• 文献检索
  • 文档翻译
  • 深度研究
  • 学术资讯
  • Suppr Zotero 插件Zotero 插件
  • 邀请有礼
  • 套餐&价格
  • 历史记录
应用&插件
Suppr Zotero 插件Zotero 插件浏览器插件Mac 客户端Windows 客户端微信小程序
定价
高级版会员购买积分包购买API积分包
服务
文献检索文档翻译深度研究API 文档MCP 服务
关于我们
关于 Suppr公司介绍联系我们用户协议隐私条款
关注我们

Suppr 超能文献

核心技术专利:CN118964589B侵权必究
粤ICP备2023148730 号-1Suppr @ 2026

文献检索

告别复杂PubMed语法,用中文像聊天一样搜索,搜遍4000万医学文献。AI智能推荐,让科研检索更轻松。

立即免费搜索

文件翻译

保留排版,准确专业,支持PDF/Word/PPT等文件格式,支持 12+语言互译。

免费翻译文档

深度研究

AI帮你快速写综述,25分钟生成高质量综述,智能提取关键信息,辅助科研写作。

立即免费体验

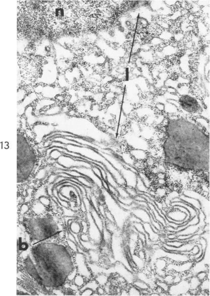
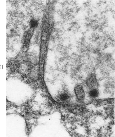
Rift Valley Fever Virus Hepatitis: Light and Electron Microscopic Studies in the Mouse.

作者信息

McGavran M H, Easterday B C

出版信息

Am J Pathol. 1963 May;42(5):587-607. doi: 10.21236/ad0410394.

