• 文献检索
  • 文档翻译
  • 深度研究
  • 学术资讯
  • Suppr Zotero 插件Zotero 插件
  • 邀请有礼
  • 套餐&价格
  • 历史记录
应用&插件
Suppr Zotero 插件Zotero 插件浏览器插件Mac 客户端Windows 客户端微信小程序
定价
高级版会员购买积分包购买API积分包
服务
文献检索文档翻译深度研究API 文档MCP 服务
关于我们
关于 Suppr公司介绍联系我们用户协议隐私条款
关注我们

Suppr 超能文献

核心技术专利:CN118964589B侵权必究
粤ICP备2023148730 号-1Suppr @ 2026

文献检索

告别复杂PubMed语法,用中文像聊天一样搜索,搜遍4000万医学文献。AI智能推荐,让科研检索更轻松。

立即免费搜索

文件翻译

保留排版,准确专业,支持PDF/Word/PPT等文件格式,支持 12+语言互译。

免费翻译文档

深度研究

AI帮你快速写综述,25分钟生成高质量综述,智能提取关键信息,辅助科研写作。

立即免费体验

新辅助多西他赛治疗期间地塞米松引起的急性视力丧失

Acute visual loss induced by dexamethasone during neoadjuvant docetaxol.

作者信息

Gregory D L, Jones C D, Denton E R E, Harnett A N

机构信息

Department of Oncology, Addenbrookes Hospital, Cambridge, UK.

出版信息

Clin Med Oncol. 2008;2:37-42. doi: 10.4137/cmo.s339. Epub 2008 Feb 9.

DOI:10.4137/cmo.s339
PMID:21892264
原文链接:https://pmc.ncbi.nlm.nih.gov/articles/PMC3161640/
Abstract

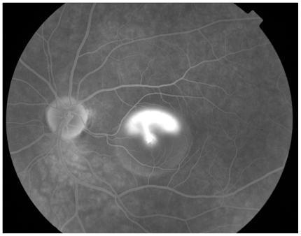
We present a case of a female patient who developed acute onset of visual loss due to central serous retinopathy as a consequence of steroid premedication for docetaxol given as second line neoadjuvant chemotherapy for breast cancer. Central serous retinopathy is a recognised association with steroids but has not been previously reported in association with the management of solid tumours. Reduction in steroid dose and duration permitted recovery of her visual acuity while allowing completion of the prescribed chemotherapy regimen. An overview of the presentation, pathogenesis, aetiologies and management of central serous retinopathy is given.

摘要

我们报告了一例女性患者,该患者因在多西他赛二线新辅助化疗治疗乳腺癌中行类固醇预处理后发生中心性浆液性视网膜病变,导致急性视力丧失。中心性浆液性视网膜病变与类固醇的关联已得到公认,但此前尚未有与实体瘤治疗相关的报道。降低类固醇剂量和缩短使用时间使她的视力得以恢复,同时也能完成规定的化疗方案。本文对中心性浆液性视网膜病变的临床表现、发病机制、病因及治疗进行了概述。

https://cdn.ncbi.nlm.nih.gov/pmc/blobs/cb72/3161640/5b8f8a6ce9b9/cmo-2-2008-037f2c.jpg
https://cdn.ncbi.nlm.nih.gov/pmc/blobs/cb72/3161640/dd1ee5570aec/cmo-2-2008-037f1a.jpg
https://cdn.ncbi.nlm.nih.gov/pmc/blobs/cb72/3161640/0437463bedac/cmo-2-2008-037f1b.jpg
https://cdn.ncbi.nlm.nih.gov/pmc/blobs/cb72/3161640/cfd76e094c03/cmo-2-2008-037f1c.jpg
https://cdn.ncbi.nlm.nih.gov/pmc/blobs/cb72/3161640/846ffc78d241/cmo-2-2008-037f2a.jpg
https://cdn.ncbi.nlm.nih.gov/pmc/blobs/cb72/3161640/824d9db6bd9e/cmo-2-2008-037f2b.jpg
https://cdn.ncbi.nlm.nih.gov/pmc/blobs/cb72/3161640/5b8f8a6ce9b9/cmo-2-2008-037f2c.jpg
https://cdn.ncbi.nlm.nih.gov/pmc/blobs/cb72/3161640/dd1ee5570aec/cmo-2-2008-037f1a.jpg
https://cdn.ncbi.nlm.nih.gov/pmc/blobs/cb72/3161640/0437463bedac/cmo-2-2008-037f1b.jpg
https://cdn.ncbi.nlm.nih.gov/pmc/blobs/cb72/3161640/cfd76e094c03/cmo-2-2008-037f1c.jpg
https://cdn.ncbi.nlm.nih.gov/pmc/blobs/cb72/3161640/846ffc78d241/cmo-2-2008-037f2a.jpg
https://cdn.ncbi.nlm.nih.gov/pmc/blobs/cb72/3161640/824d9db6bd9e/cmo-2-2008-037f2b.jpg
https://cdn.ncbi.nlm.nih.gov/pmc/blobs/cb72/3161640/5b8f8a6ce9b9/cmo-2-2008-037f2c.jpg

