• 文献检索
  • 文档翻译
  • 深度研究
  • 学术资讯
  • Suppr Zotero 插件Zotero 插件
  • 邀请有礼
  • 套餐&价格
  • 历史记录
应用&插件
Suppr Zotero 插件Zotero 插件浏览器插件Mac 客户端Windows 客户端微信小程序
定价
高级版会员购买积分包购买API积分包
服务
文献检索文档翻译深度研究API 文档MCP 服务
关于我们
关于 Suppr公司介绍联系我们用户协议隐私条款
关注我们

Suppr 超能文献

核心技术专利:CN118964589B侵权必究
粤ICP备2023148730 号-1Suppr @ 2026

文献检索

告别复杂PubMed语法,用中文像聊天一样搜索,搜遍4000万医学文献。AI智能推荐,让科研检索更轻松。

立即免费搜索

文件翻译

保留排版,准确专业,支持PDF/Word/PPT等文件格式,支持 12+语言互译。

免费翻译文档

深度研究

AI帮你快速写综述,25分钟生成高质量综述,智能提取关键信息,辅助科研写作。

立即免费体验

肾综合征出血热患者中急性胰腺炎的回顾性研究。

A retrospective study of acute pancreatitis in patients with hemorrhagic fever with renal syndrome.

机构信息

Department of Gastroenterology, The First Affiliated Hospital of NanChang University, Nanchang, Jiangxi 330006, People's Republic of China.

出版信息

BMC Gastroenterol. 2013 Dec 17;13:171. doi: 10.1186/1471-230X-13-171.

DOI:10.1186/1471-230X-13-171
PMID:24345089
原文链接:https://pmc.ncbi.nlm.nih.gov/articles/PMC3878513/
Abstract

BACKGROUND

Etiological diagnosis is an important part of the diagnosis and treatment of acute pancreatitis. Hantavirus infection is a rare cause of acute pancreatitis, which is easy to ignore. There is a need to analyze clinical features of acute pancreatitis caused by Hantavirus.

METHODS

This is a retrospective study conducted from May 1, 2006 to May 31, 2012 on patients diagnosed with hemorrhagic fever with renal syndrome at our hospital. We reviewed these patients medical records, laboratory results and radiologic examinations to determine the prevalence and summarize clinical features of acute pancreatitis in patients with hemorrhagic fever with renal syndrome.

RESULTS

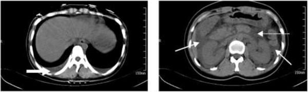
A total of 218 patients were diagnosed with hemorrhagic fever with renal syndrome during the 6-year study period. Only 2.8% (6/218) of the total hemorrhagic fever with renal syndrome patients were diagnosed with acute pancreatitis. The first symptom for all six of the patients with acute pancreatitis was fever. All six patients experienced hemorrhage and thrombocytopenia during the disease course, which was different from general acute pancreatitis. In addition, we presented two misdiagnosed clinical cases.

CONCLUSIONS

Acute pancreatitis is not a frequent complication in patients with hemorrhagic fever with renal syndrome. Clinicians should be alerted to the possibility of hemorrhagic fever with renal syndrome when acute pancreatitis patients with epidemiological data have high fever before abdominal pain.

摘要

背景

病因诊断是急性胰腺炎诊治的重要环节。汉坦病毒感染是引起急性胰腺炎的少见病因,容易被忽视。有必要分析汉坦病毒引起的急性胰腺炎的临床特征。

方法

本研究为回顾性研究,分析 2006 年 5 月 1 日至 2012 年 5 月 31 日期间我院收治的肾综合征出血热患者的临床资料,对患者的病历资料、实验室结果及影像学检查进行分析,以确定汉坦病毒引起的急性胰腺炎的发病率并总结其临床特征。

结果

本研究共纳入 218 例肾综合征出血热患者,其中仅 6 例(2.8%)被诊断为急性胰腺炎。6 例急性胰腺炎患者的首发症状均为发热。与一般急性胰腺炎不同的是,这 6 例患者在病程中均出现出血和血小板减少。此外,我们还介绍了两例误诊的临床病例。

