Suppr超能文献

皮肤淋巴结瘤:一例报告及免疫组化研究

Cutaneous lymphadenoma: a case report and immunohistochemical study.

作者信息

Fujimura Taku, Itoigawa Aya, Haga Takahiro, Aiba Setsuya

机构信息

Department of Dermatology, Tohoku University Graduate School of Medicine, Sendai, Japan.

出版信息

Case Rep Dermatol. 2012 Jan;4(1):50-5. doi: 10.1159/000337196. Epub 2012 Mar 1.

Abstract

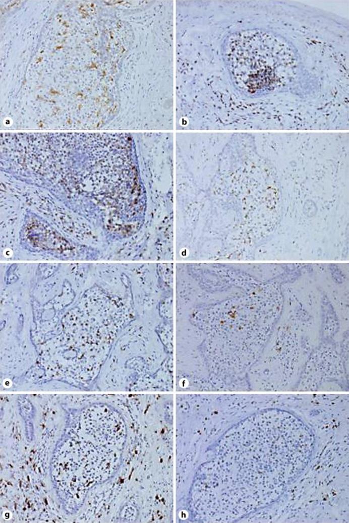
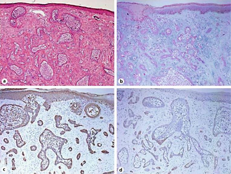
Cutaneous lymphadenoma is a rare neoplasm, and characterized by a florid mononuclear cell infiltration that appears to be an integral component of the tumor. Several reports suggested that these infiltrated lymphocytes mainly consist of T cells and Langerhans cells, but no detailed phenotypical analysis of these cells has been demonstrated yet. In this report, we describe a 70-year-old Japanese patient with cutaneous lymphadenoma. In the present case, we investigated the immunohistochemical profiles of tumor-infiltrating cells in cutaneous lymphadenoma, especially focusing on the profiles of T cell subsets. In addition, there are abundant mucin deposits within the tumor stroma, and tumor lobules are composed of BerEP4-positive cells. To the best of our knowledge, this is the first report that employed immunohistochemical staining of cutaneous lymphadenoma to verify the types of cells composing such tumors with special focus on the profiles of the T cell subsets.

摘要

皮肤淋巴结瘤是一种罕见的肿瘤,其特征为大量单核细胞浸润,这似乎是肿瘤的一个重要组成部分。有几份报告表明,这些浸润的淋巴细胞主要由T细胞和朗格汉斯细胞组成,但尚未对这些细胞进行详细的表型分析。在本报告中,我们描述了一名70岁的日本皮肤淋巴结瘤患者。在本病例中,我们研究了皮肤淋巴结瘤中肿瘤浸润细胞的免疫组化特征,尤其关注T细胞亚群的特征。此外,肿瘤基质内有大量粘蛋白沉积,肿瘤小叶由BerEP4阳性细胞组成。据我们所知,这是第一份采用皮肤淋巴结瘤免疫组化染色来验证构成此类肿瘤的细胞类型并特别关注T细胞亚群特征的报告。

https://cdn.ncbi.nlm.nih.gov/pmc/blobs/db39/3331883/c30168d12422/cde-0004-0050-g01.jpg

文献AI研究员

20分钟写一篇综述,助力文献阅读效率提升50倍。

立即体验

用中文搜PubMed

大模型驱动的PubMed中文搜索引擎

马上搜索

文档翻译

学术文献翻译模型,支持多种主流文档格式。

立即体验