DOI:10.21236/ad0410394
PMID:19971024
原文链接:https://pmc.ncbi.nlm.nih.gov/articles/PMC1949706/
Abstract
摘要
https://cdn.ncbi.nlm.nih.gov/pmc/blobs/32e7/1949706/0b9b8c4dad48/amjpathol00318-0100-a.jpg
https://cdn.ncbi.nlm.nih.gov/pmc/blobs/32e7/1949706/cdcbb46d4d70/amjpathol00318-0086-a.jpg
https://cdn.ncbi.nlm.nih.gov/pmc/blobs/32e7/1949706/58aba1e75fac/amjpathol00318-0086-b.jpg
https://cdn.ncbi.nlm.nih.gov/pmc/blobs/32e7/1949706/f7aac665203e/amjpathol00318-0086-c.jpg
https://cdn.ncbi.nlm.nih.gov/pmc/blobs/32e7/1949706/f3c4906211ec/amjpathol00318-0088-a.jpg
https://cdn.ncbi.nlm.nih.gov/pmc/blobs/32e7/1949706/bae56ab0ca82/amjpathol00318-0090-a.jpg
https://cdn.ncbi.nlm.nih.gov/pmc/blobs/32e7/1949706/0ada03262382/amjpathol00318-0090-b.jpg
https://cdn.ncbi.nlm.nih.gov/pmc/blobs/32e7/1949706/c44ffbbfef54/amjpathol00318-0092-a.jpg
https://cdn.ncbi.nlm.nih.gov/pmc/blobs/32e7/1949706/fbc545699a3e/amjpathol00318-0092-b.jpg
https://cdn.ncbi.nlm.nih.gov/pmc/blobs/32e7/1949706/780ac58c6c73/amjpathol00318-0094-a.jpg
https://cdn.ncbi.nlm.nih.gov/pmc/blobs/32e7/1949706/3a50542d6a73/amjpathol00318-0094-b.jpg
https://cdn.ncbi.nlm.nih.gov/pmc/blobs/32e7/1949706/548f2f75f002/amjpathol00318-0096-a.jpg
https://cdn.ncbi.nlm.nih.gov/pmc/blobs/32e7/1949706/3476d28cdd82/amjpathol00318-0096-b.jpg
https://cdn.ncbi.nlm.nih.gov/pmc/blobs/32e7/1949706/40caace69662/amjpathol00318-0096-c.jpg
https://cdn.ncbi.nlm.nih.gov/pmc/blobs/32e7/1949706/f30b42517642/amjpathol00318-0096-d.jpg
https://cdn.ncbi.nlm.nih.gov/pmc/blobs/32e7/1949706/b2a0cad26fc2/amjpathol00318-0098-a.jpg
https://cdn.ncbi.nlm.nih.gov/pmc/blobs/32e7/1949706/0b9b8c4dad48/amjpathol00318-0100-a.jpg
https://cdn.ncbi.nlm.nih.gov/pmc/blobs/32e7/1949706/cdcbb46d4d70/amjpathol00318-0086-a.jpg
https://cdn.ncbi.nlm.nih.gov/pmc/blobs/32e7/1949706/58aba1e75fac/amjpathol00318-0086-b.jpg
https://cdn.ncbi.nlm.nih.gov/pmc/blobs/32e7/1949706/f7aac665203e/amjpathol00318-0086-c.jpg
https://cdn.ncbi.nlm.nih.gov/pmc/blobs/32e7/1949706/f3c4906211ec/amjpathol00318-0088-a.jpg
https://cdn.ncbi.nlm.nih.gov/pmc/blobs/32e7/1949706/bae56ab0ca82/amjpathol00318-0090-a.jpg
https://cdn.ncbi.nlm.nih.gov/pmc/blobs/32e7/1949706/0ada03262382/amjpathol00318-0090-b.jpg
https://cdn.ncbi.nlm.nih.gov/pmc/blobs/32e7/1949706/c44ffbbfef54/amjpathol00318-0092-a.jpg
https://cdn.ncbi.nlm.nih.gov/pmc/blobs/32e7/1949706/fbc545699a3e/amjpathol00318-0092-b.jpg
https://cdn.ncbi.nlm.nih.gov/pmc/blobs/32e7/1949706/780ac58c6c73/amjpathol00318-0094-a.jpg
https://cdn.ncbi.nlm.nih.gov/pmc/blobs/32e7/1949706/3a50542d6a73/amjpathol00318-0094-b.jpg
https://cdn.ncbi.nlm.nih.gov/pmc/blobs/32e7/1949706/548f2f75f002/amjpathol00318-0096-a.jpg
https://cdn.ncbi.nlm.nih.gov/pmc/blobs/32e7/1949706/3476d28cdd82/amjpathol00318-0096-b.jpg
https://cdn.ncbi.nlm.nih.gov/pmc/blobs/32e7/1949706/40caace69662/amjpathol00318-0096-c.jpg
https://cdn.ncbi.nlm.nih.gov/pmc/blobs/32e7/1949706/f30b42517642/amjpathol00318-0096-d.jpg
https://cdn.ncbi.nlm.nih.gov/pmc/blobs/32e7/1949706/b2a0cad26fc2/amjpathol00318-0098-a.jpg
https://cdn.ncbi.nlm.nih.gov/pmc/blobs/32e7/1949706/0b9b8c4dad48/amjpathol00318-0100-a.jpg

