ERATO Infection-Induced Host Responses Project, Japan Science and Technology Agency, Saitama 332-0012, Japan.
Nature. 2013 Sep 26;501(7468):551-5. doi: 10.1038/nature12392. Epub 2013 Jul 10.
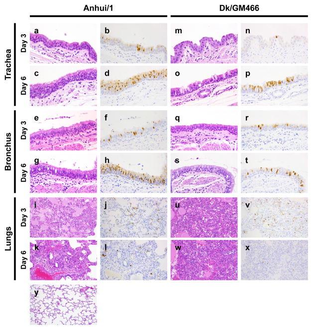
Avian influenza A viruses rarely infect humans; however, when human infection and subsequent human-to-human transmission occurs, worldwide outbreaks (pandemics) can result. The recent sporadic infections of humans in China with a previously unrecognized avian influenza A virus of the H7N9 subtype (A(H7N9)) have caused concern owing to the appreciable case fatality rate associated with these infections (more than 25%), potential instances of human-to-human transmission, and the lack of pre-existing immunity among humans to viruses of this subtype. Here we characterize two early human A(H7N9) isolates, A/Anhui/1/2013 (H7N9) and A/Shanghai/1/2013 (H7N9); hereafter referred to as Anhui/1 and Shanghai/1, respectively. In mice, Anhui/1 and Shanghai/1 were more pathogenic than a control avian H7N9 virus (A/duck/Gunma/466/2011 (H7N9); Dk/GM466) and a representative pandemic 2009 H1N1 virus (A/California/4/2009 (H1N1pdm09); CA04). Anhui/1, Shanghai/1 and Dk/GM466 replicated well in the nasal turbinates of ferrets. In nonhuman primates, Anhui/1 and Dk/GM466 replicated efficiently in the upper and lower respiratory tracts, whereas the replicative ability of conventional human influenza viruses is typically restricted to the upper respiratory tract of infected primates. By contrast, Anhui/1 did not replicate well in miniature pigs after intranasal inoculation. Critically, Anhui/1 transmitted through respiratory droplets in one of three pairs of ferrets. Glycan arrays showed that Anhui/1, Shanghai/1 and A/Hangzhou/1/2013 (H7N9) (a third human A(H7N9) virus tested in this assay) bind to human virus-type receptors, a property that may be critical for virus transmissibility in ferrets. Anhui/1 was found to be less sensitive in mice to neuraminidase inhibitors than a pandemic H1N1 2009 virus, although both viruses were equally susceptible to an experimental antiviral polymerase inhibitor. The robust replicative ability in mice, ferrets and nonhuman primates and the limited transmissibility in ferrets of Anhui/1 suggest that A(H7N9) viruses have pandemic potential.
甲型流感病毒很少感染人类;然而,当人类感染并随后发生人际传播时,就可能导致全球性的暴发(大流行)。最近在中国发生的少数人类感染新型甲型流感病毒 H7N9 亚型(A(H7N9))的病例引起了关注,这是由于这些感染的病死率相对较高(超过 25%)、可能存在人际传播、以及人类对这种亚型的病毒缺乏预先存在的免疫力。在这里,我们对两个早期的人感染 H7N9 病毒分离株,A/Anhui/1/2013(H7N9)和 A/Shanghai/1/2013(H7N9),进行了特征描述;以下分别简称为 Anhui/1 和 Shanghai/1。在小鼠中,Anhui/1 和 Shanghai/1 比对照的禽流感 H7N9 病毒(A/duck/Gunma/466/2011(H7N9);Dk/GM466)和具有代表性的 2009 年甲型 H1N1 流感大流行病毒(A/California/4/2009(H1N1pdm09);CA04)的致病性更强。Anhui/1、Shanghai/1 和 Dk/GM466 在雪貂的鼻腔鼻甲中能够很好地复制。在非人类灵长类动物中,Anhui/1 和 Dk/GM466 在上呼吸道和下呼吸道中高效复制,而常规的人流感病毒的复制能力通常局限于受感染灵长类动物的上呼吸道。相比之下,Anhui/1 在经鼻接种的小型猪中不能很好地复制。关键的是,Anhui/1 在 3 对雪貂中的一对通过飞沫传播。糖基阵列显示,Anhui/1、Shanghai/1 和 A/Hangzhou/1/2013(H7N9)(本试验中检测的第三个人感染 H7N9 病毒)与人源病毒受体结合,这一特性可能对在雪貂中的病毒传播能力至关重要。与 2009 年的甲型 H1N1 大流行病毒相比,Anhui/1 对神经氨酸酶抑制剂的敏感性在小鼠中较低,尽管这两种病毒对实验性抗病毒聚合酶抑制剂均具有同等的敏感性。Anhui/1 在小鼠、雪貂和非人类灵长类动物中具有强大的复制能力,在雪貂中传播能力有限,这表明 A(H7N9) 病毒具有大流行的潜力。