结论

急性胰腺炎并非肾综合征出血热的常见并发症。对于有流行病学资料且腹痛前有高热的急性胰腺炎患者,临床医生应警惕肾综合征出血热的可能。

https://cdn.ncbi.nlm.nih.gov/pmc/blobs/3843/3878513/3d16461df081/1471-230X-13-171-2.jpg
https://cdn.ncbi.nlm.nih.gov/pmc/blobs/3843/3878513/25b17e1be2b8/1471-230X-13-171-1.jpg
https://cdn.ncbi.nlm.nih.gov/pmc/blobs/3843/3878513/3d16461df081/1471-230X-13-171-2.jpg
https://cdn.ncbi.nlm.nih.gov/pmc/blobs/3843/3878513/25b17e1be2b8/1471-230X-13-171-1.jpg
https://cdn.ncbi.nlm.nih.gov/pmc/blobs/3843/3878513/3d16461df081/1471-230X-13-171-2.jpg

相似文献

1
A retrospective study of acute pancreatitis in patients with hemorrhagic fever with renal syndrome.肾综合征出血热患者中急性胰腺炎的回顾性研究。
BMC Gastroenterol. 2013 Dec 17;13:171. doi: 10.1186/1471-230X-13-171.
2
Clinical analysis of patients with acute pancreatitis complicated with hemorrhagic fever with renal syndrome and acute biliary pancreatitis.急性胰腺炎合并肾综合征出血热及急性胆源性胰腺炎患者的临床分析
Medicine (Baltimore). 2020 Jan;99(5):e18916. doi: 10.1097/MD.0000000000018916.
3
Acute pancreatitis in patients with hemorrhagic fever with renal syndrome.肾综合征出血热患者的急性胰腺炎
Mil Med. 2001 Feb;166(2):167-70.
4
Acute pancreatitis associated with hemorrhagic fever with renal syndrome: clinical analysis of 12 cases.急性胰腺炎合并肾综合征出血热:12 例临床分析。
Ren Fail. 2013;35(10):1330-3. doi: 10.3109/0886022X.2013.828187. Epub 2013 Aug 21.
5
A rare cause of acute pancreatitis: Hantavirus infection.急性胰腺炎的一种罕见病因:汉坦病毒感染。
Acta Gastroenterol Belg. 2017 Jan-Mar;80(1):59-61.
6
Hemorrhagic fever with renal syndrome associated with acute pancreatitis.伴有急性胰腺炎的肾综合征出血热。
Virol Sin. 2012 Jun;27(3):214-7. doi: 10.1007/s12250-012-3231-3. Epub 2012 Jun 9.
7
Evaluation of lipase levels in patients with nephropathia epidemica--no evidence for acute pancreatitis.流行性肾病患者脂肪酶水平的评估——无急性胰腺炎证据
BMC Infect Dis. 2015 Jul 25;15:286. doi: 10.1186/s12879-015-1031-8.
8
Acute pancreatitis associated with hemorrhagic fever with renal syndrome: a cohort study of 346 patients.急性胰腺炎合并肾综合征出血热:346 例患者的队列研究。
BMC Infect Dis. 2021 Mar 17;21(1):267. doi: 10.1186/s12879-021-05964-5.
9
Analysis of misdiagnosed cases of hemorrhagic fever with renal syndrome in children: two cases and literature review.儿童肾综合征出血热误诊病例分析:二例并文献复习。
BMC Nephrol. 2019 Oct 23;20(1):383. doi: 10.1186/s12882-019-1562-0.
10
The protean manifestations of hemorrhagic fever with renal syndrome. A retrospective review of 26 cases from Korea.
Ann Intern Med. 1990 Sep 1;113(5):385-91. doi: 10.7326/0003-4819-113-5-385.

引用本文的文献

1
Genetic and codon usage analyses reveal the evolution of the seoul virus.遗传和密码子使用分析揭示了汉城病毒的进化。
Front Genet. 2025 Jun 12;16:1544577. doi: 10.3389/fgene.2025.1544577. eCollection 2025.
2
Analysis of clinical characteristics of hemorrhagic fever with renal syndrome with acute pancreatitis: a retrospective study.肾综合征出血热合并急性胰腺炎的临床特征分析:一项回顾性研究。
Ann Med. 2025 Dec;57(1):2453081. doi: 10.1080/07853890.2025.2453081. Epub 2025 Jan 20.
3
Acute Pancreatitis and Leukemoid Reaction as the Presenting Manifestation of Hemorrhagic Fever with Renal Syndrome: A Case Report.