相似文献

1
Acute visual loss induced by dexamethasone during neoadjuvant docetaxol.新辅助多西他赛治疗期间地塞米松引起的急性视力丧失
Clin Med Oncol. 2008;2:37-42. doi: 10.4137/cmo.s339. Epub 2008 Feb 9.
2
Purtscher-like retinopathy in adult-onset Still's disease, complicated by treatment-related central serous chorioretinopathy.成人斯蒂尔病中的类普尔夏视网膜病变,并发与治疗相关的中心性浆液性脉络膜视网膜病变。
Am J Ophthalmol Case Rep. 2020 Feb 25;18:100631. doi: 10.1016/j.ajoc.2020.100631. eCollection 2020 Jun.
3
Sudden loss of visual acuity following intra-articular steroid injection in to the knee joint: a case report.膝关节内注射类固醇后视力突然丧失:一例报告
Cases J. 2008 Dec 30;1(1):428. doi: 10.1186/1757-1626-1-428.
4
Do Steroids Matter? A Retrospective Review of Premedication for Taxane Chemotherapy and Hypersensitivity Reactions.类固醇有影响吗?紫杉烷类化疗和过敏反应的用药前评估回顾性研究。
J Clin Oncol. 2021 Nov 10;39(32):3583-3590. doi: 10.1200/JCO.21.01200. Epub 2021 Aug 6.
5
Adjunctive steroid therapy versus antibiotics alone for acute endophthalmitis after intraocular procedure.辅助性类固醇疗法与单纯抗生素疗法治疗眼内手术后急性眼内炎的对比
Cochrane Database Syst Rev. 2017 Feb 22;2(2):CD012131. doi: 10.1002/14651858.CD012131.pub2.
6
Optimisation of steroid prophylaxis schedules in breast cancer patients receiving docetaxel chemotherapy-a survey of health care providers and patients.接受多西他赛化疗的乳腺癌患者中类固醇预防方案的优化——对医疗服务提供者和患者的一项调查
Support Care Cancer. 2015 Nov;23(11):3269-75. doi: 10.1007/s00520-015-2731-8. Epub 2015 May 3.
7
Intravitreal steroids for macular edema in diabetes.玻璃体内注射类固醇治疗糖尿病性黄斑水肿
Cochrane Database Syst Rev. 2020 Nov 17;11(11):CD005656. doi: 10.1002/14651858.CD005656.pub3.
8
Central serous chorioretinopathy.中心性浆液性脉络膜视网膜病变
Optometry. 2008 May;79(5):241-51. doi: 10.1016/j.optm.2007.02.024.
9
Bilateral central serous chorio-retinopathy in pregnancy presenting with severe visual loss.妊娠合并双侧中心性浆液性脉络膜视网膜病变伴严重视力丧失。
Nepal J Ophthalmol. 2014 Jul-Dec;6(2):220-3. doi: 10.3126/nepjoph.v6i2.11711.
10
Severe visual loss in a breast cancer patient on chemotherapy.乳腺癌患者化疗后出现严重视力丧失。
Med Oncol. 2012 Dec;29(4):2567-9. doi: 10.1007/s12032-012-0191-2. Epub 2012 Feb 22.

引用本文的文献

1
Intranasal Corticosteroids and Central Serous Chorioretinopathy: A Report and Review of the Literature.鼻内皮质类固醇与中心性浆液性脉络膜视网膜病变:病例报告及文献综述
Hawaii J Med Public Health. 2019 May;78(5):151-154.
2
Steroid-induced central serous retinopathy.类固醇诱导性中心性浆液性脉络膜视网膜病变。
Indian J Pharmacol. 2011 Sep;43(5):607-8. doi: 10.4103/0253-7613.84985.

本文引用的文献

1
Ocular photodynamic therapy--standard applications and new indications (part 1). Review of the literature and personal experience.眼部光动力疗法——标准应用与新适应症(第1部分)。文献综述与个人经验。
Ophthalmologica. 2007;221(4):216-26. doi: 10.1159/000101922.
2
Alterations of retinal pigment epithelium in central serous chorioretinopathy.中心性浆液性脉络膜视网膜病变中视网膜色素上皮的改变。
Clin Exp Ophthalmol. 2007 Apr;35(3):225-30. doi: 10.1111/j.1442-9071.2006.01447.x.
3
Can long-term corticosteriods lead to blindness? A case series of central serous chorioretinopathy induced by corticosteroids.
长期使用皮质类固醇会导致失明吗?一组由皮质类固醇引起的中心性浆液性脉络膜视网膜病变病例
Ann Acad Med Singap. 2006 Jul;35(7):496-9.
4
Central serous chorioretinopathy and Helicobacter pylori.中心性浆液性脉络膜视网膜病变与幽门螺杆菌
Eur J Ophthalmol. 2006 Mar-Apr;16(2):274-8. doi: 10.1177/112067210601600213.
5
Chronic central serous chorioretinopathy: photodynamic therapy.慢性中心性浆液性脉络膜视网膜病变:光动力疗法
Am J Ophthalmol. 2004 Jun;137(6):1073-80. doi: 10.1016/j.ajo.2004.01.043.
6
Central serous chorioretinopathy in a patient taking sildenafil citrate.一名服用枸橼酸西地那非的患者出现中心性浆液性脉络膜视网膜病变。
Ophthalmic Surg Lasers Imaging. 2004 Mar-Apr;35(2):165-7.
7
Seventeen cases of central serous chorioretinopathy associated with systemic corticosteroid therapy.
Ophthalmologica. 2004 Mar-Apr;218(2):107-10. doi: 10.1159/000076145.
8
Photodynamic therapy for chronic central serous chorioretinopathy.慢性中心性浆液性脉络膜视网膜病变的光动力疗法
Retina. 2003 Dec;23(6):752-63. doi: 10.1097/00006982-200312000-00002.
9
Central serous chorioretinopathy associated with administration of sympathomimetic agents.与拟交感神经药使用相关的中心性浆液性脉络膜视网膜病变。
Am J Ophthalmol. 2003 Jul;136(1):182-5. doi: 10.1016/s0002-9394(03)00076-x.
10
Features of abnormal choroidal circulation in central serous chorioretinopathy.中心性浆液性脉络膜视网膜病变中脉络膜循环异常的特征。
Br J Ophthalmol. 2003 Jun;87(6):709-12. doi: 10.1136/bjo.87.6.709.