Suppr超能文献

磨牙后区黏膜单灶性口面部肉芽肿病:Er,Cr:YSGG激光手术治疗

Unifocal orofacial granulomatosis in retromolar mucosa: surgical treatment with Er,Cr:YSGG laser.

作者信息

Castelo-Baz Pablo, Seoane-Romero Juan M, García-Caballero Lucía, Suárez-Peñaranda José M, Romero-Méndez María A, Varela-Centelles Pablo

机构信息

DDS, MSc. Stomatology Department. School of Medicine and Dentistry. University of Santiago de Compostela. Spain.

DDS, MSc, PhD. Stomatology Department. School of Medicine and Dentistry. University of Santiago de Compostela. Spain.

出版信息

J Clin Exp Dent. 2014 Apr 1;6(2):e189-92. doi: 10.4317/jced.51301. eCollection 2014 Apr.

Abstract

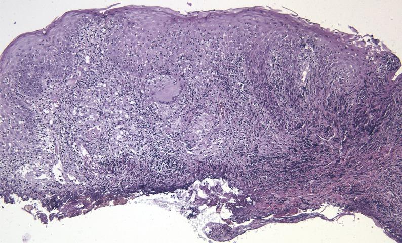
Orofacial granulomatosis is defined by permanent or recurrent swelling of orofacial tissues with different multiform and multifocal clinical patterns. An 11-year old boy presented with a 2-month history of mucosa enlargement. Intraoral examination revealed an erythematous, polylobulated, exophytic lesion with a smooth surface located in retromolar mucosa, non-tender and non-infiltratated to palpation. The diagnosis was inflammatory lesion compatible with pyogenic granuloma and laser excision was decided. Haematological parameters were within normal range, as well as chest Xrays. These findings lead to a diagnosis of non-symptomatic orofacial granulomatosis, whose early diagnosis can minimize the impact of systemic-related disorders, like Chron's disease. Key words:Laser, orofacial granulomatosis, childhood, oral lesions, diagnosis.

摘要

口面部肉芽肿病的定义是口面部组织出现持续性或复发性肿胀,具有多种不同形态和多灶性的临床模式。一名11岁男孩有2个月的黏膜肿大病史。口腔检查发现一个位于磨牙后黏膜的、表面光滑的、多叶状、外生性的红斑性病变,触诊时无压痛且无浸润。诊断为与化脓性肉芽肿相符的炎性病变,并决定进行激光切除。血液学参数以及胸部X光片均在正常范围内。这些发现导致诊断为无症状性口面部肉芽肿病,其早期诊断可将克罗恩病等全身性相关疾病的影响降至最低。关键词:激光、口面部肉芽肿病、儿童、口腔病变、诊断

https://cdn.ncbi.nlm.nih.gov/pmc/blobs/87cc/4002352/0e31e2e738f8/jced-6-e189-g001.jpg

文献检索

告别复杂PubMed语法,用中文像聊天一样搜索,搜遍4000万医学文献。AI智能推荐,让科研检索更轻松。

立即免费搜索

文件翻译

保留排版,准确专业,支持PDF/Word/PPT等文件格式,支持 12+语言互译。

免费翻译文档

深度研究

AI帮你快速写综述,25分钟生成高质量综述,智能提取关键信息,辅助科研写作。

立即免费体验