本文引用的文献

1
Hemorrhagic fever with renal syndrome associated with acute pancreatitis.伴有急性胰腺炎的肾综合征出血热。
Virol Sin. 2012 Jun;27(3):214-7. doi: 10.1007/s12250-012-3231-3. Epub 2012 Jun 9.
2
Experience with extrarenal manifestations of hemorrhagic fever with renal syndrome in a tertiary care hospital in South Korea.韩国一家三级保健医院肾综合征出血热肾外表现的临床经验。
Am J Trop Med Hyg. 2011 Feb;84(2):229-33. doi: 10.4269/ajtmh.2011.10-0024.
3
Acute pancreatitis associated with haemorrhagic fever with renal syndrome.
以急性胰腺炎和类白血病反应为表现的肾综合征出血热1例报告
Infect Drug Resist. 2024 Nov 30;17:5347-5354. doi: 10.2147/IDR.S499197. eCollection 2024.
4
Incidence rate of hemorrhagic fever with renal syndrome complicated with acute pancreatitis: a meta-analysis.肾综合征出血热合并急性胰腺炎的发病率:一项荟萃分析。
Front Med (Lausanne). 2024 Oct 22;11:1442276. doi: 10.3389/fmed.2024.1442276. eCollection 2024.
5
Logistic regression analysis of risk factors for hemorrhagic fever with renal syndrome complicated with acute pancreatitis.Logistic 回归分析肾综合征出血热并发急性胰腺炎的危险因素。
Ann Med. 2023 Dec;55(1):2232355. doi: 10.1080/07853890.2023.2232355.
6
The Spatiotemporal Pattern and Its Determinants of Hemorrhagic Fever With Renal Syndrome in Northeastern China: Spatiotemporal Analysis.东北地区肾综合征出血热时空格局及其影响因素:时空分析。
JMIR Public Health Surveill. 2023 May 18;9:e42673. doi: 10.2196/42673.
7
Hemorrhagic Fever with Renal Syndrome Complicated with Acute Pancreatitis and Capillary Cholangitis: A Case Report.肾综合征出血热合并急性胰腺炎及毛细胆管炎:1例报告
Infect Drug Resist. 2022 Nov 23;15:6755-6761. doi: 10.2147/IDR.S386273. eCollection 2022.
8
Alcohol Consumption and Its Influence on the Clinical Picture of Puumala Hantavirus Infection.饮酒与普马拉型汉坦病毒感染的临床特征及其影响。
Viruses. 2022 Feb 28;14(3):500. doi: 10.3390/v14030500.
9
Acute pancreatitis associated with hemorrhagic fever with renal syndrome: a cohort study of 346 patients.急性胰腺炎合并肾综合征出血热:346 例患者的队列研究。
BMC Infect Dis. 2021 Mar 17;21(1):267. doi: 10.1186/s12879-021-05964-5.
10
Viral-Attributed Acute Pancreatitis: A Systematic Review.病毒性相关性急性胰腺炎:系统综述。
Dig Dis Sci. 2021 Jul;66(7):2162-2172. doi: 10.1007/s10620-020-06531-9. Epub 2020 Aug 12.
Nephrology (Carlton). 2005 Aug;10(4):421-2. doi: 10.1111/j.1440-1797.2005.00428.x.
4
Acute pancreatitis in patients with hemorrhagic fever with renal syndrome.肾综合征出血热患者的急性胰腺炎
Mil Med. 2001 Feb;166(2):167-70.
5
A clinically based classification system for acute pancreatitis. Summary of the International Symposium on Acute Pancreatitis, Atlanta, Ga, September 11 through 13, 1992.急性胰腺炎基于临床的分类系统。1992年9月11日至13日在佐治亚州亚特兰大召开的急性胰腺炎国际研讨会总结。
Arch Surg. 1993 May;128(5):586-90. doi: 10.1001/archsurg.1993.01420170122019.