammatory changes characterized by dense infiltrates of mononuclear cells sub-ependymally, and perivascular cuffing in the cortex. However, no significant lesions were seen in the spinal cords of these animals. Polyacrylamide-gel electrophoresis of the 2 tumour extracts exerting this apparent encephalitogenic effect did not reveal proteins within the mol. wt range of EF. Thus the observed pathological effects and cross-reactivity with EF were probably not due to contamination with nervous-tissue components. It is suggested that these tumour extracts may have contained a component or components other than EF, immunologically cross-reactive with EF, and capable of inducing the observed encephalitis.

摘要

将4只豚鼠分为一组,用从牛髓磷脂(EF)、正常人体肝脏组织以及恶性或良性肿瘤组织中制备的酸性提取物,在弗氏完全佐剂(FCA)中进行免疫。每天对动物称重,并检查实验性变应性脑脊髓炎(EAE)的临床症状。所有用EF免疫的动物在初次免疫后21天内出现了EAE的临床症状,而一些用某些肿瘤提取物免疫的动物出现了与EAE极为相似的症状。仅用FCA免疫的对照动物无症状。在免疫后20天,通过皮内皮肤试验评估免疫动物对各种提取物的细胞免疫,并在第21天处死动物时,用直接腹腔渗出巨噬细胞迁移抑制(MMI)试验进行评估。处死时取出脑和脊髓,用福尔马林固定并进行组织学检查。结果表明,皮内皮肤试验在显示阳性迟发型超敏反应方面最为一致,而MMI试验在对特定提取物有明显皮肤反应的情况下,常常得出阴性结果。因此,结果显示,3/4用从肺腺癌或相关肝转移瘤中提取的碱性蛋白免疫的动物,以及1/2用乳腺癌提取物免疫的动物,在皮内用EF攻击24小时后,出现了直径5毫米的强烈红斑和硬结反应。在用从正常人体肝脏、任何其他肿瘤组织中提取的碱性蛋白免疫的动物,或仅用FCA免疫的对照动物中,未获得这种反应。对用EF免疫的动物的脑和脊髓检查显示,脊髓各水平的室管膜和脉络丛中有单核细胞密集浸润。对用肺肿瘤提取物或相关肝转移瘤免疫的动物的脑和脊髓进行检查,这些提取物在免疫动物中显示出与EF有明显的免疫交叉反应,结果发现有一些炎症变化,其特征是室管膜下有单核细胞密集浸润,以及皮质中有血管周围套袖现象。然而,在这些动物的脊髓中未见到明显病变。对产生这种明显致脑炎性作用的2种肿瘤提取物进行聚丙烯酰胺凝胶电泳,未在EF的分子量范围内发现蛋白质。因此,观察到的病理效应以及与EF的交叉反应可能不是由于神经组织成分的污染。提示这些肿瘤提取物可能含有除EF之外的一种或多种成分,与EF有免疫交叉反应,并能够诱发观察到的脑炎。

https://cdn.ncbi.nlm.nih.gov/pmc/blobs/2928/2010050/4e021069d655/brjcancer00143-0098-a.jpg

文献检索

告别复杂PubMed语法,用中文像聊天一样搜索,搜遍4000万医学文献。AI智能推荐,让科研检索更轻松。

立即免费搜索

文件翻译

保留排版,准确专业,支持PDF/Word/PPT等文件格式,支持 12+语言互译。

免费翻译文档

深度研究

AI帮你快速写综述,25分钟生成高质量综述,智能提取关键信息,辅助科研写作。

立即免费体验