相似文献

1
Rift Valley Fever Virus Hepatitis: Light and Electron Microscopic Studies in the Mouse.裂谷热病毒肝炎:小鼠的光镜和电镜研究
Am J Pathol. 1963 May;42(5):587-607. doi: 10.21236/ad0410394.
2
Electron microscopic identification of Zinga virus as a strain of Rift Valley fever virus.电子显微镜鉴定津加病毒为裂谷热病毒的一个毒株。
Res Virol. 1992 May-Jun;143(3):215-8. doi: 10.1016/s0923-2516(06)80107-x.
3
Rift Valley Fever Virus: Propagation, Quantification, and Storage.裂谷热病毒:繁殖、定量与储存
Curr Protoc Microbiol. 2019 Dec;55(1):e92. doi: 10.1002/cpmc.92.
4
[Study on DNA immune of envelope protein gene of Rift Valley Fever Virus].[裂谷热病毒包膜蛋白基因的DNA免疫研究]
Wei Sheng Wu Xue Bao. 2007 Aug;47(4):677-81.
5
Association of Rift Valley fever virus infection with miscarriage in Sudanese women: a cross-sectional study.苏丹妇女中裂谷热病毒感染与流产的相关性:一项横断面研究。
Lancet Glob Health. 2016 Nov;4(11):e864-e871. doi: 10.1016/S2214-109X(16)30176-0. Epub 2016 Sep 28.
6
and efficacy of a Rift Valley fever virus vaccine based on pseudovirus.基于假病毒的裂谷热病毒疫苗的效力和效果。
Hum Vaccin Immunother. 2019;15(10):2286-2294. doi: 10.1080/21645515.2019.1627820. Epub 2019 Jun 20.
7
Rift Valley fever virus.裂谷热病毒
Curr Mol Med. 2005 Dec;5(8):827-34. doi: 10.2174/156652405774962263.
8
Studies on Rift Valley fever in some African murids (Rodentia: Muridae).关于一些非洲鼠科动物(啮齿目:鼠科)裂谷热的研究。
J Hyg (Lond). 1978 Apr;80(2):183-96. doi: 10.1017/s0022172400053535.
9
Characterisation of immune responses and protective efficacy in mice after immunisation with Rift Valley Fever virus cDNA constructs.用裂谷热病毒cDNA构建体免疫小鼠后免疫反应及保护效力的表征
Virol J. 2009 Jan 17;6:6. doi: 10.1186/1743-422X-6-6.
10
Selected wetland soil properties correlate to Rift Valley fever livestock mortalities reported in 2009-10 in central South Africa.选定的湿地土壤特性与 2009-2010 年在南非中部报告的裂谷热牲畜死亡事件相关。
PLoS One. 2020 May 18;15(5):e0232481. doi: 10.1371/journal.pone.0232481. eCollection 2020.

引用本文的文献

1
Interleukin-36γ is causative for liver damage upon infection with Rift Valley fever virus in type I interferon receptor-deficient mice.白细胞介素-36γ是导致 I 型干扰素受体缺陷型小鼠感染裂谷热病毒后肝损伤的原因。
Front Immunol. 2023 Sep 1;14:1194733. doi: 10.3389/fimmu.2023.1194733. eCollection 2023.
2
Chemotactic and inflammatory responses in the liver and brain are associated with pathogenesis of Rift Valley fever virus infection in the mouse.肝和脑中的趋化和炎症反应与裂谷热病毒感染在小鼠中的发病机制相关。
PLoS Negl Trop Dis. 2012;6(2):e1529. doi: 10.1371/journal.pntd.0001529. Epub 2012 Feb 28.
3
Tissue tropism and target cells of NSs-deleted rift valley fever virus in live immunodeficient mice.

本文引用的文献

1
The Kupffer cell reaction in murine and human viral hepatitis, with particular reference to the origin of acidophilic bodies.小鼠和人类病毒性肝炎中的库普弗细胞反应,特别涉及嗜酸性小体的起源。
Am J Pathol. 1962 Apr;40(4):425-35.
2
Electron microscope study of mouse liver infected by ectromelia virus.对感染脱脚病病毒的小鼠肝脏进行的电子显微镜研究。
J Ultrastruct Res. 1962 Jun;6:466-88. doi: 10.1016/s0022-5320(62)80003-3.
3
The effect of a murine hepatitis virus on the liver. An anatomic and histochemical study.鼠肝炎病毒对肝脏的影响。一项解剖学和组织化学研究。
NSs 缺失型裂谷热病毒在活免疫缺陷小鼠中的组织嗜性和靶细胞。
PLoS Negl Trop Dis. 2011 Dec;5(12):e1421. doi: 10.1371/journal.pntd.0001421. Epub 2011 Dec 6.
4
The pathogenesis of Rift Valley fever.裂谷热的发病机制。
Viruses. 2011 May;3(5):493-519. doi: 10.3390/v3050493.
5
MOUSE CYTOMEGALOVIRUS INFECTION. AN ELECTRON MICROSCOPIC STUDY OF HEPATIC PARENCHYMAL CELLS.小鼠巨细胞病毒感染。肝实质细胞的电子显微镜研究。
Am J Pathol. 1964 May;44(5):799-821.
6
Genetic evidence for an interferon-antagonistic function of rift valley fever virus nonstructural protein NSs.裂谷热病毒非结构蛋白NSs具有干扰素拮抗功能的遗传学证据。
J Virol. 2001 Feb;75(3):1371-7. doi: 10.1128/JVI.75.3.1371-1377.2001.
7
Genetic resistance to lethal flaviviral encephalitis. III. Replication of Banzi virus in vitro and in vivo in tissues of congeneic susceptible and resistant mice.对致死性黄病毒脑炎的遗传抗性。III. 班齐病毒在同基因易感和抗性小鼠组织中的体外和体内复制
Arch Virol. 1981;69(3-4):273-86. doi: 10.1007/BF01317342.
8
Electron microscopic studies on BHK 21 cells infected with Rift Valley fever virus.对感染裂谷热病毒的BHK 21细胞进行的电子显微镜研究。
Arch Gesamte Virusforsch. 1968;25(1):58-64. doi: 10.1007/BF01243090.
9
The biliary tract in acute murine reovirus 3 infection. Light and electron microscopic study.急性鼠呼肠孤病毒3型感染中的胆道。光镜和电镜研究。
Am J Pathol. 1968 Mar;52(3):595-611.
10
The changes in cell organelles of neurons in the brains of adult mice and hamsters during Semliki Forest virus and louping ill encephalitis.成年小鼠和仓鼠大脑中神经元的细胞器在感染Semliki森林病毒和跳跃病脑炎期间的变化。
Br J Exp Pathol. 1970 Feb;51(1):37-42.
Am J Pathol. 1962 Sep;41(3):329-47.
4
An electron microscopic study of viral hepatitis in mice.小鼠病毒性肝炎的电子显微镜研究。
Am J Pathol. 1962 Aug;41(2):205-24.
5
The pathogenesis of Rift Valley fever in lambs.羔羊裂谷热的发病机制。
Am J Vet Res. 1962 May;23:470-9.
6
Cytological and cytochemical studies on the liver cells of yellow-fever-infected rhesus monkeys.
J Pathol Bacteriol. 1960 Jul;80:19-31. doi: 10.1002/path.1700800104.
7
Structure and development of viruses as observed in the electron microscope. V. Western equine encephalomyelitis virus.在电子显微镜下观察到的病毒结构与发育。五、西部马脑炎病毒。
J Exp Med. 1961 Jan 1;113(1):219-34. doi: 10.1084/jem.113.1.219.
8
Structure and development of viruses as observed in the electron microscope. VI. ECHO virus, type 9.在电子显微镜下观察到的病毒结构与发育。VI. 9型埃可病毒
J Exp Med. 1961 Jul 1;114(1):1-12. doi: 10.1084/jem.114.1.1.
9
Biological and biochemical basis for cell injury by animal viruses.动物病毒导致细胞损伤的生物学和生物化学基础。
Fed Proc. 1961 Jul;20:656-60.
10
Electron-microscope studies on the liver cells of yellow-fever-infected rhesus monkeys.对感染黄热病的恒河猴肝细胞的电子显微镜研究。
J Pathol Bacteriol. 1960 Oct;80:421-6.